Uvod
Spodnji udi nam omogočajo gibanje. Poškodba, ki prizadene nosilnost ali gibljivost spodnjega uda nam v precejšnji meri okrni svobodo gibanja. Kadar sta prizadeta oba spodnja uda ali pa spodnji in zgornji ud na način, ki onemogoča uporabo bergel, potem je takšen poškodovanec priklenjen na voziček. Vsakdanja opravila, ki se nam zdijo samoumevna, postanejo naenkrat veliko razkošje, bodisi da gre za fiziološke potrebe, kot je uriniranje, odvajanje blata, umivanje, bodisi da si zaželimo izhoda na svež zrak, skočiti do hladilnika po priboljšek ipd.
Okrevanje je dolgotrajnejše kot pri ustreznih poškodbah zgornjega uda, saj je zaradi pokončnega položaja otekanje izrazitejše in traja še mesece po tem, ko so kosti spet pridobile svojo nosilno sposobnost in je poškodovani postavil bergle v kot.
Obsežne poškodbe spodnjega uda puščajo trajne posledice, ki lahko pomenijo, da se ne bomo mogli več ukvarjati s športom, hoditi v gore ali hoditi v isto službo kot pred poškodbo.
Osnovne značilnosti in razvrstitev poškodb – glej poglavje 24, poglavje 27, poglavje 28 – amputacije in »crush« poškodbe.
Zlom stegnenice ali golenice pomeni takojšnjo in popolno izgubo gibljivosti, obenem pa tudi izgubo krvi v mehka tkiva. Zato so lahko poškodovanci, ki imajo srčne, krvne, žilne ali kakšne druge sistemske bolezni, prizadeti, tudi šokirani (glej poglavje 11). Poškodovanec z zlomom kosti spodnjega uda bo zanesljivo potreboval prenos ali prevoz v ležečem stanju.
Spodnji ud razdelimo na tri osnovne predele:
· kolk in stegno,
· koleno in golen,
· gleženj in stopalo.

Tabela 1
Najpogostejši zlomi spodnjega uda.

Slika 1
Spodnji ud lahko razdelimo na 3 regije:
A – kolk in stegno,
B – koleno in golen,
C – gleženj in stopalo.
Zlomi v predelu kolka in stegna
Anatomija in fiziologija
Stegnenica je pri človeku najdaljša in najmočnejša kost. Nanjo delujejo velike dinamične obremenitve v vseh smereh. Služi prenosu sil (tlačne, nateg in zasuk) med medenico in kolenom oz. golenjo. Anatomsko se deli v zgornji, srednji in spodnji del. Glede na posebnosti zlomov in s tem povezanega zdravljenja pa jo delimo na glavo, vrat, trohanterni in subtrohanterni del, deblo (diafizo) in spodnji del.

Slika 2
Anatomska zgradba stegnenice.
Poškodbe skeleta stegna podrobneje razdelimo v zlome glave stegnenice, izpahe kolka, zlome vratu stegnenice, zlome pertrohanternega predela, zlome subtrohanternega predela, zlome diafize stegnenice, zlome spodnjega dela stegnenice in zlome sklepnih površin spodnjega dela stegnenice. Na videz gre za zelo podrobno razvrstitev, vendar ima vsaka od naštetih poškodb svoj način poškodovanja, zahteva svoj način zdravljenja, prizadene različne skupine prebivalstva in zahteva drugačen pristop k rehabilitaciji. Poleg tega se od mesta in vrste poškodbe razlikuje tudi napoved izida zdravljenja.
V letu 2002 se je v največji slovenski bolnišnici zaradi zlomov stegnenice zdravilo 911 bolnikov (12,78 % vseh hospitaliziranih), velika večina – 737 (10,3 %) zaradi zlomov vratu stegnenice ali trohanternega masiva. Skoraj vsi, ki so bili sprejeti zaradi zloma stegnenice, so bili tudi operirani.
Zlom zgornjega dela stegnenice
Ko skelet še ni osteoporotičen, je mehanizem poškodbe podoben kot pri izpahu kolka. Pri tem dodatno nastopajo navadno še torzijske obremenitve. Pri starostno osteoporotičnem skeletu ali pri stegnenici, katere kostnina je oslabljena zaradi bolezni (kostne ciste, zasevki maligne bolezni itd.), pa za poškodbo tega predela zadostuje že manjša sila. Tipična anamneza govori o zdrsu. Dostikrat bolniki povedo, da je počilo, še preden so padli na tla. Zlom zgornjega dela stegnenice je ena najpogostejših poškodb starostnikov.

