Uvod
Nezavest težko definiramo. To je stanje, ki je nasprotno zavesti. Biti zavesten je stanje, ko se oseba zaveda sebe v okolici in okolice, v kateri je. Vemo sicer, kdaj je nekdo nezavesten. Ne samo strokovnjak, tudi laik ne bo za nekoga, ki spi, rekel, da je nezavesten, čeprav po definiciji zavesti ni buden, še manj pa se zaveda sebe in okolice. Zavedati se sebe in okolice definiramo kot pojem vsebine zavesti. Definicija, da je zavest »budnost + vsebina«, je pomembna v toliko, ker imamo v možganih strukture, ki so odgovorne za budnost in so funkcija možganskega debla, vsebina pa je razporejena po skorji obeh polobel velikih možganov. Zavest je torej dejavnost živčevja, ki obsega izkušnje zaznav iz okolice in lastnega telesa. Odvisna je torej od posebne mrežaste strukture v možganskem deblu, katere naloga je, da vzdržuje možgansko skorjo v stalno spreminjajoči se dejavnosti. Le-ta pa oblikuje vsebino zavesti: mišljenje, doživljanje, predstave, spomin, ideje, čustva itd.
Iz navedenega lahko sklepamo, da najlažje opisujemo stanje zavesti tako, da ocenimo preiskovančevo umsko funkcijo. Ocenimo, da oseba ve zase, je časovno in krajevno orientirana in lahko šteje od dvajset do nič. Ocenimo tudi trajanje motnje zavesti, in sicer, ali je bila motnja zavesti kratka, ali je dolgotrajnejša in tudi, ali gre za blago ali hudo obliko motnje zavesti.
Oblike motenj zavesti
Motnja zavesti je lahko kvalitativna ali pa kvantitativna.
Kvalitativne motnje zavesti
· Zmedenost (delna dezorientacija, napačno tolmačenje posameznih dogajanj okoli sebe)
Primer 1
30-letni moški je stal ob vozilu, s katerim se je zaletel v zid domače garaže. Sosed, ki je opazoval njegovo obnašanje, je reševalcem povedal, da je gospod nekaj delal pri delujočem motorju svojega vozila. Nato se je usedel v vozilo in se zaletel v zid. Sprva je menil, da je to storil namenoma, saj se je neposredno pred tem jezil. Gospod je bil tudi sicer nagle jeze. Ko pa je stopil iz vozila, se je čudno obnašal. Vzel je ključ, nato pa je pričel vtikati izvijač v vrata, kot da jih želi zakleniti. Postal je nemiren, ko ga je sosed poklical in ga vprašal, če se dobro počuti in ali potrebuje pomoč. Odgovoril je smiselno. Vendar pa je še naprej hodil okoli vozila in nekaj iskal. Sosedu se je zdelo sumljivo in poklical je reševalce. Pred tem mu je hotel pomagati iz garaže, v kateri je smrdelo po plinu. Reševalci so presodili, da gre verjetno za zastrupitev z monoksidom in mu dali kisik, vendar pa je še ostal zmeden. Na ukaz naj šteje nazaj od dvajset, je odgovarjal povsem napačno. Po pregledu okolice so reševalci opazili v vozilu tudi kartonček sladkornega bolnika in nenačeto čokolado. Pojedel je čokolado. Zmedenost je prenehala, postal je povsem priseben.
· Zamračenost (zmotno doživljanje in tolmačenje dogajanja v okolju, stik z okoljem pa je ohranjen)
Primer 2
60-let star moški je hodil po cesti in prepeval. Mimoidoči so ga začudeno gledali, saj si je slekel srajco in bil samo v spodnji majici. Poleg tega pa se je vsake toliko časa ustavil in si s snegom umival obraz. Ko je nadaljeval pot, ga je zanašalo sem ter tja. Ker so se bali, da bo neprevidno prečkal cesto, so ga pridržali in poklicali policijo. Očividcem se je zdelo, da je vinjen, čeprav ni zaudarjal po alkoholu. Gospod je vse lepo pozdravljal in se pogovarjal. Do prihoda policistov je povedal nekaj šaljivih zgodb brez repa in glave. Bil je prijazen in očividcem je bilo kar žal, da so poklicali policijo. Policisti so odredili reševalni prevoz. Ob prihodu reševalcev je bilo gospodovo obnašanje enako. Na vprašanje, kateri letni čas je in zakaj se je slekel, je odgovoril, da je na morju in da si mora stalno spirati sol z obraza. Reševalec ga je natančno pregledal in ugotovil za desnim ušesom čudno modrikasto spremembo, ki je kazala na poškodbo glave. Prepeljali so ga v bolnišnico, kjer je globinsko slikanje glave prikazalo krvavitev v lobanji. Po operaciji je bil brez težav, dogodkov pred operacijo pa se ni spominjal. Nikoli ni pil alkoholnih pijač.
