Uvod
Človeški skelet je zapletena zgradba med seboj povezanih kosti, ki dajejo telesu obliko in ščitijo življenjsko pomembne organe (možgane, srce, pljuča, hrbtenjačo) ter omogočajo gibanje. Kosti, ki sestavljajo skelet, so živi deli telesa, ki stalno rastejo in se obnavljajo.
Človeški skelet ima dva glavna dela, osni skelet in skelet udov. Kosti osrednjega dela telesa - glava, hrbtenica in rebra se imenujejo osni (aksialni) skelet. Kosti rok, nog, ramen in medenice pa oblikujejo skelet udov. Vsaka kost je izoblikovana za svojo posebno nalogo ali mesto v telesu. Glede na obliko razlikujemo dolge kosti (stegnenica, golenica in mečnica, nadlahtnica, podlahtnica in koželjnica), kratke kosti (kosti prstov, dlančnice), ploščate kosti (lobanja, rebra, lopatica, medenica), posebne, nepravilno oblikovane kosti (vretenca) in sezamoidne (male kosti v kitah, pogačica).
Lobanja je zgrajena iz 28 kosti, ki jih delimo v dva glavna predela: možganska lobanja in obrazna lobanja, ki vključuje tudi ušesne koščice (3). Obrazne kosti (14) dajejo obrazu značilno obliko, oblikujejo očesni in nosno votlino ter so čvrsta podlaga zobem in narastišče mišic. Hrbtenico sestavlja 7 vratnih vretenc, 12 vretenc prsnega koša in pet ledvenih vretenc. Pod njimi sta križnica in trtica. Koščeno ogrodje prsnega koša sestavlja 12 parov reber, ki se v loku vijejo od hrbtenice do prsnice na sprednjem delu telesa.
Ramenske kosti sestavljajo ključnica, lopatica in nadlahtnica, ki se v komolcu stika s koželjnico in podlahtnico. Kosti roke sestavlja osem majhnih zapestnih kosti, pet dlančnic in 14 kosti prstov, prstnic ali falang.
Kolk je sestavljen iz črevnice, sednice in sramnice, ki so zrasle v medenični obroč. Glavni del spodnjega uda pa sestavlja najdaljša in najmočnejša kost v človeškem telesu – stegnenica, ki se v kolenskem sklepu stika z golenico in mečnico. V vsakem stopalu je 26 kosti. V gležnju je sedem tarzalnih kosti, glavni del stopala je iz nartnic ali stopalnic. Prsti na nogah imajo 14 prstnic ali falang.

Slika 1
Človeški skelet.
Kost sestavlja več tkiv. Več kot 90 % teže kosti je kostnina, ostalo pa hrustančevina, vezivno in maščobno tkivo, kostni mozeg, žile in živci.
Kostnina je posebna oblika vezivnega tkiva. Zgrajena je iz celic in medceličnine. Celice skrbijo za nastanek, razgradnjo in predelovanje kostnine, sodelujejo pri uravnavanju telesnega ravnotežja kalcija in fosforja. Po zgradbi ločimo dva tipa kostnine. Kompaktna kostnina je gosta, neporozna. Ker sestavlja vrhnji del kosti, jo imenujemo tudi kortikalna. Del kostnine s številnimi razvejanimi, med seboj povezanimi mostički, imenujemo spongiozna ali gobasta kost.
Medceličnino sestavljata neorganski in organski del. Organski del tvorijo vezivna vlakna, večino predstavlja kolagen, anorganski pa kalcijeve in fosforjeve soli.
Dolge kosti udov so zgrajene iz treh delov. Diafiza je centralni ali cilindrični del. Ima obliko valja, katerega skorjo sestavlja kortikalna kostnina, v sredini pa je medularni kanal izpolnjen s kostnim mozgom. Na obeh koncih je epifiza, zgrajena pretežno iz gobaste kosti, pokrita s tanko plastjo kortikalne. Del epifize, ki neposredno komunicira s sosednjo kostjo, je pokrit s hrustancem. Vmesni del med diafizo in epifizo imenujemo metafiza.
Kost pokriva močna opna pokostnica. Na zunanji strani je debelejša, imenujemo jo periost, na notranji strani pa tanka, imenujemo jo endost. V pokostnici je veliko krvnih žil in živcev, zato pri zlomu kosti in nekaterih drugih boleznih občutimo bolečino večinoma zaradi poškodbe ali čezmerne raztegnitve pokostnice.

Slika 2
Dolga kost je zgrajena iz zunanje kompaktne kostnine, ki obdaja plast spužvaste kostnine sataste zgradbe - spongiozne kostnine. Votlina v sredini je napolnjena s kostnim mozgom. Na vsakem koncu dolge kosti je več spongiozne kostnine. Skozi kost potekajo krvne žile, ki jo oskrbujejo s hrano, kisikom in rudninami.
Kosti (človek jih ima 208 do 212) so ogrodje gibalnega aparata. Sestavljene so pretežno iz rudnin (zlasti kalcijevih soli), ki dajejo trdnost in iz organskih snovi (beljakovin, kolagenskih vlaken), ki dajejo kostem prožnost. Zunanje sile, ki presežejo trdnost in prožnost kosti, povzročijo zlome različnih oblik.
Zlomi kosti
Kost je živa snov. Je zelo močna in prenese velike obremenitve. O zlomu govorimo, kadar pride do delne ali popolne prekinitve kostnega ali hrustančnega tkiva kosti. Ob tem moramo vedeti, da ni prizadeta le kost, ampak so prizadeta tudi priležna mehka tkiva: pokostnica, mišice, kite. Posledica zloma je lahko tudi zapora ali prekinitev žil, ki prehranjujejo kost, obtolčenina ali raztrganina podkožja in kože. Te dodatne poškodbe pomembno vplivajo na način in izid zdravljenja. Zato pri zlomu govorimo o območju poškodbe.
Kost se zlomi, ko sila, ki deluje na kost, preseže njeno trdnost in prožnost. Sile so lahko neposredne ali posredne. O neposredni sili govorimo pri zlomu zaradi neposrednega udarca v kost (udarec s pestjo v predel nosne kosti, udarec po roki s kovinsko palico) ali pa kost udari ob trd predmet (zlom pri padcu z višine na trda tla, udarec ob betonski robnik ipd.). O posredni sili govorimo, kadar se kost zlomi zaradi upogibanja ali zvijanja kosti zaradi sile, ki deluje na dveh ali več mestih daleč od delovanja sile (padec pri smučanju, ko je noga trdno nameščena v čevlju, celo telo pa se premakne v drugo smer, ta sila deluje preko dolge ročice na kosti goleni).
Pri otrocih so najpogostejši zlomi podlakti, zlomi spodnjega dela nadlahtnice tik nad komolčnim sklepom, zlomi nadlahtnice in zlomi ključnice. Pri odraslih so najpogostejši zlomi spodnjega dela koželjnice, zlomi v predelu zgornjega dela stegnenice in gležnja.
Razdelitev zlomov
Zlome (frakture) lahko razdelimo na več načinov. Upoštevamo lahko prizadeti del kosti, položaj odlomkov, obliko zloma, pridružene poškodbe.
Razdelitev glede na poškodbe mehkih tkiv in kože
O zaprtih zlomih govorimo, kadar na koži ni rane in tako ni povezave med področjem zloma in zunanjim okoljem.
O odprtih zlomih govorimo, kadar pride do neposredne povezave med mestom zloma in zunanjim okoljem. Te zlome imenujemo tudi zapleteni zlomi.
Resnost poškodbe lahko ocenimo in razdelimo v več stopenj (razvrstitev po Gustillu):
· Odprti zlom I. stopnje: majhna, do 1 cm velika, čista rana, ki jo je povzročil kostni odlomek s pritiskom od znotraj.
· Odprti zlom II. stopnje: do 5 cm velika rana brez večje poškodbe mehkih tkiv.
· Odprti zlom III. stopnje: večja, umazana rana, udarnina kože in podkožja, poškodba žil in živcev.
V mnogih primerih štrli skozi rano kostni odlomek. Odprti ali zapleteni zlomi so nevarni zato, ker na prizadetem mestu pride do okužbe. V rano zaidejo kužne klice ali bakterije, ki povzročijo gnojenje mehkih delov in tudi same kosti. V takem primeru se lahko zdravljenje podaljša za mesece in celo leta, v zelo hudih primerih pa poškodovanec lahko ud tudi izgubi. Zato sta pravilna prva pomoč in kirurška oskrba pogoj za dobro celjenje rane in zloma.
Moderna razdelitev zlomov upošteva poškodbo vseh priležnih struktur. Tako za vsak zlom posebej določimo stopnjo prizadetosti kože in podkožja, mišic in kit, žil in živcev.

