Uvod
Gibalni aparat zgornjega uda je namenjen premikanju njegovega končnega dela – roke. Roka je del telesa, ki je v najtesnejšem stiku z okoljem. Njena oblika je natančno prilagojena funkciji. Roka je sestavljena iz številnih uravnoteženih anatomskih struktur. Že majhna poškodba lahko vodi do velike funkcionalne motnje. Zato napačna prva pomoč in zdravljenje lahko povzročita konec kariere poklicnega glasbenika, premestitev na delovnem mestu ali težave pri vsakdanjih opravilih.
S pregledom na terenu ne moremo natančno ugotoviti, ali gre za poškodbo mehkih tkiv, izpah ali zlom. Običajno najdemo podobno klinično sliko z značilnimi znaki za poškodbo gibalnega sistema: oteklino, bolečino, omejeno gibljivostv. Zato je pomembna pravilna prva pomoč in prevoz v bolnišnico, kjer lahko z natančnim kliničnim pregledom ter zlasti rentgenskim slikanjem v več projekcijah postavimo pravilno diagnozo ter nudimo ustrezno zdravljenje.
Zgornji ud je preko ramenskega obroča povezan s trupom. Skelet ramenskega obroča sestavljajo lopatica in zgornji del nadlahtnice, ki se stikata v ramenskem sklepu, ter ključnica, ki je preko negibljivih stikov pritrjena na lopatico in prsnico. Nadlahtnica je v komolčnem sklepu v stiku s podlahtnico in koželjnico. Končni deli kosti podlakti so preko zapestja povezani z okostjem roke (Slika 1).

Slika 1
A – Skelet ramenskega obroča in nadlahtnice (a - ključnica, b - lopatica, c - nadlahtnica).
B – Skelet podlahti, zapestja in roke (d - koželjnica, e - podlahtnica, f - zapestne kosti, g - dlančnice, h - členki).
V posameznih podpoglavjih v nadaljevanju so obravnavani zlomi po anatomskih področjih, pri katerih veljajo enaki napotki za prvo pomoč:
1. Zlomi kosti ramenskega obroča (zlomi lopatice, ključnice, vratu nadlahtnice) in srednjega dela nadlahtnice.
2. Zlomi kosti v predelu komolca (zlomi spodnjega dela nadlahtnice, glavice koželjnice, olekranona podlahtnice).
3. Zlomi kosti podlakti v srednjem delu.
4. Zlomi kosti zapestja in roke (zlomi koželjnice na tipičnem mestu, čolnička, dlančnic, členkov).
Zlomi kosti ramenskega obroča in srednjega dela nadlahtnice
Poškodbe v predelu ramenskega obroča so glede na starost poškodovancev različno razporejene; otroci si največkrat zlomijo ključnico (87 % vseh zlomov v tem predelu), v starostni skupini med 15. in 64. letom zavzemata zlom ključnice in zlom zgornjega dela nadlahtnice po eno tretjino vseh primerov, starejši od 65 let pa si v več kot štirih petinah primerov zlomijo zgornji del nadlahtnice.

Slika 2
Rentgenska slika ramenskega obroča.
Zlom lopatice je redek in ga zanesljivo lahko potrdimo le v bolnišnici. Nastane pri padcu na ramo ali pri močnem udarcu v predel krila lopatice.
Zlom ključnice je pogosta poškodba. V otroštvu je to eden najpogostejših zlomov. V več kot štirih petinah primerov je vzrok zloma padec na ramo, lahko pa je zlom tudi posledica neposrednega udarca ali padca na iztegnjeno roko. Kljub neposredni bližini pljuč, pomembnih žil in živcev so ti pri zlomu le redko poškodovani. Večinoma se ključnica zlomi v srednji tretjini, redkeje v zunanji (10 %) ali notranji tretjini (5 %).
Podobno klinično sliko kot pri zlomu ključnice, vendar z manjšo bolečino, vidimo pri izpahu ključnice v negibljivem stiku s prsnico oz. lopatico, kar imenujemo sindezmoliza. Nastane zaradi delovanja neposredne sile v predel sindezmoze ali sile, ki se prenese preko nadlahtnice.