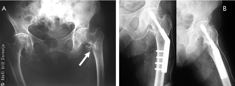
Slika 3
A, B – Pri zlomu stegnenice se spodnji ud zvrne navzven.
Simptomi in znaki
Spodnji ud je navadno zvrnjen navzven in krajši. Pri starejših ljudeh otekline skorajda ni (za zlom je zadostovala majhna sila, zato ni večje poškodbe mehkih tkiv ali krvavitve). Bolečina se velikokrat prenaša v predel kolena, tako da šele natančen pregled pokaže dejansko mesto poškodbe.

Slika 3
A, B – RTG slika zloma zgornjega dela stegnenice in RTG sliki po osteosintezi.
Pri mlajših je za zlom potrebna velika energija, zato imajo vse znake zlomov: oteklino, deformacijo, simptome večje izgube krvi.
Zlom diafize (srednjega dela) stegnenice
Pojavlja se pri vseh starostnih skupinah in nima značilnega načina poškodovanja. Spekter možnih načinov je zelo širok: neposredni udarec, zasuk s fiksirano golenjo oz. kolenom, ukleščenje itd.

Slika 4
A – Izgled zadebeljenega stega po zlomu stegnenice.
B – RTG posnetek stegnenice pred in po operaciji.
Simptomi in znaki
Oteklina in deformacija sta navadno jasno vidni. Brez dobre imobilizacije je vedno prisotna tudi patološka gibljivost. Ker se ob zlomih stegnenice v mehka tkiva izgubi 1500–3000 ml krvi, se pri poškodovancih hitro pojavijo tudi znaki izgube krvi (hiter in slabo tipen utrip, bledica, nizek krvni tlak) (glej poglavje 10).
Zlom spodnjega (distalnega) dela stegnenice
Navadno je posledica padca na koleno oz. neposrednega udarca v spodnji del stegna. Pogosto segajo zlomi tudi do sklepnih površin stegnenice v kolenu.
Simptomi in znaki
Oteklina se nahaja blizu kolena, večinoma sta prisotni tudi deformacija in patološka gibljivost. V primeru hujšega premika odlomkov (dislokacije fragmentov) so zapleti podobni tistim pri izpahu kolena. Dejansko na terenu v takem primeru ne moremo ločiti med tovrstnima poškodbama.
Prva pomoč
Potrebna je imobilizacija celotnega spodnjega uda in kolčnega sklepa. Če imobiliziramo z improviziranimi sredstvi, mora opora na zunanji strani segati do pazduhe, na notranji strani pa do presredka. Ekipe nujne medicinske pomoči pa navadno uporabijo vakuumsko opornico za celotno telo. Smiselno je poklicati tel. 112.
Strokovna oskrba in zdravljenje
Zaradi bolečin damo sredstvo proti bolečinam, vendar ne aspirina ali ostalih nesteroidnih protivnetnih zdravil, saj vplivajo na strjevanje krvi in celjenje kosti. Pri akutni poškodbi je smiselno dati protibolečinsko sredstvo iz skupine opiatov. Navadno nastavimo tudi infuzijo in v primeru daljšega prevoza vstavimo urinski kateter.
Zlom stegnenice je skoraj vedno potrebno operirati, razen pri majhnih otrocih. Operativna učvrstitev zlomov z osteosintezo ali zunanjim fiksaterjem omogoči hitro rehabilitacijo, ki je zelo pomembna za preprečevanje popoškodbenih zapletov in uspešen povratek v normalno življenje. Pri starejših poškodovancih se v primeru zlomov vratu stegnenice odločimo za primarno artroplastiko kolka (vstavitev kolčne endoproteze), saj je pri tej poškodbi zelo verjetno odmrtje glavice stegnenice, s čimer so povezani zapleti. Endoproteza omogoči tudi takojšnjo polno obremenjevanje poškodovanega uda.
Primer 1