· Delirantno skaljena zavest (zmotno doživljanje okolice, halucinacije, blodnjavost, pogosto tudi nemir in celo agresivnost)
Primer 3
45-letni moški, alkoholik, dva dni ni poskusil alkoholnih pijač. Žena je reševalcem povedala, da mu alkohol »smrdi« in da jih kliče, ker je začel govoriti o mravljah, ki lezejo po okenski polici. Podobno se mu je že enkrat zgodilo, pa je potem hitro minilo. Nikoli ni bil agresiven, niti kadar je bil vinjen. Tudi ob tem dogodku je bilo tako, vendar pa se je potil in bil nemiren. Ni se tresel. V psihiatrični bolnišnici se še nikoli ni zdravil.
Ob prihodu so tudi reševalci sami opazili mravlje na okenski polici, a gospod je bil nemiren, tresel se je in močno znojil. V rokah je imel blazino, s katero se je pogovarjal. Rekel je, da je to njegov sin, ki ga mora uspavati. Ko sta mu reševalca poskusila odvzeti blazino, je postal agresiven, tolkel je okoli sebe. Žena je stalno zatrjevala, da prej nikoli ni bil tak, da pije že dolgo in samo vino. Močna reševalca sta komaj obvladala bolnika. Potrebno ga je bilo privezati na nosila. Po zdravljenju v psihiatrični bolnišnici se je stanje uredilo.
Primer 4
70-letna gospa je bila zdrava, nikoli ni pila alkoholnih pijač. Hčerka, ki je z njo živela, je poklicala dežurnega zdravnika in povedala, da se mati čudno obnaša. Govori o belih miškah in podoživlja drugo svetovno vojno. Ob obisku je zdravnik opazil, da se gospa poti, da postaja agresivna, v obraz je bila rdeča. Rekel je, da hčerki ne verjame, da gospa ne pije alkoholnih pijač in ocenil, da je stanje posledica odtegnitve alkohola. Hčerka je bila zmedena in ni znala odgovoriti na osnovna vprašanja o rednem jemanju zdravil. Zdravnik se je odločil za prevoz in poklical reševalce. Reševalca sta povedala, da sta gospo pred tremi dnevi peljala na urgenco, ker jo je dušilo in je imela izpuščaj. Dan pred tem je prejela neka nova zdravila proti revmi, ker je imela bolečine v nogah. V tistem trenutku se je tudi hčerka spomnila, da je gospa vsak dan prejela injekcijo, tudi tega dne ji jo je dala patronažna sestra. Zaradi pomanjkanja prostora je bila gospa napotena domov s priporočilom, da sedem dni enkrat dnevno dobi v mišico injekcijo Dexamethasona.
Potreben je bil prevoz v bolnišnico zaradi delirija, ker je gospa postajala tudi agresivna. Po nekaj dneh je bila odpuščena brez posledic.
Kvantitativne motnje zavesti
· somnolenca (lažja motnja, podobna zaspanosti)
Primer 5
12-letni deček je z glavo udaril v tram. Nezavesten ni bil. Pregledali so ga v urgentni ambulanti in niso ugotovili posebnosti. Naslednje jutro je bruhal, potem pa postal zaspan. Mati je povedala, da ga je sicer zbudila, vendar je hitro zaspal nazaj. Večkrat ga je zbudila, pa je vsakič hitro zaspal nazaj. Bila je zaskrbljena. Deček je običajno spal ponoči, čez dan ni bil nikoli zaspan. Če se je zbudil, je ostal buden. Skladno z navodili prvega pregleda so ga ponovno peljali v urgentno ambulanto. Z globinskim slikanjem možganov so ugotovili manjšo udarnino možganov. Ostal je na opazovanju in po nekaj dneh se je stanje normaliziralo.
· sopor (stanje neodzivnosti, kjer je potreben močnejši in ponovni dražljaj, da osebo zbudimo)
Primer 6
60-letni moški je delal v garaži. Bil je žejen in prinesel si je pivo. Padel je na tla, kjer ga je našla žena. Bruhal je. Ko ga je poklicala, se ni prebudil. Ko ga je stresla, je za trenutek odprl oči in nato ponovno zaspal. Ugotovila je, da je mož iz steklenice za pivo pomotoma spil neko tekočino. Poklicala je reševalce. V tem času se je pričel tudi znojiti. Z velikim naporom ga je zbudila, vendar je takoj zaspal nazaj. Reševalci so ga odpeljali v bolnišnico in s seboj odnesli tudi steklenico. V bolnišnici so ugotovili, da se je zastrupil s hladilno tekočino, ki jo je imel v pivski steklenici. Zaužita tekočina je bila prevelika. Kljub pravočasnemu zdravljenju je gospod po 24 urah umrl.
· koma = neodzivnost (različne oblike: plitka koma, alfa-koma, globoka koma)
Primer 7
45-letni moški je padel po stopnicah. Očividec je povedal, da se je pred padcem prijel za glavo. Poklicali so reševalce, pred tem pa so ga dali v položaj za nezavestnega. Krčev niso opazili. Opazovali so mirno dihanje, na vprašanja in na bolečinski dražljaj se ni odzival, udi so bili ohlapni. Ob prihodu reševalcev po 10 minutah je pričel premikati desna uda, vendar se bolnik še vedno ni odzval na klice niti na bolečino. Zdravnik urgentne ekipe je zaradi komatoznega stanja bolniku zagotovil prehodno dihalno pot z vstavitvijo cevke (tubusa) v sapnico. Prepeljali so ga na nevrološki oddelek. Globinsko slikanje glave je prikazalo možgansko krvavitev. Po nekaj urah se je bolnik ovedel, tožil je o glavobolu, večkrat je še bruhal in imel otrpel tilnik. Zaradi krvavitve, ki je nastopila kot posledica razpoka anevrizme (žilne spremembe) v glavi, je bila potrebna operacija. Po 3 tednih zdravljenja je bil brez težav.