Slika 3
A – Zlom ključnice z oteklino in spremenjeno obliko, ki jo tipljemo kot stopničasto deformacijo.
B – Ramenski del zlomljene ključnice ponavadi leži globlje in nižje, kar vidimo na rentgenski sliki.
Zlom vratu nadlahtnice je najpogostejši pri starostnikih. Pogostejši je pri ženskah, ki imajo po večini že izraženo zmanjšano kostno gostoto (osteoporoza), zato je za zlom dovolj že delovanje manjše sile (npr. padec s postelje na iztegnjen zgornji ud).
Pri otrocih lahko pride do premika rastne stike v zgornjem delu nadlahtnice, kar se kaže s podobno, a manj izraženo klinično sliko kot zlom pri odraslih. Navadno otroci tožijo zaradi bolečin in omejene gibljivosti v ramenskem sklepu.

Slika 4
A – Zlom vratu nadlahtnice z oteklino in spremenjeno obliko.
B – Zlom zanesljivo potrdimo z rentgensko sliko.
Zlom srednjega dela nadlahtnice predstavlja približno 3 % vseh zlomov in se redkeje pojavlja pri otrocih kot pri odraslih. Najpogosteje je posledica neposrednega udarca, ki povzroči prečni ali kratek poševni zlom. Redkejši so spiralni zlomi, ki nastanejo zaradi delovanja posredne torzijske sile. Pri takšnih zlomih moramo pri otrocih pomisliti na možnost trpinčenja.
Simptomi in znaki
Poškodovanec s poškodbo v predelu ramenskega obroča navaja bolečino v tem predelu. Prisotna je oteklina. Oblika je lahko spremenjena. Zgornji ud počiva ohlapno ob telesu, včasih ga poškodovanec podpira z drugo roko v komolcu. Bolečina je izrazitejša ob pritisku na poškodovani predel. Gibanje v ramenskem sklepu je omejeno in boleče.
Pri zlomih ključnice s premikom odlomkov pod kožo zatipljemo stopničasto spremenjeno obliko. Ramenski del zlomljene ključnice praviloma leži globlje in nižje.
Obsežna oteklina v poškodovanem področju, boleč, bled in hladni zgornji ud brez tipljivega utripa, napredujoči hemoragični šok so znaki za redko, a zelo resno poškodbo podključnične arterije.

Slika 5
Da bi preprečil gibanje in zmanjšal bolečino, poškodovanec z zlomom v predelu ramenskega obroča z nepoškodovano roko podpira zgornji ud. Vidna je oteklina in spremenjena oblika v poškodovanem predelu.
Prva pomoč
Na terenu ne moremo zanesljivo razlikovati med zlomom v predelu ramenskega obroča, izpahom rame (glej poglavje 27), premikom v stiku ključnice z lopatico oz. prsnico. Poškodovanca ne slačimo. Poškodovani ud imobiliziramo (Slika 6) ter poškodovanca prepeljemo v bolnišnico oz. pokličemo pomoč na tel. 112. Reševalci bodo poškodovani ud oskrbeli z vakuumsko opornico.
Zlomljeno ključnico imobiliziramo z oprtjo. Podlaht obesimo na ruto pestovalnico.
Za zlomljeno nadlahtnico je oprsje najprimernejša opornica. Podložimo pazduho in notranjo stran nadlakti ter sprednjo stran prsi. Upognemo komolec, da so prsti usmerjeni proti zdravi rami. Podlaket obesimo na trikotno ruto, nadlaket pritrdimo k oprsju s trikotnima rutama. Boljša je imobilizacija s pomočjo aluminijaste opornice, ki sega zgoraj čez ramo in spodaj do prstov (Slika 6C, D).
Ob znakih za redko poškodbo arterije je potreben takojšen prevoz v bolnišnico.