Slika 3
A – Zaprt zlom goleni.
B – Zaprt zlom in izpah gležnja. Kostni odlomek pritiska na kožo od znotraj brez rane.
C – Odprt zlom goleni s poškodbo mehkih tkiv.
D – Odprt zlom goleni s prekinjeno prekrvitvijo poškodovanega uda pod zlomom.
Oceno o zaprtem oz. odprtem zlomu lahko postavimo že na mestu poškodbe, ob nudenju prve pomoči, za ostale natančne razdelitve zlomov pa je potrebno rentgensko ali globinsko slikanje in skeniranje in sodi v bolnišnico.
Razdelitev glede na prizadeti del kosti
Sklepni in prisklepni zlomi so zlomi, pri katerih sega poškodba v sklep (intraartikularno) ali njegovo neposredno bližino. Diafizni zlomi prizadenejo srednji del dolgih kosti (stegnenica, golenica, nadlahtnica, koželjnica in podlahtnica). Posebej poimenujemo tudi zlome, ki prizadenejo določene odrastke nekaterih kosti (trohanterni ipd.).

Slika 4
A – Zlom golenice, ki sega v sklep.
B – Zlom metafiznega dela goleni.
C – Zlom srednjega dela goleni (zlom diafize).
Radelitev glede na premik med odlomki
Zlomi, pri katerih so odlomki med seboj v dobrem, nepremaknjenem položaju, so zlomi brez premika (nedislocirani), zlomi pri katerih pride do premika med odlomki, tako da so ti v nenaravnem razmerju, pa zlomi s premikom (dislocirani zlomi).

Slika 5
A – Zlom brez premika odlomkov.
B – Zlom s premikom kostnih odlomkov.
Razdelitev glede na obliko zloma
Poznamo enostavne, spiralne, poševne in prečne zlome. O zdrobljenem oz. kominutivnem zlomu govorimo, kadar je prisotnih več odlomkov.

Slika 6
Posamezne oblike zlomov:
A – Prečni zlom.
B – Poševni zlom.
C – Spiralni zlom.
D – Zdrobljeni zlom.
Zlomi pri otrocih
Zlomi pri otrocih so pogosti, zlasti zlom koželjnice in podlahtnice. Najpogostejši obliki zloma sta subperiostalni zlom in epifizioliza. Pri otrocih je celjenje zlomov hitrejše. Stegnenica pri 8-letnem otroku navadno zaceli v 9 tednih, pri odraslem pa potrebuje 3–6 mesecev. V primeru poškodbe rastne stike lahko pride do motene rasti kosti in avaskularne nekroze, odmrtja zaradi motnje prekrvitve dela kosti.
Subperiostalni zlom
Otroci imajo debel in močan periost. Pri upogibu se kost na eni strani stisne, na drugi pa razpre. Čvrsti periost se ne strga in drži odlomka skupaj. Govorimo o zlomih v obliki zelene vejice ali subperiostalni zlom.
Epifizioliza
Rastna stika (fiza) je področje med epifizo in metafizo. Tu poteka rast kosti. Rastna stika je najšibkejši del otroške kosti. Zlom v tem delu lahko pripelje do motenj v rasti.

Slika 7
Najpogostejši poškodbi skeleta pri otrocih sta subperiostalni zlom in epifizioliza.
A – Subperiostalni zlom podlahti.
B – Epifizioliza spodnjega dela koželjnice.
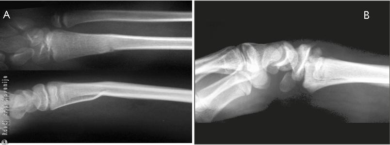
Primer 1
12-letna deklica se je na prigovarjanje vrstnikov s kotalkami spustila vzvratno po cesti navzdol. Ob tem je zgubila ravnotežje, padla in se ujela na iztegnjeno dlan. Zaščitne opreme ni imela. Roka jo je pričela zelo boleti in pojavila se je naraščajoča oteklina. Gibaje v zapestju je bilo zaradi bolečine povsem zavrto. Deklica si je roko vseskozi podpirala z nepoškodovano roko. Vrstniki so jo pospremili domov, kjer ji je mama namestila ruto in oteklo mesto hladila z brisačo namočeno v hladno vodo. Ker se je bolečina stopnjevala jo je odpeljala v urgentno službo bližnje bolnišnice. Po pregledu in rentgenskem slikanju so ugotovili, da ima zlom koželjnice na značilnem mestu. Napravili so uravnavo zloma v splošni anesteziji. Deklica je dobila doramenski mavec. Nato so oskrbeli še rane na obeh kolenih.

Slika 8
A – Nepravilna oblika zapestja.
B – RTG znaki zloma koželjnice na značilnem mestu.
Razlike med zlomi glede na starost poškodovanca
Pri starih ljudeh kosti niso več tako prožne in trdne, zato zadošča že manjša sila, da se bolne in krhke kosti zlomijo. Pogostejši so zdrobljeni zlomi. Za razliko od otrok zlome pri starostnikih laže prepoznamo, saj so navadno prisotni vsi znaki zloma: oteklina, bolečina na pritisk, raskavo škrtanje kostnih odlomkov in zavrta aktivna gibljivost.
Zlome pri otrocih težje prepoznamo kajti mlade kosti so prožne in se zvijejo, počijo ali se razcepijo kot mlada veja, zato jih imenujemo 'zlom po tipu zelene veje'. Vsi znaki zloma niso vedno prisotni. Kadar otrok poškodovanega uda ne uporablja, moramo pomisliti na zlom in ukrepati kot pri zlomu. Največkrat so prisotni le oteklina, bolečina, omejena gibljivost.