Koma je ena najpogostejših urgentnih nevroloških stanj, pri kateri zelo hitro pride do odpovedi nekaterih pomembnih življenjskih funkcij, zlasti dihanja. Če pravočasno ne ukrepamo, nastopi smrt.
Vzroki za motnje zavesti
Vzrok je nevrološka bolezen, npr. možganska kap, lahko je posledica poškodbe možganov ob prometni nezgodi, udarcu v glavo ali pa je posledica druge bolezni ali stanja, ki povzroči okvaro ali moteno delovanje možganov, kot so npr. zloraba mamil, alkoholni opoj, prenizek ali previsok krvni sladkor, pa tudi srčna kap in posledični zastoj delovanja srca.
Pri razmišljanju o vzrokih motnje zavesti nam je lahko v pomoč angleška beseda TIPS (pomeni tipi, vrste) in samoglasniki AEIOU. S pomočjo obeh pomagal si lažje zapomnimo razdelitev vzrokov motnje zavesti.

TIPS
T – travma: Poškodba glave lahko povzroči kratkotrajno motnjo zavesti, ki se lahko zgodi tudi ob blagem pretresu možganov zaradi udarca. Hude poškodbe možganov pa lahko vodijo v komatozno stanje. Motnja se lahko pokaže neposredno po poškodbi (ponavadi so to kvantitativne motnje zavesti) ali pa po daljšem obdobju (14 dni ali več po udarcu v glavo), kot posledica krvavitev v lobanjski votlini, ki je nastala ob udarcu. Kri se je počasi (več dni) nabirala in povzročila postopen pritisk na možgane (Slika 1). Poškodovanec je lahko zmeden, čudno govori ali se celo obnaša kot delirantna oseba, zato ga lahko napačno ocenimo kot kroničnega alkoholika (kvalitativno motena zavest).

Slika 1
Subduralna krvavitev.
A – Globinsko slikanje.
B – Shematični prikaz stanja – vzdolžni prerez, ki lahko takoj ali čez čas povzroči zoženje zavesti (a – krvavitev, b – možgani, c – kost).
C – Slika subduralnega hematoma pri obdukciji.
T – temperatura: Povišana telesna temperatura lahko povzroči tako kvalitativne kot kvantitativne motnje zavesti.
I – infekcije (vnetja): Zoženje zavesti je lahko posledica vnetja možganov in možganskih ovojnic ali prodora bakterij v krvni obtok neodvisno od zvišane telesne temperature. Zožitev zavesti pogosto napačno ocenimo kot posledico pretiranega odmerka zdravil ali alkohola.
P – psihiatrične motnje: Tako odtegnitev alkohola, mamil kot nekaterih zdravil (npr. protibolečinskih) lahko povzroči zoženje zavesti. Zoženje zavesti je tudi posledica duševne bolezni (npr. pri shizofreniji).
S – shock (angleško), šok: Šok pomeni nenaden, hud pretres živčnega sistema z motnjami v krvnem obtoku, spremlja ga nezavest in je lahko posledica hudih infekcijskih bolezni, poškodb, veselja ali strahu (psihični šok). Lahko hitro mine ali pa se zaradi srčnega zastoja konča tudi s smrtjo.
S – subarahnoidna krvavitev: Krvavitev v lobanjski votlini nastane zaradi spontanega razpoka žilne spremembe na znotrajlobanjski žili. Zoženje zavesti je nenadno, lahko pa se pojavi čez čas, ob tem bolnik toži o hudem glavobolu, ki je nastal nenadno. Bolniku je slabo in bruha (Slika 2).

Slika 2
Globinsko slikanje subarahnoidne krvavitve (izliva krvi pod pajčevnico).
A – Obsežna krvavitev, ki takoj privede do izgube zavesti.
B – Obsežna krvavitev in žilna sprememba, ki jo je povzročila (a - anevrizma).
C – Manj obsežna krvavitev, pri kateri je praviloma bolnik pri zavesti, ima pa močan glavobol in otrpel vrat.
S – stroke (angleško), možganska kap: Zaradi zamašitve možganske žile (Slika 3) ali razpoka arterije in posledične možganske krvavitve (Slika 4) nenadoma odpove polovica telesa, lahko vsi udi in pogosto (ne vedno) se zmotni zavest. Pomembno je, da pravočasno pomislimo in prepoznamo znake in simptome možganske kapi (neobčutljivost polovice telesa, nemoč v udih, moten govor), kajti ob pravilnem in hitrem ukrepanju v bolnišnici izboljšamo stanje (glej poglavje 14).