Slika 6
A, B – Imobilizacija zlomljene ključnice z oprtjo in trikotno ruto.
C – Imobilizacija pri zlomu zgornjega ali srednjega dela nadlahtnice s tremi trikotnimi rutami.
D – Boljša je imobilizacija s Cramerjevo opornico.
Strokovna oskrba in zdravljenje
Zdravljenje zlomov lopatice je skoraj vedno konzervativno. Zadostuje 2 do 3-tedenska imobilizacija v ruti pestovalnici, nato sledi razgibavanje. Operativno zdravljenje je velika izjema in pride v poštev le v primeru zlomov z večjim premikom odlomkov in če je potrebna rekonstrukcija sklepne čašice in vratu lopatice.
Zdravljenje zlomov ključnice je v veliki večini konzervativno. Imobiliziramo z oprtnikom prsnega koša. Velik delež zlomov pri otrocih se hitro zaceli, najkasneje v 3–4 tednih, možne deformacije se s časom popravijo. Celjenje zlomov v slabem položaju povzroča slabšo moč gibov v rami in stalne bolečine. Lahko ima za posledice tudi moteno prekrvljenost ali občutljivost zgornjega uda. V teh primerih je potrebno razmisliti o operativnem zdravljenju, ki pride v poštev tudi v primeru velikega premika odlomkov in primarne okvare žil in živcev.
Zdravljenje zlomov vratu nadlahtnice je večinoma konzervativno z imobilizacijo, z ruto pestovalnico za 1 teden, in sicer pri zlomih brez premika odlomkov. Pri zlomih s premikom pa je potrebna uravnava in imobilizacija v mavčevem povoju za 3–4 tedne. Sledi fizikalno zdravljenje. V primerih z večjim razmikom odlomkov, ki jih ne uspemo naravnati zaprto, je potrebna operacija.
Zdravljenje zlomov srednjega dela nadlahtnice je najpogosteje konzervativno s kratkotrajnim mavcem, nato pa z manšeto. Pri večjem razmiku odlomkov, poškodbah živčno-žilnih struktur ali če se zlom ne zarašča, je potrebno operacijsko zdravljenje. Pri zlomu ali med operacijo lahko pride do poškodbe radialnega živca, ki na tem mestu poteka ob kosti in oživčuje mišice iztegovalke zapestja ter del kože na zadajšnji strani zgornjega uda. Okvara je večinoma prehodna, okrevanje ob fizikalnem zdravljenju pa dolgotrajno.
Primer 1
24-letni moški na služenju vojaškega roka je bil v urgentno ambulanto prepeljan po tekmi v polaganju rok med prijatelji. V želji po zmagi je v trenutku, ko je strl upor nasprotnika, zaslišal pok in začutil bolečino v zgornjem udu. Dve uri zatem je občutil hudo bolečino v predelu nadlahtnice in komolca. Gibanje v komolcu je bilo omejeno in boleče. Pri pregledu je bila vidna oteklina v spodnjem delu nadlakti, spremenjena oblika in močna bolečina ob pritisku na poškodovani predel. Gibanje v komolcu je bilo zavrto. Ni bilo znakov za poškodbo žil ali živcev. Rentgenska slika v dveh projekcijah je pokazala zlom spodnjega dela nadlahtnice s premikom odlomkov. Potrebna je bila odprta naravnava in učvrstitev zloma.

Slika 7
Na rentgenski sliki je viden zlom nadlahti v spodnjem delu s premikom, pred (A) ter po odprti naravnavi in učvrstitvi s ploščo in vijaki (B).
Zlomi kosti v predelu komolca
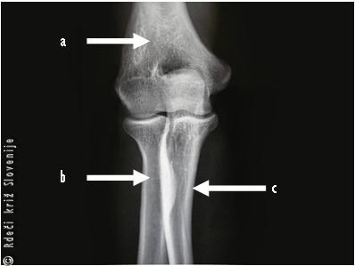
V komolcu se stikajo nadlahtnica ter kosti podlakti (podlahtnica in koželjnica). Najpogostejši zlom v tem predelu je zlom spodnjega dela nadlahtnice, sledita zlom zgornjega dela koželjnice in podlahtnice. Do zloma običajno pride zaradi padca na iztegnjen zgornji ud.