Slika 9
A, C, E – Pri starejših poškodovancih so prisotni vsi znaki zloma. Kost se zlomi kot suha veja in pogosto je več kostnih odlomkov (zdrobljeni zlomi)
B, D, F – Pri otrocih sta vodilna znaka zloma bolečina in omejena gibljivost. Kost se zvije in zlomi kot mlada veja.
Patološki zlomi
Kadar pride do zloma zaradi delovanja manjših sil v fizioloških okvirih, ki ne poškodujejo zdravega skeleta, govorimo o patološkem zlomu. Kost je spremenjena in oslabljena zaradi kostnih tumorjev in cist, zasevkov (rak prostate, dojke, ščitnice), vnetnih procesov, nekaterih kostnih bolezni. V to skupino lahko štejemo tudi zlome pri osteoporozi. V prvi pomoči moramo zlasti pri starejših ljudeh in bolnikih z malignimi bolezni pomisliti na to obliko zloma kljub nejasnemu in neznačilnemu načinu poškodovanja in nuditi pravilno prvo pomoč.

Slika 10
A – Patološki zlom brez jasnega načina poškodovanja.
B – RTG slika patološkega zloma zaradi zasevka malignega tumorja.
Stresni zlomi
Kadar pride do zloma zaradi pogosto ponavljajočih se obremenitev na določen del kosti, govorimo o stresnih zlomih. Pojavljajo se zlasti pri športnikih, ki so nenadoma pričeli ali spremenili intenzivnost vadbe. Najpogostejši so na spodnjih udih (stopalnice, golenica, petnica, skočnica).

Slika 11
Stresni zlom diafize pete stopalnice.
Kako prepoznamo zlom
Večino zlomov lahko ugotovimo s skrbnim pregledom poškodovanca. Pomembna je natančna anamneza, s katero ugotovimo način poškodovanja in se usmerimo v pregled poškodovanih delov. Na zlom nas opozarjajo lokalna oteklina, bolečina ob pritisku in pri poskusu premikanja poškodovanega področja, omejena gibljivost. Do patološke gibljivosti pride pri nekaterih zlomih, kadar je kost povsem prekinjena. Ob pritisku na predel zloma čutimo in slišimo škrtanje (krepitacije), ki so zvok trenja med kostnimi odlomki. Pomemben je tudi natančen pregled delovanja uda, njegova gibljivost, prekrvljenost (primerno topla in obarvana dlan oz. stopalo, tipni utripi arterij) in oživčenost (zaznavanje rahlega dotika in zbodljaja v področjih, ki jih oskrbujejo posamezni živci).

Slika 12
Deformacija komolca in RTG slika zloma spodnjega dela podlahtnice nad komolčnim sklepom (zelo pogost zlom pri otrocih).
Vsakega poškodovanca, pri katerem sumimo, da bi lahko prišlo do zloma, napotimo na rentgensko slikanje. Vsako kost slikamo v dveh projekcijah: od spredaj navzad (anteroposteriorna projekcija) in od strani (lateralna projekcija). Pomembno je, da na vsaki sliki prikažemo tudi sosednja sklepa. Občasno so potrebne tudi posebne projekcije (poševne, polstranske ipd.). Pri sklepnih zlomih, pri zlomih obraznih kosti, medenice in hrbtenice si pomagamo s slikanjem po plasteh (tomografija), ki nam omogoči prikaz poškodovanega dela v seriji prerezov. Včasih se je uporabljala klasična tomografija, danes pa večinoma opravimo računalniško tomografijo (CT), ki omogoča tudi natančno rekonstrukcijo kosti v dveh ali treh ravninah. Pri poškodbah hrbtenice nam veliko pove tudi slikanje z magnetno resonanco (MR), saj te slike natančno prikažejo hrbtenjačo, prikažejo pa tudi ostala mehka tkiva, ki jih na RTG slikah ne vidimo.

Slika 13
A – CT slika ramena in 3D slikovna diagnostika, ki sta natančno pokazali položaj zloma glave nadlahtnice.
B – MR slika vratne hrbtenice: šele na tej sliki so lahko ugotovili pomik in pritisk medvretenčne ploščice.
Primer 2
36-letni motorist se je skupaj s prijateljico vračal s kratkega obiska na obali. V sončnem, vročem popoldnevu sta bila oba brez zaščitne čelade in obleke. S stranske ceste jima je pot zaprlo manjše osebno vozilo v katerem je sedela starejša ženska z otrokom. Motorist se je skušal izogniti neposrednemu trčenju in je ostro zaviral in se ognil vozilu, ob tem pa je izgubil oblast nad motorjem in s sopotnico sta padla. Sopotnica je umrla na kraju nesreče. Motorist pa je z glavo zadel ob obcestno ograjo. Hudo poškodovanega so pripeljali v sobo za oživljanje večje bolnišnice. Ugotovili so hudo poškodbo glave: odprt zlom lobanjske kosti, zlom spodnje čeljusti in nosne kosti, poškodbo vratne hrbtenice, številne udarnine in večjo razpočno rano na levi goleni, ter poškodbo vranice. Kljub hitri intervenciji, diagnostičnim postopkom in podpornem zdravljenju je poškodovanec v bolnišnici umrl.