Slika 3
Globinsko slikanje ishemične možganske kapi zaradi zapore možganske žile.
A – Obsežna, obojestranska možganska kap, ki hitro privede do izgube zavesti.
B – Manj obsežna ishemična možganska kap, brez izgube zavesti, vendar s prizadetostjo gibanja ene polovice telesa ter izgube daru govora.

Slika 4
Globinsko slikanje znotrajmožganske krvavitve (izliva krvi v možgane zaradi razpoka manjše arterije).
A – Obsežna krvavitev, ki takoj privede do izgube zavesti.
B – Manjša krvavitev, ki praviloma ne povzroči izgube zavesti, prizadeta pa je ena polovica telesa in lahko dar govora.
C – Krvavitev v možganske votline (možganski ventrikli), ki hitro lahko privede do izgube zavesti, ponavadi pa ni prizadetosti po eni polovici telesa ali daru govora, če je bolnik še pri zavesti. Prisoten je močan glavobol, lahko otrpel vrat.
D – Znotrajmožganska krvavitev, ki jo prikaže obdukcija.
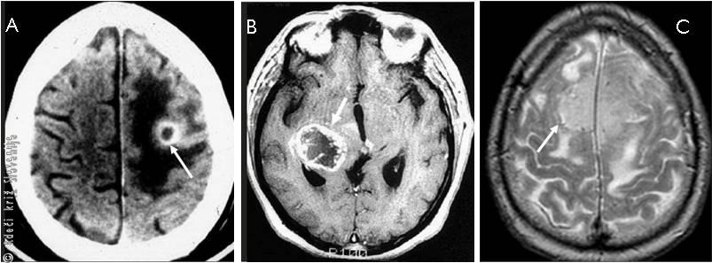
S – space-occupying lesions (angleško): Okvare, ki povzročajo pritisk na možgane zaradi novonastale spremembe v lobanji (npr. tumor). Povzročijo lahko postopno zoženje zavesti zaradi rasti novotvorbe in pritiska na možganske strukture (Slika 5).

Slika 5
A – Globinsko slikanje možganske metastaze raka pljuč.
B – Magnetno-resonančno slikanje rakastega (malignega) možganskega tumorja.
C – Magnetno-resonančno slikanje benignega (nerakastega) možganskega tumorja (meningeom – tumor možganskih ovojnic).
Prikazana stanja lahko privedejo do izgube zavesti zaradi pritiska ali pa zaradi povzročitve božjastnega napada.

AEIOU
A – alkohol in zdravila: Alkohol lahko povzroči le blago zaspanost, lahko pa agresivnost, pri večjem odmerku tudi nezavest. Podobno je z nekaterimi zdravili (npr. protibolečinskimi), ki v kombinaciji z alkoholom ali z drugimi zdravili ali pri previsokem odmerku zožijo zavest.
E – endokrine motnje: Žleze z notranjim izločanjem (npr. ščitnica) s hormoni skrbijo za normalno delovanje organizma. Če se hormonsko ravnovesje poruši, se lahko pri nekaterih bolezenskih stanjih zoži zavest.
E – elektrolitske motnje: Za normalno delovanje organov, predvsem živčevja, so potrebni nekateri osnovni elementi (npr. kuhinjska sol), da je električno prevajanje po živcih normalno. Neravnovesje teh snovi lahko povzroči motnje zavesti.
E – eksokrine motnje: Motnje zavesti so lahko tudi posledice vpliva okolja. Vlažno in vroče okolje lahko povzroči moteno uravnavanje znojenja in pregretje organizma. Motnje zavesti so lahko tudi posledica poškodb z električnim tokom.
I – inzulin: Inzulin je hormon, ki ga izloča trebušna slinavka. Skrbi za pravilno uravnavanje krvnega sladkorja. Sladkorni bolniki imajo premalo inzulina, zato je treba uravnavati krvni sladkor bodisi s tabletami ali z inzulinom, ki ga bolnik prejema v obliki podkožnih injekcij. Če si bolnik vbrizga prevelik odmerek, ob tem pa ne zaužije dovolj hrane, lahko to povzroči zoženje zavesti, celo komo, zaradi prenizke ravni krvnega sladkorja (glukoze), ki je nujno potrebna za pravilno delovanje možganov. Tudi če bolnik ni vzel inzulina ali ima povišano telesno temperaturo, se mu lahko zoži zavest zaradi previsokega krvnega sladkorja, ki tudi povzroči napačno delovanje organov, zlasti možganov.
O – oxygen (angleško), kisik: Pomanjkanje kisika. Kisik je pomemben za pravilno delovanje organov. Pomanjkanje povzroči zoženje zavesti, celo komo, ker je motena prehrana v celicah.
O – opiati: So mamila, ki jih (nekatera) uporabljamo tudi za zdravljenje (lajšanje bolečin), vendar pa prevelik odmerek lahko povzroči naglo komo in smrt, lahko pa se pojavi odtegnitvena reakcija, če uživalec prepovedanih mamil ne dobi svojega odmerka.