Slika 8
Rentgenska slika komolca
(a - nadlahtnica, b - koželjnica, c - podlahtnica).
Pri zlomih nad komolčnim sklepom je velika verjetnost poškodbe komolčne arterije (Slika 9), ki prehranjuje podlaket in roko, ter radialnega živca, ki na tem mestu prehaja iz zadajšnje na sprednjo stran.

Slika 9
Mehanizem poškodbe komolčne arterije ob zlomu spodnjega dela nadlahtnice.
Zlome v spodnjem delu nadlahtnice razdelimo na zunaj- ali znotrajsklepne. Pri zlomih, ki segajo v komolčni sklep, je pogosto poškodovana sklepna površina. Pri odraslih je zlom ponavadi posledica visokoenergijske poškodbe (prometna nesreča, padec z višine). Način poškodovanja je pri otrocih drugačen, večinoma padec na iztegnjeno roko – maloenergijska poškodba. Pri otrocih je običajno zlomljena nadlahtnica nad komolčnim sklepom (sklepna površina ni poškodovana), nevarna pa je sočasna okvara žil in živcev. Takih zlomov je največ do desetega leta starosti, okoli 16 % vseh zlomov v tej starostni skupini.

Slika 10
Na prednji (A) in stranski (B) rentgenski sliki je viden znotrajsklepni zlom spodnjega dela nadlahtnice v obliki črke Y.
Zlom glavice koželjnice nastane pri padcu na zgornji ud, iztegnjen v komolcu z navznoter obrnjeno podlaktjo. Glavica koželjnice udari ob glavico nadlahtnice. Oteklina po poškodbi ni posebno velika. Boleč je pritisk na koželjnični strani upogibnega dela komolca. Gibljivost komolca je zmanjšana. Zavrti so obračalni gibi podlakti.
Zlom olekranona podlahtnice nastane zaradi padca na komolec ali neposrednega udarca v zadajšnjo stran komolca. Na olekranon se narašča triglava nadlahtna mišica, ki izteguje komolčni sklep in ponavadi razmakne odlomke po zlomu. Poleg otekline in bolečine ob pritisku na poškodovani predel je za zlom olekranona značilno premikanje odlomkov na zadajšnji strani komolca. Izteg komolca pri razmaknjenem zlomu ni mogoč. Pomisliti moramo tudi na zlom spodnjega dela nadlahtnice.
Simptomi in znaki
Poškodovanec navaja bolečino, ki je izrazitejša ob poskusu gibanja v komolcu in pritisku na prizadeti predel. Vidna je velika oteklina in spremenjena oblika. Gibljivost v komolcu je popolnoma zavrta.

Slika 11
Protibolečinska (antalgična) drža poškodovanega uda po zlomu spodnjega dela nadlahtnice. Vidna je oteklina in spremenjena oblika v predelu komolčnega sklepa.
Prva pomoč
Pomisliti moramo tudi na izpah komolca. Izključiti moramo poškodbo žil in živcev. Ob poškodbi v predelu komolca, komolec, ki ga lahko upognemo brez dodatnih bolečin, oskrbimo kot pri zlomu zgornjega dela nadlahtnice (Slika 6C, D). Vsakih 10 minut preverimo utrip žile v zapestju.
Komolca NE smemo nasilno upogniti ali izravnati, ker bi s tem lahko poškodovali pomembne žile ali živce ter povzročili močne bolečine. Komolec, ki ga ne moremo upogniti, imobiliziramo tako, da poškodovani ud s trikotnimi rutami privežemo k trupu (Slika 12).