76-letna ženska je kuhala kosilo. Ko se je na hitro obrnila, je padla po tleh, po tistem pa ni mogla več vstati. Zdelo se ji je, da je nekaj počilo, še preden je padla na tla.
Ob prihodu reševalcev je ležala na tleh. Povedala je, da jo boli v desnem kolku, desna noga je bila zvrnjena navzven, bila je krajša kot leva. Reševalci so jo imobilizirali v vakuumski opornici za celotno telo in prepeljali v bolnišnico, kjer so ugotovili pertrohanterni zlom desne stegnenice, ji namestili vlek na Braunovi opornici in jo operirali.
Primer 2
25-letna voznica se je zaletela v zid. Ob prihodu reševalcev je bila še vedno v avtu. Volanski obroč ji je stisnil levo stegno. Ko so jo izvlekli, je tožila nad bolečinami v levem stegnu. Na tem mestu je bila prisotna oteklina in patološka gibljivost, levi spodnji ud je bil skrajšan in zvrnjen popolnoma navzven. Reševalci so ga imobilizirali v vakuumski opornici za celotno telo, ji nastavili infuzijo in dali sredstvo proti bolečinam, ter jo prepeljali v bolnišnico, kjer so ugotovili večdelni zlom leve stegnenice in jo operirali.
Koleno in golen
Anatomija in fiziologija
Kolenski sklep je največji sklep v človeškem telesu. Poleg stegnenice in golenice je sestavni del sklepa tudi pogačica, ki je sezamoidna kost v kiti četveroglave mišice stegna (iztegovalka kolena). Golen sestavljata golenica (tibija) in mečnica (fibula).
Kadar govorimo o zlomih goleni pomeni, da sta zlomljeni obe kosti (golenica in mečnica). Včasih pa je zlomljena samo ena kost, takrat govorimo o zlomih golenice oz. mečnice!

Slika 5
A – Shema kosti in mehkih tkiv v kolenskem sklepu.
B – Kosti v kolenskem sklepu.
Zlom pogačice
Način poškodovanja
Vzrok je praktično vedno neposreden udarec v predel pogačice. Tipično je to padec na rob stopnice.
Simptomi in znaki
Prisotna je oteklina na sprednji strani kolenskega sklepa. V predelu pogačice je tipati vrzel. V kolenskem sklepu je obsežen izliv krvi (hemartros), zato je gibljivost povsem zavrta.
Zlom mečnice
Način poškodovanja
Pri zlomih goleni sta navadno zlomljeni obe kosti: mečnica (fibula) in golenica (tibija). Izoliran zlom mečnice je redek in je navadno posledica neposrednega udarca (udarec avtomobilskega odbijača, udarec pri nogometu) ali poškodbe gležnja.
Simptomi in znaki
Prisotna je oteklina z deformacijo in patološko gibljivostjo. Za razliko od zlomov golenice ali goleni poškodovanec lahko stopi na poškodovano nogo.
Zlom zgornjega dela goleni
Način poškodovanja
Nastopi pri padcih na spodnji ud, ko sile v aksialni smeri (glava–peta) presežejo trdnost spongiozne kosti. Skoraj vedno gre (tudi) za poškodbo sklepne površine.
Simptomi in znaki
Prisotna je oteklina z deformacijo in patološko gibljivostjo. Kadar so prizadete sklepne površine kolena, je vedno prisoten tudi izliv v sklep (hemartros).
Zlomi srednjega dela goleni
Način poškodovanja
Možni so prečni zlomi (navadno neposreden udarec - npr. pri nogometu), spiralni (zasuk), poševni (strižni), večfragmentni (visoka energija). Pri zlomih zaradi neposrednega udarca je včasih zlomljena samo golenica. V obdobju 70. in začetku 80. let je bila to tipična poškodba smučarjev.