U – uremija: Pri ledvičnih bolnikih, ki imajo hudo ali dokončno okvaro ledvic, se lahko zadržujejo v organizmu velike količine presnovkov, ki sicer normalno nastajajo v organizmu, a jih bolni ledvici ne moreta izločiti s sečem. Če z dializno napravo teh snovi ne odstranimo pravočasno, se zoži zavest in nastopi lahko celo smrt.
Osnovni postopki na terenu pri obravnavi motnje zavesti
Kako ukrepamo, če opazimo osebo, ki ima moteno zavest?
Skupno vsem stanjem, ki so opisana, je, da lahko pogosto povzročijo invalidnost in celo smrt, če pravočasno in pravilno ne ukrepamo. Tudi vinjeni osebi moramo pomagati.
Prvo pravilo: Vedno poskušamo pomagati po najboljših močeh in se zavedati, da bomo morda tudi mi nekoč potrebovali pomoč.
Drugo pravilo: Ostati moramo preudarni, mirni in prisebni in zavarovati poškodovanca in sebe.
Tretje pravilo: Oceniti moramo, kaj je lahko privedlo do takega stanja, in paziti, da ne povzročimo še hujših poškodb ali se celo sami poškodujemo (npr. udar z električnim tokom).
Četrto pravilo: Ko smo presodili položaj, nezavestnega damo v položaj za nezavestnega (glej poglavje 6).
Peto pravilo: Pokličemo službo nujne medcinske pomoči (glej poglavje 5).
Nikoli ne poskušamo sami izvleči poškodovanega in nezavestnega iz vozila, če nismo prepričani, da nima poškodovane hrbtenice. Tudi pri nameščanju v položaj za nezavestnega moramo biti previdni in predvideti, da ima oseba lahko poškodovano hrbtenico.
Če je oseba, ki ji nudimo pomoč, nezavestna in pomodrela, ji sprostimo dihalne poti. Preprečimo podhladitev ali pregretje organizma. Če gre za sladkornega bolnika, ki je čedalje bolj zaspan, mu damo sladkor (čokolado, bombon, sladko pijačo ipd.). Morebitne vidne poškodbe oskrbimo s pomočjo drugih očividcev.
Če poškodovani ali nenadno oboleli ne kaže znakov življnja (ne diha in nima tipnega srčnega utripa), moramo nemudoma začeti oživljanje (glej poglavje 6).
Pri osebah, ki niso nezavestne, imajo pa moteno zavest, ocenimo stanje motnje:
· Ocenimo ali je preiskovanec osebnostno, časovno, krajevno orientiran in pozna predsednika države ter šteje od dvajset nazaj.
· Ocenimo tudi trajanje motnje zavesti, in sicer, ali je bila motnja zavesti kratka ali dolgotrajnejša in tudi ali gre za blago ali hudo obliko motnje zavesti.
Namestitev v bočni položaj za nezavestnega
Ocena in spremljanje stanja zavesti med čakanjem na prihod reševalcev
Opazujemo položaj telesa
Laik in reševalec lahko opišeta položaj telesa:
· bolnik ima pokrčeni roki in iztegnjeni nogi;
· bolnik ima zravnani, obrnjeni roki in iztegnjeni nogi;
· bolnik ima pokrčeni roki v komolcu in nogi v kolenih, vrat ima nagnjen močno navzad, naredi lok.
· dekortikacija (fleksija – bolnik ima pokrčeni roki in iztegnjeni nogi) (Slika 6A);
· decerebracija (ekstenzija – bolnik ima navzven obrnjeni roki in iztegnjeni nogi) (Slika 6B);

Slika 6
A – Položaj telesa pri nezavestnem bolniku – dekortikacija, ki pomeni okvaro možganske skorje (na bolečino je reakcija fleksija).
B – Položaj telesa pri nezavestnem bolniku – decerebracija, ki pomeni okvaro celotnih možganov (na bolečino je reakcija ekstenzija).
· opistotonus (bolnik ima pokrčeni roki v komolcu in nogi v kolenih, vrat ima nagnjen močno navzad, naredi lok) (Slika 7).

Slika 7
Položaj telesa pri nezavestnem bolniku – opistotonus, ki pomeni nevarno okvaro ali draženje možganskih ovojnic, npr. kot pri vnetju možganov in ovojnic.
Opazujemo tip dihanja (Slika 8)
Laik opazuje in s svojimi besedami opiše način dihanja:
· pospešeno ali upočasnjeno,
· plitko ali globoko,
· kratko ali dolgo,
· neenakomerno ali s premori.
Zdravnik na osnovi tipa dihanja tudi lahko oceni raven okvare osrednjega živčevja:
· Cheynne-Stokesova oblika dihanja – obojestranske spremembe v globini polobel, lahko presnovna motnja ali pa hudo srčno popuščanje;
· centralna nevrogena hiperventilacija (pomeni napovedno slab znak);
· apnevstično dihanje (okvara mostiča);
· ataktično dihanje (okvara podaljšane hrbtenjače);
· depresija dihanja (intoksikacije).

Slika 8
Oblike dihanja pri bolnikih z okvaro možganov glede na lokalizacijo okvare
Opazujemo lego glave in zrkel
Laik in reševalec lahko opišeta to stanje na podlagi opazovanja:
· katera uda sta negibna;s
· v katero smer je obrnjena glava;
· na kateri strani se napihuje lice, ko bolnik diha skozi usta;
· ali ima to stran obraza negibno.