Slika 12
A – Imobilizacija k trupu po zlomu v predelu komolca.
B – Strokovna imobilizacija z vakuumsko opornico po prihodu ekipe nujne medicinske pomoči.
Strokovna oskrba in zdravljenje
Zdravljenje zlomov spodnjega dela nadlahtnice je v večini primerov operacijsko. Okrevanje je dolgotrajno, gibljivost komolčnega sklepa se pri znotrajsklepnih zlomih redko v celoti povrne. Tudi pri otrocih je zaradi večjega razmika odlomkov ali nestabilnosti zloma pogosto potrebno operacijsko zdravljenje.
Zdravljenje zlomov glavice koželjnice je najpogosteje funkcionalno z doramensko longeto za nekaj dni. Zlome z večjim premikom odlomkov moramo operacijsko uravnati in učvrstiti.
Zdravljenje zlomov olekranona je zaradi razmika odlomkov praviloma operacijsko.
Primer 2
8-letni deček je med igro padel in se udaril v levi komolec. Prepeljali so ga v urgentno ambulanto, kjer je bila ob pregledu prisotna oteklina v predelu levega komolca. Boleč je bil pritisk na glavico koželjnice ter srednji del podlakti. Gibanje v komolcu ni bilo mogoče. Ni bilo znakov za poškodbo žil ali živcev. Rentgenska slika je pokazala zlom spodnjega dela podlahtnice. Potrebna je bila odprta naravnava in učvrstitev zloma.

Slika 13
Zlom v predelu komolca.
A – Vidna je oteklina v zgornjem delu podlakti.
B – Rentgenska slika pokaže zlom zgornjega dela podlahtnice.
C – Zlom je potrebno naravnati z operacijo.
Zlom kosti podlakti v srednjem delu
Sočasni zlomi obeh kosti podlakti so približno dvakrat pogostejši kot zlomi posamezne kosti. Ob zlomu lahko pride do raztrganja vezi med kostema in do izpaha.
Najpogostejši vzrok zloma je delovanje posredne – upogibne (ali redkeje torzijske) sile pri padcu na roko. Samo ena kost se običajno zlomi pri delovanju neposredne sile – neposreden udarec. Zlom, ki nastane tako, da poškodovanec skuša s tem, ko nastavi podlaket, ubraniti udarec na glavo, imenujemo parirni zlom. Pri otrocih je zlomov srednjega dela podlahti tipa »zelena veja« (glej poglavje 28) približno 15 % vseh zlomov podlakti.

Slika 14
Rentgenska slika podlakti s komolcem in zapestjem.
Simptomi in znaki
Vidna je oteklina in ob premiku odlomkov spremenjena oblika podlakti. Ob zlomu samo ene kosti sprememba oblike ne bo velika. Poškodovanec navaja bolečino, ki je izrazitejša ob poskusu gibanja v komolcu ali zapestju. Omejena ali zavrta je gibljivost v komolcu in zapestju ter rotacijski gibi podlakti.

Slika 15
Zlom podlahtnice in koželjnice v srednji tretjini tipa »zelena veja« pri otroku.
A – Vidna je spremenjena oblika in oteklina.
B – Potrditev diagnoze z rentgensko sliko v dveh projekcijah.
Prva pomoč
Dva primeta zlomljeno podlaket (pri komolcu in v zapestju). Komolec naj bo upognjen v pravem kotu. Podložimo obloženo aluminijasto Cramerjevo opornico, ki je upognjena tako, da se prilega poškodovanemu udu in mora segati od rame do konca prstov. Dlan je obrnjena navzgor. Podlaket pritrdimo na vodoravni del opornice z dvema zloženima rutama. S tretjo ruto privežemo navpični del opornice k nadlakti. Če opornice nimamo pri roki, si pomagamo z dvema trikotnima rutama (Slika 16). Najhitrejša in najmanj boleča je imobilizacija z vakuumsko opornico (Slika 12B).