Slika 14
A – Obsežne poškodbe mehkih tkiv in izpostavljenost možganovine čelnega režnja.
B – 3D slikovna diagnostika omogoča natančno oceno zlomov lobanje in obraznih kosti.
Prva pomoč pri zlomih
Pri oskrbi poškodovanca, pri katerem sumimo na zlom kosti, veljajo splošna pravila kot pri ostalih poškodbah (zavarovanje mesta nesreče, klic nujne medicinske pomoči, oživljanje). Pri pomoči poškodovancu z zlomom moramo poskrbeti za lajšanje bolečin, pozorni pa moramo biti tudi na stanje uda, zlasti prekrvljenost.
Poškodovani predel moramo natančno pregledati. Natančno določimo mesto bolečine, pregledamo oba sosednja sklepa. Pozorni smo na rane in odrgnine. Pomembno je, da vedno izključimo poškodbo sosednjih žil in živcev (preverimo prekrvljenost in oživčenje - občutljivost kože pod zlomom).
Kadar najdemo na mestu zloma rano, govorimo o odprtem zlomu, pri katerem skozi rano vstopajo bakterije, ki lahko povzročijo nevarno okužbo. Rano sterilno pokrijemo in obvežemo. V primeru večje krvavitve je včasih potrebna tudi kompresijska obveza (glej poglavje 10).
Kadar ugotovimo večjo deformacijo (nepravilno obliko) uda, lahko deli kosti pritiskajo na žile in živce. Zato je lahko motena prekrvitev ali oživčenje spodnjega dela uda. Ob dlje časa trajajočem pritisku lahko pride do trajne okvare.
Posledica zloma je močna bolečina. Zmanjšanje bolečin dosežemo z imobilizacijo in zdravili proti bolečini. Pri blažjih bolečinah zadostujejo analgetiki iz domače lekarne. Izogibamo se acetilsalicilne kisline (Aspirin®), saj povzroča motnje strjevanja krvi.
S pravilno imobilizacijo in elevacijo (glej poglavje 34) dosežemo zmanjšanje bolečin in preprečimo dodatno poškodbo, do katere bi prišlo, če bi se odlomki med seboj premikali. Kadar ima poškodovanec manjše bolečine in ni očitnega premikanja delov uda, zadostuje imobilizacija; roko namestimo v pestovalno ruto, pri poškodbah noge pa zadostuje mirovanje in izogibanje obremenitvi. Pri hujših bolečinah je potrebna imobilizacija z opornicami. Pri tem je pomembno, da imobiliziramo sosednja sklepa, tako da ne pride do premikanja v poškodovanem predelu. Reševalci večinoma uporabljajo vakuumske blazine, na odročnih mestih pa si lahko pomagamo tudi s priročnimi sredstvi. Bolnik naj pred prevozom ne je in ne pije, ker bo potrebna uravnava zloma v splošni anesteziji in neredko tudi operacija (glej poglavje 29, poglavje 30 in poglavje 31).

Slika 15
A – Imobilizacija na terenu.
B – Imobilizacija roke s pnevmatsko blazino.
Primer 3
Starejšemu moškemu je delovni stroj zagrabil levo roko, jo stisnil in zavrtel. Na delovnem mestu so mu takoj nudili prvo pomoč. Krvavitev so nepravilno zaustavili z Esmarchovo prevezo v obliki tankega elastičnega traku, čvrsto zavezanega na levo nadlaket. Rano na podlakti iz katere je med poškodovanimi mišicami štrlela kost so sterilno povili in namestili opornico. Bolnik je bil prepeljan v urgentno službo in ob predhodnih hitrih pregledih, odstranitvi gumijastega traku in začetnem podpornem zdravljenju takoj premeščen v operacijsko dvorano. Med operacijo je bilo potrebno izrezati vse mrtvo tkivo (kožo, podkožje, mišice in kite), napraviti rigidno učvrstitev odlomkov koželjnice in podlahtnice s ploščami in vijaki.

Slika 16
A – Odprti zlom podlakti.
B – Nepravilna uporaba Esmarchove preveze pri nudenju prve pomoči.
Pregledali in izključili so poškodbo pomembnih žil in živcev, zašili mišice in prekinjene kite, ter kožno vrzel pokrili s prostim presadkom kože odvzetim iz stegna. Po operaciji so rane dobro celile in bolnik je okreval. Za dokončno obnovo funkcije pa je bila potrebna dolgotrajna fizioterapija.
Zdravljenje zlomov
Po pravilni prvi pomoči na mestu dogodka je potrebno poškodovancu zagotoviti ustrezen prevoz in nadaljnjo oskrbo v bolnišnici. Le pravilna oskrba v celotni verigi zdravljenja bo omogočila hitro in popolno ozdravitev.

Slika 17
Konzervativno zdravljenje.
A – RTG slika ki pokaže zlom osnovnega členka mezinca desne noge(puščica).
B – Obližna imobilizacija k sosednjemu prstu.
C – Spremenjena oblika podlahti pri zlomu.
D – RTG slika, ki pokaže zlom koželjnice.
E – Naravnava in zamavčenje v splošni anesteziji.
F – Doramenski mavec.
Pri zdravljenju zlomov si želimo doseči stabilno, čvrsto kostno zaraščenost zloma ob hkratni čim bolj povrnjeni funkciji prizadetega področja. Pri tem je pomembno, da dosežemo dobro uravnavo odlomkov. Ta mora biti posebej natančna pri sklepnih in obsklepnih zlomih, saj drugače le s težavo zagotovimo dobro delovanje uda. Pri zlomih v srednjem delu dolgih kosti je pomembno, da dosežemo dobro usmerjenost (os) uda, medtem ko natančno prileganje odlomkov ni vedno potrebno. Odlomke moramo nato zadržati v pridobljenem položaju. To lahko dosežemo s pomočjo opornic in mavca, včasih pa je potrebna operativna učvrstitev.
O konzervativnem zdravljenju govorimo, kadar nam uspe odlomke dobro naravnati in zadržati v tem položaju brez operacije. Uravnavo dosežemo s pomočjo vleka. Pri tem uporabljamo sile, ki delujejo v nasprotni smeri kot tiste, zaradi katerih je prišlo do poškodbe. Pomagamo si lahko tudi z nekaterimi posebnimi pripomočki in rentgenskim ojačevalcem. Po uspešni uravnavi moramo zlom zadržati v ustreznem položaju. To večinoma dosežemo s pomočjo opornic in mavca, pri nekaterih tipih zlomov pa uporabljamo tudi skeletni vlek.
Naravnava in zamavčenje zloma podlahti pri otroku v splošni anesteziji.
Za operativno zdravljenje se odločimo le, kadar nam drugače ne uspe doseči trajno dobrega položaja odlomkov. Govorimo o operacijskem povezovanju zlomljenih delov kosti, operativni učvrstitvi zlomov ali osteosintezi. Pri tem najprej z uporabo posredne in neposredne sile dosežemo uravnavo, nato pa zagotovimo stabilnost s pomočjo notranje učvrstitve. Pomembno je, da pri tem dodatno ne okvarimo priležnih struktur ter da ne prizadenemo že tako okvarjene prehrane kosti.
Notranjo učvrstitev lahko dosežemo na več načinov. V večini primerov je potreben rez kože in podkožja, nekatere zlome pa lahko učvrstimo tudi preko drobnih rezov, ne da bi si zlom prikazali (perkutana tehnika).
Operativna učvrstitev zlomov z nabodnimi žicami. S pomočjo posebnih žic (Kirschnerjeve žice) zadržimo odlomke v ugodnem položaju (retencijska osteosinteza). Praviloma je potrebna dodatna imobilizacija.

Slika 18
A, B – Zlom osnovnega členka kazalca in sredinca, osteosinteza s Kirschnerjevimi žicami.
Osteosintezo lahko napravimo s posebno žično zanko v obliki kroga ali osmice. Tako nevtraliziramo sile mišic in povzročimo celo stisk med kostnimi odlomki pri aktivnem razgibavanju.
Osteosinteza z zunanjim fiksatorjem. S to metodo zdravimo zlasti tiste zlome, ki jih spremlja poškodba okolnih mehkih tkiv, ter zlome, pri katerih bi drugače prišlo do posedanja kosti (zapestje). V kost zunaj predela zloma zavrtamo nekaj žebljev ali vijakov, ki jih nato povežemo z zunanjimi prečkami. Večinoma je zunanji fiksator začasen in ga kasneje zamenjamo za drugo obliko notranje učvrstitve.

