Uvod
Poškodbe trebuha so pogoste in njihovo število še narašča. Poškodbe trebuha so pri politravmatiziranem poškodovancu (3 hude poškodbe/1 življenje ogrožajoča) prisotne v do 20 % in so po pogostosti pri takih poškodovancih takoj za poškodbami prsnega koša (25 %). Najpogosteje je poškodovana vranica (40 %), nato jetra (20 %), prebavna cev z oporkom (20 %) ter ledvici (10 %). Poškodbe ostalih trebušnih organov so manj pogoste, toda prav tako ogrožajoče in zahtevne za zdravljenje. Najpomembnejši dejavniki, ki vplivajo na smrtnost bolnikov s poškodbami trebušnih organov, so:
· obseg in vrsta poškodovanega organa ali tkiva v trebuhu,
· pridružene poškodbe ostalih organskih sistemov,
· poškodovančeve dotedanje bolezni (npr. ciroza jeter).
Ker smrtnost poškodovancev pri določenih poškodbah trebušnih organov doseže tudi do 100 %, je pomembno posumiti in prepoznati poškodbo trebuha zgodaj v postopku obravnave poškodovanca na terenu, predvsem zaradi ustreznega nadaljnjega ukrepanja in s tem tudi boljših rezultatov zdravljenja.
Anatomija in fiziologija
Trebušna votlina in njeni organi so dobro zaščiteni s kožo, podkožjem, mišičjem in skeletom.
Zgornji del trebušne votline ščitijo spodnja rebra, rebrna loka in hrbtenica s pripadajočimi mišicami. Spodnji del pa ščitijo kosti, ki oblikujejo medenični obroč. Na skelet se pripenjajo številne mišice, ki omogočajo gibljivost trupa in hkrati ščitijo organe trebušne votline. Prsno votlino od trebušne predeli trebušna prepona, ki je sestavljena iz mišičnih in vezivnih vlaken. V njej so prehodi za velike žile, mezgovnice, živce in požiralnik. Prepona je glavni sestavni del mišičja, ki omogoča dihanje s svojim usklajenim delovanjem (Slika 1). Na medenični obroč se s spodnje strani pripenjajo mišice, ki oblikujejo medenično dno. Skozi medenično dno pa prehajajo danka, sečnica, pri ženskah tudi nožnica. Mišice ob hrbtenici tvorijo močno zaščito in sodelujejo pri stoji, nagibanju telesa vstran in njegovem zasuku v levo ali desno. Ploščate mišice sprednje trebušne stene so razporejene tako, da se njihova vlakna križajo v vseh smereh in s tem dajejo čvrsto oporo in zaščito trebušnim organom. Na vsaki strani sprednje stene trebuha imamo tako štiri mišice: premo, zunanjo in notranjo poševno ter prečno trebušno mišico.
Prebavna cev, ki od ust, žrela ter požiralnik skozi trebušno prepono vstopi v trebušno votlino, je glavni del vsebine trebušne votline. Večina prebave in presnove poteka v prebavni cevi s pomočjo izločkov jeter, trebušne slinavke in sluznice želodca in črevesa. V želodcu, ki leži levo ob sredinski črti skozi popek, se hrana pomeša s kislimi prebavnimi sokovi (solna kislina, encimi za razgradnjo beljakovin) v kašo. V dvanajstniku se pomešajo kaša iz želodca, žolč iz jeter ter prebavni sokovi trebušne slinavke (encimi za razgradnjo sladkorjev, beljakovin in maščob). Jetra ležijo večinoma dobro zaščitena pod desnim rebrnim lokom (Slika 1) in so največja (1500 g) žleza v telesu. So močno prekrvljena in ob poškodbah zelo krvavijo. Delovanje jeter je zelo zapleteno in vpliva na številne procese v telesu, še posebej na presnovo. Velik pomen imajo pri zmanjšanju škodljivosti nekaterih snovi, ki vstopijo v telo po prebavni cevi. Vsa kri gre iz prebavne cevi pred vstopom v srce in sistemski krvni obtok skozi jetra. Levo od želodca, zaščitena z levim rebrnim lokom leži vranica (150 g) in skrbi za uničenje starih celičnih elementov krvi ter sodeluje pri imunskem odgovoru organizma. Trebušna slinavka je žleza z notranjim in zunanjim izločanjem in leži ob dvanajstniku, za želodcem in v bližini velikih žil (Slika 1). Tanko in debelo črevo zavzema največjo prostornino trebušne votline in skrbi za prehod hranil v telo in za izločanje odvečnih oz. neprebavljivih snovi iz telesa. Ledvici, sečevoda, mehur in sečnica skrbijo za izločanje in odtok seča. Ledvici ležita zadaj ob hrbtenici, ločeni od proste trebušne votline s trebušno mreno in maščevjem. Zato je krvavitev ob poškodbi manjša in bolje omejena, kot npr. krvavitev iz vranice in jeter. Mehur leži spredaj za sramnico in nad njo.