Zdravniku so v pomoč tudi podatki o legi glave in zrkel:
· v smer okvare, nasprotno od prizadetih udov ene strani (nasprotno od hemipareze) (Slika 9): okvara ene poloble;
· nasprotno od okvare, v smer prizadetih okončin ene strani (v hemiparezo) (Slika 10): draženje ene poloble;
· v smer okvarjenih okončin ene strani (v hemiparezo), nasprotno od okvare možganskih živcev: okvara v možganskem deblu (Slika 11);

Slika 9

Slika 10
Slika 10
Slika 11
Opazujemo zenici in odzive na svetlobo
Laik in reševalec opišeta:
· lego in obliko zenic (Slika 13);
· ocenita, ali se pri dvigu spuščenih vek zenici zožita;
· opišeta razlike pri odzivanju na svetlobo.
Zdravnik:
· opisuje lego in obliko, ocenjuje odzivanje na neposredno in posredno osvetlitev (Slika 12, Slika 13a–e).

Slika 12
Zenici in reakcije na močno osvetlitev enega očesa (direktna reakcija na svetlobo in reakcija na svetlobo na drugem očesu).
A – Normalen odgovor zenic na svetlobo.
B – Okvara vidnega živca v levem očesu (na osvetlitev levega očesa ni niti direktne reakcije zenic na svetlobo, niti na drugem očesu, pri osvetlitvi zdravega očesa pa sta prisotni obe svetlobni reakciji).
C – Okvara levega očesa zaradi obolenja in stanja po večkratnih operacijah. Ni reakcije na direktno osvetlitev levega očesa, na desnem pa je reakcija normalna. Direktna reakcija na svetlobo pri osvetlitvi desnega očesa je normalna, na levem pa reakcije na svetlobo ni.

Slika 13
Ocena zenic – pomembna je ocena širine zenic, enakosti, oblike in reakcije na svetlobo.
Opazujemo motorični odgovor
· spontan,
· na bolečino,
· refleksen.
Laik in reševalec opazujeta sponatno premikanje udov ali premikanje na ukaz (na ukaz naj bolnik premakne vsak posamezni ud) in odmik posameznega uda na bolečinski dražljaj (stisk Ahilove kite je močan bolečinski dražljaj in prav tako stisk mišice nad ključnico) in opišeta asimetrijo. Pri globoko nezavestnem bolniku ali poškodovancu dobimo podoben odgovor glede na pričakovano okvaro možganov, kot je opisano pri oceni položaja telesa.
Pomni! Pomemba je ocena asimetrije.
Opazujemo kornealni refleks
· edino testiranje občutljivosti pri nezavestnem.
Laik in reševalec tega testa ne izvajata!
Pomni! Pomemba je ocena asimetrije.
Opazujemo refleks kašlja, žrelni refleks
· ocena funkcije možganskega debla.
Laik in reševalec tega testa ne izvajata!
Pomni! Pomemba je ocena asimetrije.
Primer 8
70-letni gospod je nenadoma, med hojo, padel na tla. Očividcev dogodka ni bilo. Naključni mimoidoči sprehajalec je opazil, da gospod leži na tleh, diha pospešeno, v obraz je rdeč. Na klic se je gospod odzval z momljanjem nerazumljivih besed. Počasi je odprl veki. Gospod je imel glavo močno obrnjeno v desno in je ni mogel zravnati. Na ukaz udov ni premikal, vendar pa je laik, ki je nudil prvo pomoč, opazil, da se gospodu vsake toliko časa desna noga sama od sebe pokrči v kolenu. Pri poskusu odpiranja vek je laik, ki je nudil prvo pomoč, desno veko brez težav dvignil, levo veko pa je gospod močno stiskal. Opazil je, da sta zenici ozki kot bucika, in ocenil, da sta pri zapiranju in odpiranju vek zenici ostanali enaki. Ko mu je stisnil mišici nad ključnico in Ahilovo kito, je gospod odmaknil le leva uda. Pulz je bil pospešen in plitev. Poklical je reševalno postajo in reševalcu opisal, kaj je ugotovil. V času čakanja na reševalni prevoz, kar je trajalo 10 minut, je gospod pričel normalno dihati, še vedno pa ni premikal desnih udov niti spontano niti na bolečino. Pričel je sam odpirati veki, zenici sta bili sedaj nekoliko širši, odzivali sta se na svetlobo. Položaj za nezavestnega ni bil potreben.
Ob prihodu reševalcev pa je gospod pri nalaganju na nosila pričel že nekoliko spontano premikati desna uda, še vedno je nerazumljivo govoril. Dihal je normalno, krvni tlak je bil 170/100 mmHg, srčna akcija je bila ritmična, srčni utrip 90 udarcev na minuto. Izmerjena vsebnost kisika v krvi je bila 96 %.