Slika 16
Pravilna imobilizacija pri zlomu podlakti:
A – z dvema rutama;
B – s Cramerjevo opornico.
Strokovna oskrba in zdravljenje
Pri odraslih zlome obeh kosti večinoma zdravimo operacijsko. Kosti naravnavamo in učvrstimo s ploščico in vijaki. Zlome ene kosti z majhnim premikom odlomkov in zlome pri otrocih zdravimo konzervativno z naravnavo in doramenskim mavcem. Pri večjih premikih je potrebna operacija.
Zlomi kosti v predelu zapestja in roke
V zapestju sta končna dela podlahtnice in koželjnice preko osmih zapestnih kosti, razporejenih v dveh vrstah, povezana z dlančnicami. Okostje palca sestavljata dva členka, okostje tročlenih prstov pa trije. Najpogostejši zlom v predelu zapestja in roke je zlom koželjnice na značilnem mestu zaradi padca na iztegnjen ud. Zlomi skeleta roke predstavljajo približno 35 % vseh zlomov zgornjega uda. Najpogostejši med njimi so zlomi členkov, sledijo zlomi dlančnic ter zlom čolnička. Zaradi anatomskih razmer so zlomom v predelu zapestja in roke često pridružene tudi poškodbe sklepov.

Slika 17
Rentgenska slika skeleta roke.
Zlom koželjnice na tipičnem mestu
Zlomov spodnjega dela koželjnice je ena šestina vseh zlomov. Pojavnost je največja v dveh starostnih skupinah, od 6. do 14. leta in od 60. do 69. leta. Vzrok za to je zmanjšana gostota kosti v teh obdobjih, pri mladostnikih zaradi hitre linearne rasti kosti, pri starostnikih pa zaradi fiziološkega propadanja kostnega tkiva in spremenjene mikroarhitekture kosti (osteoporoza). V starejši dobi so zlomi trikrat pogostejši pri ženskah.
Vzrok za zlom je padec na iztegnjen zgornji ud tako, da se poškodovanec ujame na odprto dlan, redkeje na hrbtišče roke. Kostni odlomki se pri tem običajno razmaknejo in roka običajno dobi obliko vilic ali bajoneta.
Simptomi in znaki
Poškodovanec toži zaradi bolečine, ki se širi v dlan. Bolečina je izrazitejša ob pritisku in poskusu gibanja v zapestju, ki je zavrto. Vidni sta oteklina in ob premiku odlomkov tudi spremenjena oblika zapestja. Kadar se po poškodbi pojavi mravljinčenje v vrških prstov, je najverjetneje na mestu zloma poškodovan ali utesnjen živec.

Slika 18
A – Zlom koželjnice na tipičnem mestu pri starostniku. Prisotni sta značilna bajonetno spremenjena oblika in oteklina v predelu zapestja.
B – Prednja in stranska rentgenska slika zapestja po zlomu koželjnice na tipičnem mestu. Na stranskem posnetku je viden premik odlomka navzad, kar se navzven kaže z bajonetno spremembo oblike.
Zlom čolnička
Tudi zlom majhne koščice v zapestju lahko ob nepravilni oskrbi poškodovancu povzroča stalne bolečine v zapestju in hude funkcionalne motnje. Čolniček je prva kost v zgornji vrsti zapestnih kosti. Zlom čolnička zavzema 60–70 % zlomov zapestnih koščic. Najpogostejši je pri mladih moških in nastane pri padcu na iztegnjen zgornji ud z odprto dlanjo.

Slika 19
A – Ob bolečini ter oteklini na zadajšnji strani zapestja ter po padcu na iztegnjeno dlan moramo pomisliti na zlom čolnička.
B – Čolniček leži pod anatomsko tobačnico.
Simptomi in znaki
Poškodovanec občuti blago bolečino, ki postane izrazitejša pri gibanju v zapestju in prijemanju. Prisotna je manjša oteklina in podplutba v predelu anatomske tobačnice, kjer je prisotna bolečina na pritisk. Boleč je tudi potisk palca proti zapestju. Pomisliti moramo tudi na zlom koželjnice na tipičnem mestu, zvin zapestja ali izpah lunatne kosti.

Slika 20
A – Ob značilni klinični sliki za poškodbo čolnička napravimo rentgensko sliko, ki pokaže manjši zlom (puščica), ki ga ne smemo spregledati.
B – Shematski prikaz zloma čolnička.
Zlomi dlančnic
Nastanejo večinoma zaradi padca na roko, udarca s predmetom, ali udarca s pestjo v trd predmet.