Slika 6
A – Izgled zlomljene goleni.
B – RTG slika goleni po stabilizaciji z zunanjim fiksaterjem.
Simptomi in znaki
Prisotna je oteklina z deformacijo in patološko gibljivostjo.
Zlomi spodnjega dela goleni
Zaradi anatomskih posebnosti, načina poškodovanja, simptomatike, prve pomoči in drugačnega zdravljenja bomo posebej obravnavali zlom maleolarnih vilic (gležnja), čeprav gre anatomsko za del goleni.
Način poškodovanja
Zlomi so lahko v bližini gležnja ali pa segajo v sam sklep. Način zunajsklepne poškodbe je podoben kot pri zlomih srednjega dela goleni. Kadar pa zlomi segajo v sam sklep oz. na nosilno površino golenice, so navadno posledica delovanja sile v aksialni smeri (glava–peta). Najpogosteje se to zgodi pri padcu na noge ali pri čelnih trčenjih, zlasti ko voznik pritiska stopalke.
Simptomi in znaki
Prisotna je oteklina s spremenjeno obliko in patološko gibljivostjo.
Prva pomoč
Imobilizirati je potrebno celotni spodnji ud: na zunanji strani od kolka do (vključno) stopala, na notranji od presredka do (vključno) stopala. Ekipe nujne medicinske pomoči navadno uporabljajo večjo vakuumsko opornico za celotni spodnji ud.
Strokovna oskrba in zdravljenje
Izoliran zlom mečnice se zdravi konzervativno, brez imobilizacije. Izjema je zlom, ki je povezan s poškodbo gležnja. Zlom pogačice se zdravi vedno operativno, saj mišice vlečejo kostne odlomke narazen.
Tudi zlome zgornjega dela golenice se večinoma zdravi operativno, ker je potrebna natančna rekonstrukcija in učvrstitev sklepnih površin.
Zlomi srednjega in spodnjega dela golenice se večinoma operirajo, kadar pa so razmiki odlomkov majhni, je možno tudi konzervativno zdravljenje z imobilizacijo v mavcu. To velja zlasti za zlome pri otrocih.
Pri zlomu spodnjega dela golenice s prizadetostjo sklepne površine, ko je ta predel dobesedno zdrobljen, se navadno uporabi zunanji fiksater, saj popolna in natančna rekonstrukcija ni možna. Tak zlom ima za posledico predčasno obrabo sklepa (artrozo).
Primer 3
42-letnemu smučarju je na hitro obrnilo levo smučko. Padel je in zaradi bolečin v levi goleni ni več mogel vstati. Reševalci na smučišču so mu imobilizirali levi spodnji ud z opornicami in ga prepeljali do spodnje postaje žičnice, kjer je dobil sredstvo proti bolečinam. V ležečem položaju so ga prepeljali v bolnišnico, kjer so ugotovili, da je leva golen otekla. RTG slikanje je pokazalo spiralni zlom goleni. Bil je operiran in po dveh dneh je pričel vstajati ob pomoči fizioterapevta.
Zlomi gležnja in stopala
Anatomija in fiziologija
Ločimo zgornji in spodnji skočni sklep. Ko govorimo o poškodbi gležnja, navadno mislimo na zgornji skočni sklep. Tvorijo ga nosilna površina golenice, maleolarne vilice in čolnič (talus). Spodnji skočni skep je bolj zapleten, saj je sestavljen iz štirih delov. Zgornji skočni sklep omogoča gibanje stopala navzgor in navzdol, spodnji pa navznoter (inverzija) in navzven (everzija).
Stopalo je sestavljeno iz nartnic in stopalnic ter prstov, ki se naprej delijo na členke. Nartnice spadajo podobno kot pri roki med male kosti, ki so bistvene za obliko in normalno funkcijo stopala. Skupaj s stopalnicami in ob pomoči vezi stopala oblikujejo oz. vzdržujejo stopalni lok. Točke, na katerih se stopalo dotika tal, so peta (petnica) in sprednji del stopala (glavice stopalnic). Prsti (zlasti palec) pa so pomembni za vzdrževanje ravnotežja.