Slika 1
Shematski (A) in anatomski (B, C) pregled organov trebušne votline.
Razdelitev poškodb
Najpogosteje poškodbe trebuha razdelimo glede na:
· Način poškodovanja:
· tope poškodbe trebuha so posledica delovanja sile na večjo telesno površino:
· udarnine (contusio),
· raztrganine (laceratio),
· »blastne« poškodbe kot posledica udarnega vala eksplozije;
· poškodbe trebuha z ostrim predmetom so posledica poškodb s sredstvi z nizko kinetično energijo:
· vbodne rane (v. punctum),
· prebodne rane (v. transictum),
· ureznine (v. scissum),
· vsekanine (v. sectum),
· vžaganine itd.;
· kombinirane poškodbe trebuha so posledica poškodb s sredstvi z visoko kinetično energijo:
· strelne rane,
· prestrelne rane,
· oplazne rane.
· Poškodovani del telesa ali organ:
· trebušna stena:
· koža,
· podkožje,
· mišice;
· organi v trebušni votlini:
· prebavna cev:
· želodec z začetnim delom dvanajstnika,
· tanko črevo in slepič,
· prečno debelo črevo,
· sigmoidno debelo črevo;
· parenhimski organi:
· jetra,
· žolčnik in del žolčnih poti,
· vranica;
· organi v trebuhu, toda izven trebušne votline:
· prebavna cev:
· večji del dvanajstnika,
· desno in levo debelo črevo,
· danka;
· parenhimski organi:
· trebušna slinavka,
· ledvice s sečevodoma in mehurjem,
· nadledvičnici;
· velike žile dovodnice in odvodnice.
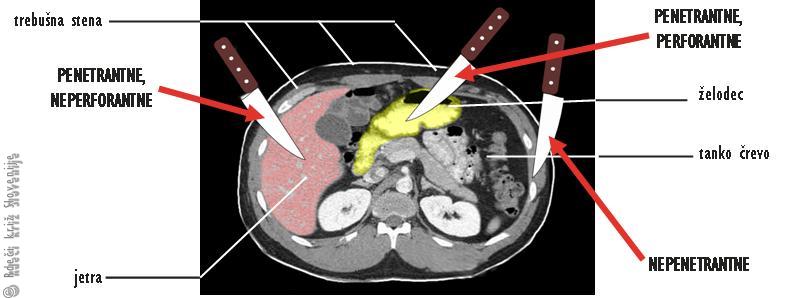
· Globino poškodbe (Slika 2):
· nepenetrantne rane – poškodba ne seže v trebušno votlino, potrebušnica ni bila prekinjena;
· penetrantne rane – poškodba seže v trebušno votlino in potrebušnica je poškodovana:
· neperforantne – votli prebavni organi niso poškodovani,
· perforantne – poškodovani so votli prebavni organi, katerih vsebina izteka v sicer sterilno (brez mikroorganizmov) trebušno votlino.

Slika 2
Glede na globino poškodbe ločimo nepenetrantne in penetrantne rane, ki so lahko neperforantne ali perforantne.
Vzroki in način poškodovanja trebuha
V našem kulturnem prostoru trenutno prevladujejo tope poškodbe trebuha, nastale predvsem pri prometnih nesrečah. Najpogostejši vzroki nastanka topih poškodb so:
· prometne nesreče:
· udarci s topimi predmeti v trebuh, udarci s trebuhom ob tope predmete, stiski trebuha;
· padci z višine:
· stiski trebuha, padci na trdo podlago;
· delovne nesreče:
· udarci s topimi predmeti v trebuh, stiski trebuha, padci na trdo podlago;
· športne nezgode;
· nasilje – pretepi:
· brce, udarci s topimi predmeti v trebuh.