Slika 21
A, B – Oteklina in podplutba na hrbtišču roke po zlomu 4. dlančnice.
Simptomi in znaki
Po zlomu dlančnice je prisotna oteklina na hrbtišču roke, bolečina na pritisk in pri gibanju. Vidna je prikrajšava prsta, ki mu pripada poškodovana kost, ter pri spiralnih zlomih križanje prstov pri upogibu.
Zlomi členkov
Zlomi končnih členkov so najpogostejši zlomi na roki in zavzemajo več kot polovico vseh zlomov na tem območju. Največkrat sta prizadeta palec in sredinec. Pogosto so zlomi končnih členkov pridruženi odprtim poškodbam vrška prsta z raztrganjem nohtnega ležišča. Če so zaprti, lahko nastane pod nohtom boleč hematom. Zlome členkov pogosto spremljajo poškodbe sklepov (glej poglavje 27). Ob zlomih lahko pride do premika odlomka, na katerega se naraščajo kite ali obsklepne vezi. Do zloma pride ob udarcu prstov ob trd predmet ali ob stisnjenju prstov med trde predmete. Pogosti so tudi odprti zlomi s pridruženo poškodbo mehkih tkiv, kit, žil in živcev.

Slika 22
Najpogostejše oblike zlomov členkov (a - spiralni zlom srednjega členka, b - zlom bližnjega členka z odtrganjem narastišča stranske vezi, c - zlom zadnjega členka z odtrganjem narastišča kite iztegovalke, d - zlom bližnjega členka s premikom odlomka navzad, e - zlom v predelu bližnjega sklepa med členki z izpahom).
Simptomi in znaki
Značilni znaki zloma členkov so: oteklina, spremenjena oblika, prikrajšava prsta, bolečina na pritisk, patološka gibljivost, nestabilnost na zasuk ali stransko obremenitev ter križanje prstov pri upogibu.

Slika 23
A – Oteklina, spremenjena oblika s križanjem prstov pri upogibu po zlomu bližnjega členka.
B – Rentgenska slika spiralnega zloma telesa in baze bližnjega členka. Gre za zlom pri otroku, saj so še prisotne rastne stike.
Oteklina, spremenjena oblika s križanjem prstov pri upogibu po zlomu bližnjega členka.
Prva pomoč pri zlomih v predelu zapestja in roke
Na terenu je včasih težko razlikovati med zlomom in poškodbo sklepa. Za pravilno prvo pomoč pa to sploh ni potrebno.
Odstranimo vse prstane, ker je zaradi kasnejše otekline lahko ogrožena prekrvitev prsta. Preveriti moramo občutljivost prstov za dotik in stanje prekrvitve prstov.
Pri zlomih v predelu zapestja in zlomih dlančnic roko položimo z dlanjo na mehko obloženo opornico. Namestimo jo od konca prstov do komolca in jo privežemo k roki in podlakti z ruto ali povojem. Podlaket z opornico vred obesimo na ruto pestovalnico (Slika 24A, B). V primeru da ob poškodbi zapestja ne moremo zanesljivo izključiti zloma zgornjega ali spodnjega dela podlahti je smiselno imobilizirati tudi komolec z opornico, ki naj sega do rame.
Ob zlomih členkov je pravilna imobilizacija v upognjenem položaju z manjšo podloženo aluminijasto – Boehlerjevo opornico ali v iztegnjenem položaju na deščici (Slika 24 C, D).