Slika 19
Oskrba zloma goleni z zunanjim fiksatorjem.
Osteosinteza z vijaki in ploščami. S pomočjo vijakov dosežemo čvrst stisk med odlomki. To metodo le redko uporabljamo samostojno, večinoma je potrebno kostne odlomke uravnati in fiksirati z vijaki in s ploščo, ki nevtralizira sile. Ploščo lahko uporabimo tudi v druge namene, z njo lahko dosežemo tesen stisk med odlomki, preprečimo posedanje in zdrs delov kosti, preprečujemo delovanje sil upogibanja ipd.
Intramedularna osteosinteza. Uporabljamo jo pri zlomih dolgih kosti. V širok osrednji kostni kanal uvedemo posebej oblikovan žebelj.
Osteosinteza z notranjim fiksatorjem. Pri tej metodi poskušamo doseči dober položaj odlomkov s posrednimi metodami, nato pa preko minimalnih rezov vstavimo notranji fiksator, ki ga učvrstimo na kost. Gre za moderno metodo, ki se uporablja za zdravljenje nesklepnih zlomov. Govorimo o minimalno invazivni osteosintezi (MIPO, angl. minimally invasive percutaneous osteosinthesis).

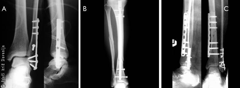
Slika 20
A – Zlom gležnja, oskrba s ploščo in vijaki.
B – Zlom goleni, oskrba z intramedularnim žebljem, fiksacija kosti z žebljem v kostnem mozgu.
C – Zlom goleni, oskrba zloma golenice z LCP ploščo, ki deluje kot notranji fiksator.
Z uravnavo in notranjo učvrstitvijo zagotovimo pogoje za zaraščenost kosti. Osteosinteza zadrži kostne odlomke v dobrem položaju in omogoči hitro in aktivno razgibavanje, ki ima številne prednosti (zlasti hitro vzpostavitev normalne funkcije).
Celjenje zlomov
Zlomljene kosti se zacelijo same od sebe, toda zato morajo mirovati in biti v pravilnem položaju. To dosežemo na primer tako, da poškodovano roko ali nogo povijemo z mavčnim povojem, ki prepreči premikanje kostnih odlomkov, ali pa z operacijo po predhodni uravnavi kostnih odlomkov namestimo žeblje, plošče, vijake in žične zanke v kost ali ob njo in jo učvrstimo.
Načina celjenja zlomov
O primarnem ali neposrednem celjenju govorimo, kadar sta odlomka med seboj v tesnem stiku. Trabekule iz enega odlomka neposredno preraščajo v drugega na podoben način, kot se kost preoblikuje pri normalnih fizioloških dražljajih. Zlom se primarno zaceli, če je po poškodbi na kosti le poka in ni premika med odlomki. Z operativnim zdravljenjem lahko dosežemo primarno celjenje, kadar zagotovimo natančno prileganje odlomkov in popolno stabilnost.
O sekundarnem ali posrednem celjenju govorimo, kadar sta odlomka kosti med seboj razmaknjena. Celjenje zloma poteka preko več faz. Najprej nastane na mestu zloma hematom, krvni strdek. Vanj iz okolice in iz periosta prodrejo celice. Sprva so te večinoma vezivne in izločajo kolagen. Govorimo o vezivnem kalusu (brazgotini). Kasneje vezivne celice zamenjajo kostne in hrustančne. Vezivni kalus postopoma prek hrustančnega dozori v kostnega. Ta kosti zagotavlja čvrstost ob obremenitvah. Celjenje se dokonča šele mnogo kasneje, saj se kost na mestu zloma intenzivno pregrajuje.
S konzervativnim zdravljenjem dosežemo sekundarno celjenje, ki je praviloma prisotno tudi pri uporabi zunanjih in notranjih fiksatorjev, intramedularne osteosinteze in osteosinteze z žicami, kjer ne dosežemo anatomskega prileganja odlomkov in popolne stabilnosti.
Rehabilitacija po zlomu
Zgodnja in pravilna rehabilitacija je ključnega pomena za dober rezultat zdravljenja. Danes začnemo s fizioterapijo takoj po operaciji. Pomembno je pasivno in aktivno razgibavanje, krepitev mišic, primerna obremenitev poškodovanega področja, učenje hoje in razbremenjevanja, privajanje na vsakodnevna opravila. Pomembno vlogo ima tudi protibolečinsko zdravljenje. Rehabilitacija je pogosto dolgotrajna. Začnemo že dan po operaciji in nadaljujemo do konca bolnišničnega zdravljenja. Kasneje bolnik naučene vaje izvaja doma. Pogosto je potrebna dodatna fizioterapija ali zdraviliško zdravljenje.

Slika 21
Fizioterapija in delovna terapija lahko bistveno prispevata k dobri funkciji poškodovanega uda po poškodbi.
Zapleti po zlomih
Zaplete pri zlomih lahko razdelimo v zgodnje in pozne.
Zgodnji zapleti
Krvavitev
Pri poškodbi lahko pride do večje krvavitve, ki lahko resno ogrozi življenje poškodovanca. Takšne krvavitve so najpogostejše pri poškodovancih s poškodbami več organskih sistemov, pri poškodbi medenice, odprtih ranah v področju večjih žil. Tudi pri zaprtih zlomih lahko pride do večje izgube krvi v področje poškodbe. Pri zlomu stegnenice lahko izgubimo več kot liter krvi, pri medenici celo več kot dva litra, pri številnih zlomih pa je izguba krvi v mehka tkiva okolice zloma ustrezno večja in lahko ogroža življenje bolnika.
Poškodbe žil in živcev
Kostni odlomki lahko poškodujejo večje žile in živce. Z natančnim pregledom poškodovanega uda lahko ugotovimo okvaro. Poškodbo žil, ki se le redko popravi po uravnavi odlomkov, zdravimo operativno, poškodbe živcev pa so večinoma prehodne narave in se po daljšem obdobju popravijo. Le redko so živci v celoti pretrgani in jih je potrebno zašiti s pomočjo mikroskopa.
Maščobna embolija
Pri zlomu lahko delci maščobe iz kostnega mozga vstopijo v krvni obtok, po njem pridejo v pljuča, kjer zaprejo drobne pljučne žile in povzročijo motnjo delovanja manjših delov pljuč. Nekateri delci uidejo iz pljuč in povzročijo podobne spremembe v koži, možganih, ledvicah, očeh, lahko pa tudi drugje.
Pri bolniku se znaki maščobne embolije pojavijo 12–96 ur po poškodbi. Lahko ima le lažje težave z dihanjem, po koži se pojavijo pikčaste krvavitve (petehije), podobne krvavitve najdemo tudi pod mrežnico. Zaradi zapore možganskih žil se lahko pojavi zmedenost, lahko tudi hujši znaki prizadetosti osrednjega živčevja. V najhujših oblikah se pojavijo težave že nekaj ur po poškodbi, bolnik je šokiran, ima znake hude prizadetosti z oteklino pljuč, hudo hipoksijo in acidozo. V takih primerih je smrtnost več kot 50-odstotna. Do maščobne embolije pride zlasti pri mladih ljudeh z zlomom medenice, stegnenice ali zlomi več kosti. Najuspešneje jo preprečujemo s hitro učvrstitvijo zlomov dolgih kosti, primernimi dihalnimi vajami in nadomeščanjem tekočin.
Utesnitveni sindrom (kompartment sindrom)
Utesnitveni sindrom nastane, kadar se zaradi otekline, izliva krvi ali zunanjega pritiska poveča pritisk v zaprtih mišičnih ložah. Prizadeti ud je otekel, močno boleč, lahko bled, v kasnejši fazi ne tipljemo več utripa arterij, pojavijo se znaki prizadetosti živcev. Zaradi zmanjšane prekrvitve in odsotnosti (oz. nezadostne) preskrbe s kisikom se v nekaj urah po poškodbi prične nepovratna okvara mišičnih vlaken s hudimi funkcionalnimi posledicami.
Pomembno je, da pomislimo na utesnitveni sindrom. Prepoznamo ga na osnovi izkušenj s kliničnim pregledom uda. Pritisk v loži pa lahko tudi izmerimo s posebno napravo. Pri visokih vrednostih se odločimo za takojšnjo operativno sprostitev mišičnih lož (fasciotomija) (glej poglavje 24, poglavje 25).