Slika 7
A – Kosti stopala.
B – Zgornji skočni sklep v nevtralnem položaju in plantarni fleksiji (levo).
Zlom zgornjega skočnega sklepa
Način poškodovanja
Zlom je navadno posledica zasuka telesa pri fiksiranem stopalu ali zaradi močne in hitre zvrnitve stopala navzven ali navznoter. Zato pride do zloma maleolarnih vilic in premika talusa vstran (izpah – luksacija). Včasih pa popusti vez na notranji strani gležnja in vez med mečnico in golenico. Mečnica se zlomi višje.
Simptomi in znaki
V področju maleolarnih vilic je prisotna oteklina. Če je zlomljen samo eden od maleolov, je večja oteklina prisotna na poškodovani (notranji ali zunanji) strani gležnja. Večinoma pa so poškodbe prisotne obojestransko. Zato je gleženj v celoti otečen. V primeru hude in dalj časa trajajoče otekline se lahko pojavijo tudi mehurji, t. i. bulozni edem.

Slika 8
A, B – Izgled zloma gležnja.
C, D – RTG slike zloma gležnja pred in po operaciji.
Zlom petnice
Način poškodovanja
Zlom nastane pri padcu oz. skoku z višine na noge. Fiziološko vedno doskočimo na sprednji del stopala, tako da lahko ublažimo pristanek s celotnim spodnjim udom. Pete se dotaknejo tal na koncu doskoka.
Kadar pa prileti oseba neposredno na pete, ni moč ublažiti pristanka. Pride do zloma petnice. Izjemoma se petnica zlomi tudi pri neposrednem udarcu v zadnji del pete ali zaradi krča troglave mišice, ki sunkovito potegne za Ahilovo tetivo, kar povzroči značilen zlom v obliki račjega kljuna.
Simptomi in znaki
Prisotna je podplutba in oteklina pete. Poškodovanega stopala ni mogoče obremeniti, obremeniti ni možno niti prstov, saj je za hojo po prstih potreben vlek mišic, ki se naraščajo na petnico.
Zlomi stopalnic
Način poškodovanja
Vzrok je delovanje neposredne sile ali pa podobnega dogajanja kot pri izpahu spodnjega skočnega sklepa oz. pri poškodbi nartnic: neposredni udarci (brca, padec bremena na stopalo), ukleščenje dela stopala, ostali del s celotnim telesom zaniha in v mejnem področju pride do zloma.
Simptomi in znaki
Stopalo je otečeno in pomodrelo, obremenjevanje poškodovane noge ni možno. Gleženj navadno ni otečen.