Slika 24
A, B – Imobilizacija pri zlomih v predelu zapestja in roke s Cramerjevo opornico in trikotno ruto.
C, D – Imobilizacija ob zlomu členka z Boehlerjevo opornico.
Strokovna oskrba in zdravljenje
Zlome koželjnice na tipičnem mestu običajno zdravimo konzervativno z naravnavo v lokalni ali splošni anesteziji in imobilizacijo z dokomolčnim mavcem za 4–6 tednov. Sledi fizikalno zdravljenje. Normalno delovanje zapestja ponavadi dosežemo 1–2 meseca po odstranitvi imobilizacije. Moč prstov in roke se lahko popravlja tudi več mesecev. Možna je tudi utesnitev živca v zapestnem prehodu. Bolnik je lahko za naporna dela z roko nesposoben tudi več kot pol leta. Pri slabo naravnanih znotrajsklepnih zlomih in zlomih, zaraščenih v slabem položaju, so bolečine pri fizičnih obremenitvah stalno prisotne. Za operacijsko zdravljenje se odločimo pri nestabilnih in znotrajsklepnih zlomih, ki jih ne moremo naravnati zaprto.
Pri poškodbah zapestnih kosti je potrebno natančno poznati mehanizem poškodbe in napraviti temeljit klinični pregled, saj včasih tudi rentgensko slikanje v več projekcijah ne pokaže zloma. Neprepoznani zlomi imajo lahko za posledico trajno zmanjšanje moči in gibljivosti zapestja, kar zelo ovira vsakdanja opravila. Zlome brez premika zdravimo konzervativno z dokomolčnim mavcem za 4–20 tednov. Nestabilne in premaknjene zlome zdravimo operacijsko.

Slika 25
A – RTG slika prečnega zloma dlančnice.
B – Prečni zlom 4. dlančnice med operacijo.
Cilj sodobnega zdravljenja dlančnic je povrnitev popolnega delovanja poškodovane roke. Praviloma stabilne, nezapletene zlome naravnamo pod nadzorom rentgenske naprave in jih učvrstimo z zunanjo učvrstitvijo (mavec, opornice) ali z uporabo transkutanih žičk. Ostale zlome običajno zdravimo operacijsko.

Slika 26
Odprt, zdrobljen sklepni zlom bližnjega členka sredinca med operacijo (A) ter na rentgenskem posnetku (B).
Zdravljenje zlomov členkov je konzervativno z različnimi načini imobilizacije po uravnavi zloma v prevodni anesteziji ali operacijsko. Pomembno je zgodnje razgibavanje, da ohranimo gibljivost sklepov. V primeru odprtih zlomov takojšnja učvrstitev okostja omogoči oskrbo mehkih tkiv.
Primer 3
13-letni deček je nerodno stopil in padel na razprto dlan. Zaradi močne bolečine v predelu zapestja so mu doma predel imobilizirali s svitki kartona in ga prepeljali v urgentno ambulanto. Tu je bila ob pregledu vidna značilna bajonetno spremenjena oblika zapestja, ki je bilo otečeno. Gibljivost v zapestju je bila popolnoma zavrta. Znakov za poškodbo žil ali živcev ni bilo. Rentgenska slika je pokazala zlom koželjnice na tipičnem mestu s premikom odlomka navzad. Potrebna je bila zaprta naravnava v splošni anesteziji, ki je bila mogoča po tem, ko je bil poškodovanec tešč vsaj 6 ur. Pravilen položaj odlomka smo zdravili z mavcem.

Slika 27
Zlom koželjnice na tipičnem mestu.
A – Improvizirana imobilizacija.
B – Rentgenska slika pokaže zlom s premikom odlomka navzad.
C – Značilno bajonetno spremenjena oblika in oteklina.
Literatura
1. Arnež ZM. Kirurgija roke. V: Smrkolj V, ur. Kirurgija. Ljubljana: Sledi; 1995. p. 595–628.
2. Chung KC, Spilson SV. The frequency and epidemiology of hand and forearm fractures in the United States. J Hand Surg Am 2001; 26 (5): 908–15.
3. Derganc M. Osnove prve pomoči za vsakogar. Ljubljana: Rdeči križ Slovenije; 1994. p. 168–98.
4. Green NE, Swiontkowski MF. Skeletal trauma in children. Philadelphia: W.B. Saunders Company; 1998.
5. McRae R. Practical fracture treatment. Edinburgh: Churchill Livingstone; 1998. p. 99–208.
6. Prinčič J, Smrkolj V. Travmatologija. V: Smrkolj V, ur. Kirurgija. Ljubljana: Sledi; 1995. p. 629–64.
7. Stanley D, Trowbridge EA, Norris SH. The mechanism of clavicular fracture. A clinical and biomechanical analysis. J Bone Joint Surg 1988; 70B: 461–4.