Slika 22
A – Na utesnitveni sindrom moramo pri zlomih vedni pomisliti, ga hitro prepoznati in zdraviti z razbremenilnimi rezi.
B – Znaki začetne okvare mišičnih vlaken, ki so rjavkasto sivo obarvana.
Venska tromboza in pljučna trombembolija
Pri 5 % poškodovancev pride zaradi upočasnjenega pretoka krvi ob ležanju, poškodbe žilne stene, motenj v strjevanju krvi, izsušenosti in povečane viskoznosti krvi do čezmernega strjevanja krvi v venah. V veliki večini so prizadete žile spodnjih udov in medenice.
Prizadeti ud je otekel, na pritisk boleč, podkožne vene so nabrekle. Bolniki se slabo počutijo, lahko imajo vročino, pospešeno bitje srca (glej poglavje 12).
Vensko trombozo preprečujemo z zdravili (nizkomolekularnim heparinom) in posebnimi ukrepi: dvigovanjem udov, povijanjem z elastičnim povojem, redno telovadbo.
Pljučna trombembolija je nevaren zaplet venske tromboze. Strdek, ki se odlepi iz vene v spodnjem udu, potuje po žilah do pljuč, kjer povzroči zamašitev manjših ali večjih pljučnih žil in s tem motnjo delovanja. Kadar gre za prizadetost manjšega dela pljuč, bolniki nimajo težav, pri večjih področjih pa se pojavijo težave z dihanjem, motnja zasičenosti krvi s kisikom, znaki oslabelosti desne strani srca. Če strdek prizadene celo pljučno krilo ali zamaši glavne pljučne vene, se hitro razvije kardiogeni šok in lahko nastopi smrt v nekaj minutah. Pljučno trombembolijo odkrivamo s pomočjo pljučne scintigrafije in angiografije. Zdravimo jo podporno (kisik, sredstva za spodbujanje delovanja srca), s heparinom preprečujemo ponovitve in raztapljamo strdke (glej poglavje 12).
Pozni zapleti
Pozni zapleti so lahko posledica neustrezne prve pomoči in dokončne oskrbe zloma. Pogosto vodijo v slab estetski in funkcionalni položaj, dolgo in drago bolnišnično zdravljenje s številnimi kirurškimi posegi.
Vnetje
Povrhnje vnetje se pojavi pri odprtih zlomih ali po operacijah, zajame kožo in podkožje, lahko tudi globja tkiva. Je omejeno in ga večinoma lahko pozdravimo.
Osteitis je vnetje kosti. Izvor vnetja je lahko odprti zlom ali okužena operativna rana. Akutni osteitis prepoznamo po oteklini, rdečini in toploti prizadetega uda, bolnik je prizadet, ima vročino, zvišane so vrednosti vnetnih kazalcev (levkociti, CRP in sedimentacija). Kadar gre za vnetje kosti, ki je pokrita z debelo plastjo mišice, se osteitis pokaže samo s splošnimi znaki. V tem primeru je pravilna hitra diagnoza otežena. Nezdravljeni akutni osteitis se sčasoma spremeni v kronični osteitis. Kost je močno spremenjena, pojavljajo se mrtva področja kostnine (sekvestri). Vnetje lahko zajema vsa tkiva nad kostjo ali pa se v koži pojavijo odprtine v obliki kanala, skozi katere se izceja gnoj.
Zdravljenje osteitisa je vedno kirurško, hkrati pa je potrebno dodatno zdravljenje z antibiotiki. Prizadeto področje je treba temeljito očistiti, izprati, odstraniti odmrle dele kosti in ostalih tkiv in učvrstiti kost. Zdravljenje osteitisa je pogosto dolgotrajno in včasih zahteva tudi mikrokiruški prenos zdravega, dobro prekrvljenega tkiva.

Slika 23
A – Pri odprtih zlomih z umazano rano in številnimi tujki je vnetje pogost in pomemben zaplet.
B – Pri kirurški oskrbi je potrebno odstraniti vso mrtvo tkivo (radikalna nekrektomija).
Motnje zaraščanja kosti
Kadar se zlom celi počasneje kot pričakujemo, a so vidni znaki kostnega premoščanja, govorimo o počasnem zaraščanju. Kadar zlom po 3–6 mesecih še ni čvrsto kostno premoščen, govorimo o zakasnelem zaraščanju. O psevdoartrozi (nepravem sklepu) govorimo, kadar se zlom po 6 mesecih ni zarastel.
Poznamo dva tipa psevdoartroz. Pri atrofični psevdoartrozi pride do razgradnje končnih delov odlomkov, tako da je med obema koncema kostna vrzel, ki jo zapolni vezivno tkivo. Vzrok je slaba prekrvitev kosti ob večinoma stabilni osteosintezi. Do hipertrofične psevdoartroze pride, kadar je prekrvitev kosti dobra, zlom pa ni stabilen, tako da se kostni odlomki premikajo. Pride do obilne tvorbe vezivnega kalusa, ki pa zloma ne premosti. V teh primerih je potrebna dodatna operacija, pri kateri odlomke približamo, stisnemo, morebitni prostor med njimi zapolnimo s spongiozno kostjo in zlom ponovno učvrstimo.