Zdravnik na nujni medicinski pomoči, kamor je bil gospod pripeljan po 10 minutah, je ugotovil, da ima gospod normalni zenici , ki se odzivata na svetlobo, bili sta okrogli in enaki. Kornealna refleksa sta bila simetrična, še vedno sta bila desna uda slabše gibljiva, nakazovala se je sponatna gibljivost. Glavo in zrkli pa je spontano premikal v vse smeri. Dihanje je bilo normalno, krvni tlak je bil 160/90 mmHg. Posneli so še EKG. Svojo ugotovitev je zdravnik zapisal na napotnico in gospoda napotil v nevrološko ustanovo s sumom na možgansko kap približno 45 minut po dogodku.
Pred nevrološko ambulanto je bila dolga vrsta in številni bolniški vozički, tako da je bil gospod pregledan pol ure kasneje, v tem času pa je pričel gibati z vsemi udi, bil je še zmeden, saj je na nekatera vprašanja odgovarjal neustrezno, ni znal šteti od dvajset nazaj. Ker je imel zdravnik natančne podatke laika in napotnega zdravnika, je presodil, da je gospod najverjetneje imel epileptilčni napad. Gospod je bil nato povsem priseben in je povedal, da ga bolijo mišice na nogi in da jemlje zdravila proti epilepsiji in ker mu jih je zmanjkalo, je šel k zdravniku po recept. Zjutraj zdravila ni vzel. To je potrdila tudi gospodova soproga, ki je prišla v ambulanto kasneje.
Sinkopa (kratkotrajna, prehodna izguba zavesti)
Sinkopa, kolaps (ali oseba »skup pade«) je pogosto stanje, s katerim se lahko srečamo kjer koli (npr. na avtobusu, v trgovini, banki, v laboratoriju pri odvzemu krvi ali cepljenju, pri zdravniku v čakalnici itd.).
Je nenadna, prehodna izguba zavesti, pri kateri bolnik ni sposoben vzdrževati pokončne drže. Vzrokov za nastanek je zelo veliko.
Bolnik nenadoma pade po tleh in izgubi zavest, ki pa se mu lahko hitro povrne, saj je padec posledica nezmožnosti vzdrževanja pokončne drže. Ponavadi je bled, koža pa je suha. Pogosto bolniki začutijo, da bodo kolabirali in se še pravočasno usedejo. Navajajo, da so na začetku čutili prazno ali lahko glavo, vrtoglavost ali mehke noge.
Prva pomoč
Bolnika nikoli ne dvigujemo, na mestu dogodka ga zavarujemo, privzdignemo mu nogi in v primeru, da se mu je povrnila zavest, mu lahko damo piti tekočino (brez mehurčkov!). Če je zrak v prostoru slab, omogočimo dotok svežega zraka ali osebo prenesemo leže previdno v primeren drug prostor. Dvignemo ji nogi in jih podložimo, odpnemo ovratnik (kravato) in ji damo hladne obkladke. Ker se bolnik ob sinkopi pogosto poškoduje, oskrbimo poškodbe. Nezavestnega bolnika položimo v položaj za nezavestnega.
Nikoli ne dviguj bolnika, ki je utrpel sinkopo.
Primer 9
20-letna študentka je čakala v vrsti pred bančnim okencem. Zrak je bil zadušljiv. Sprva je začutila mehke noge, nato pa se je zgrudila po tleh. Bančni uslužbenec je takoj prišel k dekletu in opazil, da je nezavestna. Poskusil jo je dvigniti, kar mu je v drugem poskusu uspelo. Še bolj je bila bleda, naenkrat pa je dobila tudi krče po vsem telesu. Nato so jo položili nazaj na tla, ker je tako svetoval gospod, ki je tudi stal v vrsti. Dvignili so ji noge in nezavest je izzvenela, pričela se je pogovarjati. Bolele so jo mišice, še vedno je bila bleda, srčni utrip je bil zelo šibak. Povedala je, da se ji je to pripetilo že večkrat. Ponavadi je tako, če stoji v vrsti in je slab zrak. Ko začuti, se usede in s tem prepreči padec, tokrat pa ni bilo blizu nobenega stola. Na glavo so ji dali hladne obkladke in počakali reševalce. Na Nevrološki kliniki so opravili test na nagibni mizi in potrdili sinkopo vazovagalnega tipa. Priporočali so pitje velikih količin ne preveč hladnih tekočin brez mehurčkov.
Primer 10
60-let star gospod je sedel na avtobusu. Nenadoma je omahnil z glavo. Voznik avtobusa je takoj ustavil vozilo in gospodu dvignil nogi. Bil je bled, srčni utrip je imel 25 udarcev na minuto. Poklicali so reševalce, ki so na mestu dogodka opravili EKG preiskvo in potrdili nizko srčno frekvenco. Gospod se je dokaj hitro ovedel in povedal, da je že pred tem občasno izgubil zavest. Navadno se mu je to zgodilo sede in pogosto je tudi padel s stola. Po nekaj minutah se je ovedel, vendar ni mogel takoj vstati. Čakal je na pregled pri zdravniku kardiologu. Gospoda so prepeljali na Internistično prvo pomoč, kjer so ugotovili motnjo srčnega ritma, zaradi česar so mu operativno vstavili srčni spodbujevalec.