Slika 9
A – Izgled poškodovanega stopala.
B – RTG slika zlomov stopalnic.
C – Zamavčenje stopala po naravnavi zlomov.
Poškodbe prstov
Način poškodovanja
Lahko gre za neposredne poškodbe sklepov ali zlome. Načini poškodovanja so zelo raznoliki, najpogosteje je poškodba posledica neposredne sile (npr. brca v trd predmet). V zadnjem času narašča število poškodb stopal, zlasti prstov, z motorno kosilnico. V službi so delavci primerno obuti, enako velja za kmete. Doma pa nekateri kosijo v natikačih ali bosi in se neodgovorno poškodujejo.
Simptomi in znaki
Poškodovani prst je otečen, boleč in slabše gibljiv, navadno tudi pomodrel. Pri hoji poškodovani šepa, saj lahko obremenjuje samo peto.
Prva pomoč pri poškodbah gležnja in prstov
Imobiliziramo stopalo in gleženj. Imobilizacija sega od prstov do kolena. Preverimo prekrvitev. Noga naj bo rahlo podložena. Poškodovani predel lahko hladimo.
Pri poškodbah gležnja, stopalnic, zlasti pa nartnic je zaradi premikov in otekline močno ogrožen kožni pokrov. Zato je pomembna pravilna imobilizacija. Vedno se je treba izogniti kakršnim koli pritiskom, ki bi lahko povzročili odmrtje kože zaradi pritiska. Poškodovance prepeljemo v bolnišnico v ležečem položaju.
Strokovna oskrba in zdravljenje
Če gre za zlom gležnja brez večjega premika, se zdravi z imobilizacijo v mavcu za 5 do 6 tednov in kasneje z rehabilitacijo. Če je prišlo do premikov, pa se navadno odločimo za operacijo, pri kateri naravnamo in neposredno (s ploščico in/ali vijaki) učvrstimo zlomljene kosti.
Podobno velja za zlome stopalnic. V primeru večjega premika je potrebna operacija, sicer dokolenski hodilni mavec s podporo za prste, navadno v trajanju 3 tednov.
Poškodbe nožnih prstov najpogosteje zdravimo konzervativno z obližno imobilizacijo (navadno 3 tedne), operativno zdravljenje zahtevajo le odprte poškodbe oz. veliki premiki.
Zlomi petnice (calcaneusa), čolniča (talusa) in nartnic so redki, vendar za prizadete uničujoči. Z modernim zdravljenjem (zlasti razvojem operativnih metod) smo sicer uspeli izboljšati in zmanjšati invalidnost po teh poškodbah, žal pa poškodovanci v večini po končanem zdravljenju niso več sposobni opravljati stoječih poklicev.
Primer 4
65-letna ženska se je zjutraj vračala iz cerkve, ko ji je na poledenelem tlaku spodrsnilo in je padla. Zaradi bolečin v desnem gležnju ni mogla več vstati. Reševalna ekipa ji je imobilizirala desni gleženj z golenjo in jo leže odpeljala v bolnišnico. Tam so ugotovili, da je desni gleženj deformiran in otečen, desno stopalo je bilo bledo in hladno, utripi arterij na stopalu niso bili tipni. Takoj so ji naravnali gleženj, ji ga začasno imobilizirali v mavčevem koritu in jo še isti dan operirali.
Primer 5
35-letnemu delavcu je pri delu v livarni na desno nogo padel odlitek, težak 15 kg. Zaradi bolečin se je takoj odpravil k zdravniku, ki je ugotovil oteklino in pomodrelost desnega stopala. Stopalo je na dotik tudi močno bolelo.
Zdravnik je imobiliziral stopalo z dokolensko longeto, mu dal sredstvo proti bolečinam in ga z reševalnim vozilom leže napotil v bolnišnico. Tam so ugotovili zlom 1. in 2. stopalnice, ker pa ni bilo pomembnih premikov, so mu za 3 tedne namestili dokolenski nehodilni mavec s podporo za prste.
Literatura
1. Bucholz RW, Heckman JD, eds. Rockwood and Green's Fractures in Adults. 5th ed. Philadelphia: JB Lippincott; 2001.
2. Schimdt AH, Swiontkowski MF: Femoral neck fractures. Orthop Clin North AM 2002; 33 (1): 97–111.
3. Muller ME, Allgower M, Schneider R, et al, eds. Manual of Internal Fixation. 3rd ed. Berlin: Springer Verlag; 1991.
4. Ornato JP, Craren EJ, Nelson NM, et al. Impact of improved emergency medical services and emergency trauma care on the reduction in mortality from trauma. J Trauma1985; 25 (7): 575–9.
5. Heckman JD, ed. Emergency care and transportation of the sick and injured. 5th ed. Chicago: American Academy of Orthopaedic Surgeons; 1992.