Slika 24
A – Zlom stegnenice, operiran s klasično ploščo, po 4 mesecih še ni čvrstega zaraščanja.
B – Psevdoartroza zloma podlahtnice.
Zaraščanje v slabem položaju
Zlom se lahko zaraste v slabem položaju odlomkov. Na dolgih kosteh nepravilni položaj kosti v različnih ravninah (angulacija ali torzijska deformacija) vodi v omejeno gibljivost in nepravilno obremenitev sklepov. Slab položaj pri sklepnih in prisklepnih zlomih pripelje do neskladnosti sklepnih površin, obrabe in bolečin, slabe funkcije ali celo invalidnost.

Slika 25
Nepravilno zaceljen zlom osnovnega členka kazalca desne roke, predstavlja estetsko in pomembno funkcionalno motnjo. Pri upogibu in iztegnitvi bolnika ovira pri vsakdanjih opravilih.
Kompleksni periferni bolečinski sindrom (refleksna simpatična distrofija, Sudeckova atrofija)
Kompleksni periferni bolečinski sindrom (KPBS) se večinoma pojavi po zlomih v predelu zapestja, zlomih gležnja ali stopala. Natančen razlog ni poznan, povezan pa je z dolgotrajno imobilizacijo in bolečino. Poškodovano mesto je oteklo, koža je topla, gladka, svetleča, predel je na pritisk boleč, gibljivost v prstih in zapestju je omejena in boleča. KPBS je vzrok najmočnejše kronične bolečine, ki lahko popolnoma okrni funkcijo poškodovanega uda. Na RTG slikah ugotovimo značilno razredčenje kostnine. KPBS je potrebno hitro prepoznati in ga že v začetnem obdobju celostno zdraviti s fizioterapijo, funkcionalnimi opornicami in programom protibolečinskega zdravljenja in sredstvi za kostno gostoto. V zadnjem času veliko uporabljamo tudi akupunkturo, v hujših primerih tudi hormonsko zdravljenje s kalcitoninom in drugimi zdravili v fazi preizkušanja. Zdravljenje je dolgotrajno, težave pogosto vztrajajo več kot leto dni.

Slika 26
A – KPBS prepoznamo po hudi bolečini, oteklini, topli, svetleči in gladki koži navadno nekaj tednov po zlomu.
B – RTG slika pokaže znake kostnega redčenja.
Ektopična osifikacija (miozitis osifikans)
Ektopična osifikacija je tvorba kostnine v mehkih tkivih. Kadar se pojavljajo depoziti kalcijevih soli v tkivih okrog sklepa, govorimo o heterotopični osifikaciji. Najpogosteje se pojavlja v predelu komolca, redkeje v kolku, kolenu ali ramenu. Kalcinacije lahko povsem omejijo gibljivost v prizadetih sklepih.
Odmrtje kosti zaradi slabe prekrvitve (avaskularna nekroza)
Ob zlomu (ali med operacijo) lahko pride do poškodbe žil, ki prehranjujejo kost. Kadar ima kost le eno ali dve osni žili, ki jo prehranjujejo, pride do odmrtja tega dela kosti. Kost postane mehka in se sesede, kar pripelje do bolečin, motenj sosednjih sklepov in osteoartroze. Najpogosteje pride do avaskularne nekroze pri zlomih glavice stegnenice in nadlahtnice, pri zlomih navikularne kosti v zapestju in skočnice, kosti, ki so večinoma prekrite s hrustancem in imajo slabšo prekrvitev.
Popoškodbena obraba sklepnih površin (osteoartroza)
Popoškodbena obraba sklepa je do neke mere izražena pri vsakem sklepnem ali prisklepnem zlomu. Izraženost motnje lahko do neke mere zmanjšamo z natančno uravnavo sklepnih odlomkov (anatomsko osteosintezo) in takojšnjim razgibavanjem. Kadar pride do hujših težav, pa je potrebna zatrditev ali protetična zamenjava sklepov.
Težave, povezane z vsadki - osteosintetskim materialom
Plošče, vijaki, fiksatorji in žice so tujek v telesu. Povzročajo lahko različne težave. So vstopno mesto za vnetje. Osteosintetski material lahko pritiska na žile in živce in s tem povzroča motnjo v delovanju, ali pritiska na kožo, ki lahko v prizadetem področju odmre. Omajanje vijakov in plošč preden je zlom čvrsto koščeno premoščen, je lahko posledica premalo stabilne osteosinteze, slabo prekrvljene, osteoporotične kosti, premočnega razgibavanja ali prevelike obremenitve, lahko pa tudi ponovne poškodbe. Zdravljenje je operativno. Zlom ponovno uravnamo in zamenjamo vsadek.

Slika 27
A – Po 6 mesecih je ob pretiranem obremenjevanju prišlo do zloma plošče na stegnenici.
B – 2 tedna po operaciji je prišlo do odmrtja kože, plošča je prodrla skozi kožo, prišlo je do vnetja, ki je privedlo do kroničnega vnetja.
Preležanine (razjede zaradi pritiska)
Nastanejo pri bolnikih, ki so zaradi poškodbe dolgo časa v postelji. Pogoste so pri poškodbah hrbtenice s para- ali tetraplegijo in pri politravmatiziranih bolnikih. Najpomembnejše je preprečevanje: dobra nega, ustrezno razbremenjevanje delov telesa, fizioterapija, primeren obvezilni material in drugi ukrepi.
Motnje rasti pri zlomih v otroški dobi
Pri zlomih pri otrocih lahko pride do trajne poškodbe rastne stike in s tem do motnje rasti in razvoja kosti.
Primer 4
44-letni bolnik se je malo pred 18. uro poškodoval v rudniški jami, ko mu je jeklena vrv stisnila obe goleni. Po nekaj minutah se je sprožil samodejni reševalni oddajnik in poškodovanca so usposobljeni rudarji reševalci uspeli rešiti po približno dveh urah. Nato so ga odpeljali v krajevno splošno bolnišnico, mu nudili osnovno oskrbo (imobilizacija s Kramerjevo opornico) in ugotovili, da bolnik nima tipnih utripov arterij desne goleni in potrebuje kirurško oskrbo. Ob 22.22 je bil sprejet v urgentno službo. Ob sprejemu se dogodka ni spominjal. V srednji tretjini goleni je imel 15 x 8 cm veliko raztrganino kože in mišic z izpostavljeno kostjo v dolžini 7 cm. Na zadajšnji strani je imel v predelu kolenske kotanje 10 x 7 cm veliko, globoko raztrganino kože in mehkih tkiv. Utrip žile na desni goleni ni bil tipen. Noga je bila bleda in hladna, na rahel dotik neobčutljiva. Na levi goleni so bile številne udarnine, odrgnine in zmerna oteklina.