Delirij
Delirij je najhujša oblika kvalitativno motene zavesti, za katero je značilna skrajna motnja pozornosti, budnosti, orientacije, doživljanja okolice in sebe v okolici, intelektualnim upadom. Najpogosteje ga spremlja skrajna bojazljivost, strah ali vzdraženost. Delirantni bolnik je nespeč, močno se poti, pogosto je prisoten tremor (hudo tresenje rok). Lahko je tudi zaposlitveno nemiren (stalno nekaj prelaga sem ter tja). Delirantna oseba zmotno doživlja okolico, halucinira ali blodi (vidi bele miške, rožnate slone, sliši čudne glasove, prigovarjanje naj nekaj stori itd.) in je pogosto tudi agresivna. Najpogostejši vzrok je abstinenčna kriza ob prekinitvi pitja alkoholnih pijač pri kroničnem alkoholiku, lahko pa se pojavi tudi pri osebah, ki so jemali barbituratna zdravila ali nekatera hormonska zdavila (npr. deksametazon). Delirij pa lahko nastane tudi pri osebi, pri kateri je prišlo do akutnega vnetja možganov ali možganskih ovojnic (npr. meningoencefalitis zaradi klopa), lahko pa se pojavi tudi pri starejših, ki imajo hudo aterosklerozo (poapnenje žil) ali pa kot znak možganske kapi.
Prva pomoč pri skrajno delirantnem bolniku je preprečitev samopoškodbe. Če je bolnik močno razdražen, je to lahko nevarno, če nismo vešči pravilnih prijemov. Potrebno je poklicati reševalce, ki imajo ustrezno opremo.
Psihogena koma
Včasih se srečamo z bolnikom, ki je nezavesten, pa se nam zdi, da ne gre za pravo motnjo zavesti. Pri ocenjevanju takega stanja moramo biti previdni, vendar so nam lahko v pomoč nekatere značilnosti, ki jih pri pravi komi ne ugotovimo. Pri pravi komi privzdignjeni veki počasi in nepopolno prekrijeta zrkli, pri psihogeni komi bolnik takoj zapre veki ali se upira odpiranju vek. Na tlesk z rokami blizu ušes se ponavadi bolnik odziva s stiskom vek. Pomaga tudi, če ga potiho ogovorimo, vendar pa nikoli ne smemo biti grobi (Video 8).
Primer 11
24-letni fant, ki ga je pustilo dekle in v lastni firmi ni imel dela, je v bližini doma bivšega dekleta zgubil zavest. To sta opazila dekletov oče ter sosed. Takoj sta prišla k fantu. Z vekama je trepetal, ko sta mu dvignila roki, da bi videla, ali jih lahko premika. Bili sta mehki, vendar pa sta neobičajno počasi padli na tla. Gospod je vedel, kako izgleda, kadar si hrom, saj je njegovo mamo pred leti zadela kap. Ni se mu zdelo, da bi bilo to podobno. Poleg tega je fant ležal nekako preveč pravilno na tleh. Ocenil je, da bi verjetno ob takem padcu imel vsaj kakšno odrgnino. Fanta sta dala v položaj za nezavestnega in poklicala reševalce, ki so fanta odpeljali na Internistično prvo pomoč, kjer niso ugotovili posebnosti, zato je bil napoten še na pregled k nevrologu zaradi nepojasnjene izgube zavesti. Nevrolog ni ugotovil posebnosti in ocenil je, da gre za psihogeno komo. Ko se je fant ovedel, je bil napoten še na pregled k psihiatru.
Vedno moramo dokazati, da gre za psihogeno komo. Če nismo prepričani, damo bolnika v položaj za nezavestnega in počakamo reševalce.
Literatura
1. Kalinšek I. Nujna medicinska pomoč. Dopisna delavska univerza Univerzum; 1984.
2. Grad A, Mesec A, Meglič B, ur. Urgentna nevrologija. Združenje nevrologov Slovenije in Klinični oddelek za nevrologijo. Klinični center Ljubljana; 2003.
3. Plum F, Posner JB. The diagnosis of stupor and coma. 3rd ed. Phialdelphia: F. A. Davis Company; 1980.
4. Ross RT. How to examine the nervous system. 3rd ed. Stanford (Conneticut): An Appleton and Lange; 1999.
5. Švigelj V. Resuscitation in neurological and neursurgical patients. V: Bručan A, Gričar M, ur. Urgentna medicina: izbrana poglavja 2, Slovensko združenje za urgentno medicino, Portorož; 1996. p. 105–28.
6. Špec Marn A, Beović B, Borovšak Z, et al. Priporočene smernice za ukrepe in zdravljenje pri poškodovancih s hudo poškodbo glave. Ljubljana: Slovensko združenje za intenzivno medicino; 2002.
7. Švigelj V, Špec-Marn A, ur. Nezavest: izbrana poglavja. Ljubljana: Slovensko združenje za intenzivno medicino; 2003.
8. Možina H. Motnje zavesti. V: Kocjančič A, Mrevlje F, Štajer D, ur. Interna medicina, 3. izdaja. Ljubljana: Littera picta; 2005. p. 36–7.