Slika 28
A – Odprt zlom zgornjega dela goleni.
B – Golen pod zlomom je bleda in hladna (brez prekrvitve).
Kontrastna preiskava žilja (angiografija) je pokazala, da se od desne kolenske špranje ne prikaže nobena arterija. Z rentgensko preiskavo so ugotovili zdrobljen zlom desne goleni.

Slika 29
A – RTG je pokazal zdrobljen zlom goleni s premikom kostnih odlomkov.
B – Kontrastna preiskava žilja je pokazala prekinitev polnjenja kontrasta (prekinitev prekrvitve v področju zloma) zaradi poškodbe arterije.
Bolnika so nemudoma premestili v operacijsko dvorano in operirali. Naravnali so zlom in kostne odlomke učvrstili z zunanjim fiksatorjem, razbremenili mišične lože in sprostili mišice v njih. Nato so odstranili odmrlo tkivo (kožo, podkožje in mišice), odvzeli prosti venski presadek dolžine 15 cm in ponovno vzpostavili obtok z drobnožilno povezavo (mikrokirurški poseg). Noga se je rožnato obarvala in postala topla. Žilni signal je bil dobro slišen, utrip pa tipen. Nato je bil bolnik premeščen v center za intenzivno zdravljenje. Zdravili so ga z mehansko ventilacijo s 40-odstotnim kisikom in zaradi srčno-žilne nestabilnosti z vazoaktivnimi podpornimi zdravili. Nadomeščali so tekočine, mešanico za izplavljanje razpadnih produktov mišic in redno spremljali delovanje ledvic. Tretji pooperativni dan je bil premeščen na oddelek intenzivne nege. V bolnišnici se je zdravil 96 dni. Bil je še dvakrat operiran zaradi slabega celjenja in vnetja kože in podkožja v področju rane. Z mikrobiološkimi preiskavami so ugotovili tudi okužbo z MRSA. Ugotovili so tudi delno in popolno okvaro živcev obeh nog z izpadom občutljivosti in mišične funkcije. Bolniku so predpisali elektrostimulacijo. Po 96 dneh bolnišničnega zdravljenja je nadaljeval rehabilitacijo. Levi spodnji ud je popolno obremenjeval z opornico, desni pa do teže 30–40 kg. V nadaljevanju rehabilitacije je več let hodil na ambulantne kontrolne preglede. Hoja brez pripomočkov ni bila možna in bolnik je bil invalidsko upokojen.

Slika 30
A - Vzpostavitev pretoka krvi (revaskularizacija) s mikrokirurškim posegom je zelo pomemben del operacije.
B - Končni rezultat 2 dni po operaciji. Noga je rožnata in topla (dobro prekrvljena).
Primer 5
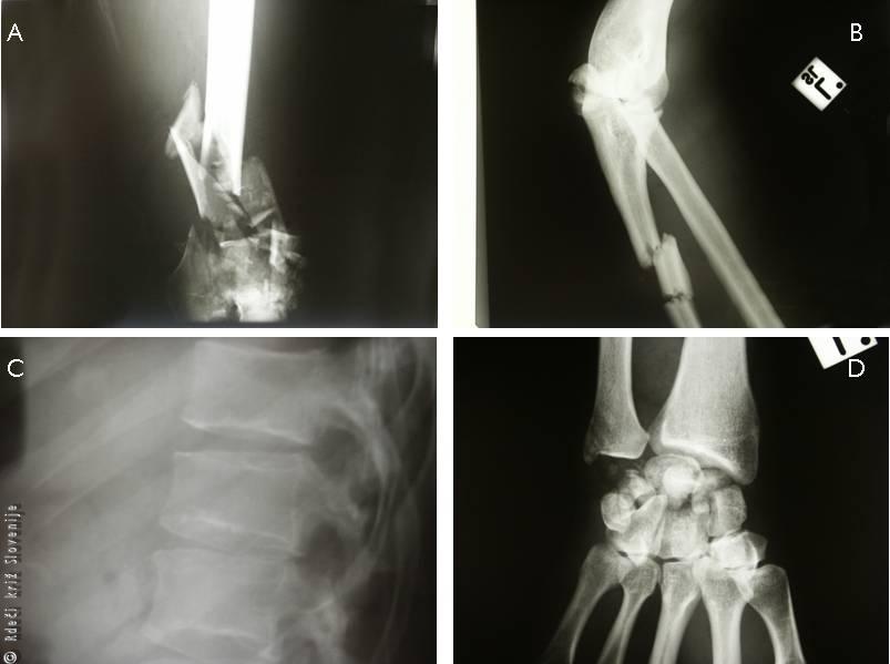
24-letni moški se je s prijateljem po večurnem veseljačenju in popivanju vračal iz praznovanja rojstnega dne. V nočnih urah je vozilo z neprilagojeno hitrostjo v nepreglednem ovinku na spolzki cesti zaneslo na nasprotni vozni pas. Vozilo je silovito trčilo v nasproti vozeč tovornjak. Sopotnika je vrglo iz vozila in je obležal mrtev na kraju dogodka. Voznik tovornjaka je bil lažje poškodovan in je takoj poklical 112 in policijo. Reševalci so v kratkem času prispeli na pomoč in poškodovanca izrezali iz vozila. Nudili so mu prvo pomoč, imobilizirali poškodovane ude, nudili podporno zdravljenje in ga takoj odpeljali v prostor za oživljanje večje bolnišnice. Pri začetnem pregledu je bilo ugotovljeno, da ima poškodovanec številne zlome: zdrobljeni zlom stegnenice nad kolenom, zlom nadlahtnice in koželjnice, dvojni zlom podlahtnice, zlom zapestnih kosti, zlom telesa ledvenega vretenca, številne udarnine in rane.

Slika 31
A – Zdrobljeni zlom stegnenice nad kolenom.
B – Dvojni zlom podlahtnice.
C – Zlom telesa ledvenega vretenca.
D – Zlom zapestnih kosti.
Po predhodni pripravi je bil premeščen v operacijsko dvorano, kjer so učvrstili zlome s ploščami in vijaki ter intramedularnim žebljem. Nato je bil premeščen v center za intenzivno terapijo. Kasneje je bil še večkrat operiran in potreboval je dolgotrajno razgibavanje in rehabilitacijo v zdravilišču. Kljub številnim operacijam, dragemu bolnišničnemu zdravljenju in dolgotrajnem razgibavanju poškodovanec brez opore ne more samostojno hoditi.
Literatura
1. McRae R. Practical Fracture Treatment. Edinburgh: Churchill Livingstone; 1998.
2. Prinčič J, Smrkolj V. Travmatologija. V: Smrkolj V, ur. Kirurgija. Ljubljana: Mladinska knjiga; 1998.
3. Rockwood CA, Bucholz RW, Heckman JD, et al. Rockwood and Green's Fractures in Adults. New York: Lippincott Williams & Wilkins; 2001.
4. Ruedi TP, Murphy WM. AO Principles of Fracture Management. Berlin: Thieme Medical Publishers; 2001.
5. Johnson J. Skelet. Ogrodje našega telesa. Pomurska založba; 1999.