V izrednih razmerah, npr. v vojni, pa se močno poveča pogostost poškodb trebuha z ostrim predmetom in kombiniranih poškodb trebuha, ki so posledica uporabe hladnega orožja, strelnega orožja in eksplozivnih sredstev. V zadnjem času opažamo porast tovrstnih poškodb predvsem v urbanih naseljih zaradi naraščajočega nasilja.
Pri otrocih so vzroki poškodb trebuha sicer podobni, vendar ima pomemben delež med vzroki tudi nasilje nad otroki, katerega pogostost tudi pri nas strmo narašča.
Vrsta poškodbe je neposredno odvisna od:
· jakosti,
· vrste,
· smeri,
· razporeditve sile,
· mesta delovanja sile,
· velikosti področja delovanja sile – večja površina delovanja sile pomeni manjši pritisk na organe ob enaki sili,
· napetosti trebušne stene v trenutku delovanja sile – napeta trebušna stena bolj ščiti organe trebušne votline kot mehka,
· napolnjenost votlih organov s črevesno vsebino:
· poln želodec bo počil hitreje kot prazen,
· polno tanko črevo ima večjo vztrajnost gibanja kot prazno in se prej raztrga.
Tope (zaprte) poškodbe trebuha
Nastanejo zaradi:
· neposrednega delovanja tope sile na trebuh.
Sila povzroči stisnjenje organov, ki jih sestavljajo večinoma tekočine, ki so nestisljive. Organe obdaja slabo raztegljiva vezivna ovojnica, ki zaradi tega poči, kar povzroči krvavitev iz poškodovanih organov v trebušno votlino.
· posrednega delovanja sile vztrajnosti pri naglem zaustavljanju telesa (negativni pospešek).
Organi se zaradi vztrajnosti še pomikajo v smeri gibanja, pri čemer pride do raztrganja vezi (jeter, vranice) na mestu, kjer so organi pritrjeni na steno trebušne votline in samih organov. Tako so najpogosteje poškodovani deli prebavne cevi začetni in končni del tankega črevesa, prečno ter sigmoidno debelo črevo.
Poškodbe trebuha z ostrim predmetom (odprte)
Nastanejo zaradi delovanja ostrih sredstev z majhno kinetično energijo na majhno površino telesa in večinoma povzročijo nastanek ozkega predela poškodbe različne globine brez obsežnega uničenja tkiva, ležečega okoli poškodbe. Pri 30 % poškodb trebuha z ostrim predmetom so poškodovani tudi organi v trebušni votlini.
Kombinirane (strelne ali eksplozivne) poškodbe trebuha
Nastanejo zaradi delovanja sredstev z veliko kinetično energijo na dokaj majhno površino telesa in večinoma povzročijo nastanek ozkega predela poškodbe različne globine, toda z obsežno prizadetostjo tkiv in organov okoli strelnega kanala. To je posledica velike kinetične energije izstrelka, ki jo oddaja na poti, in spremembe poti samega izstrelka med potovanjem po telesu. Pri kombiniranih poškodbah so trebušni organi poškodovani kar v 80–90 %.
Ugotavljanje poškodb trebuha
Kadarkoli se srečamo s poškodovanci, ki bi lahko imeli tudi poškodbe trebuha in trebušnih organov, je NUJNO najprej oceniti:
A. prehodnost dihalnih poti,
B. dihanje,
C. krvni obtok.
Po začetni oceni poškodovančevih življenjskih funkcij in po potrebi ob temeljnih postopkih oživljanja in imobilizacije (vratna hrbtenica, itd.) začnemo ocenjevati ostale poškodbe, med drugim tudi poškodbe trebuha.
Pogosto je pri oživljanju bolnika težko slediti običajni diagnostični obravnavi z jemanjem podatkov, natančnim pregledom bolnika in dodatnimi diagnostičnimi postopki. Zato je opazovanje in pregled poškodovanca v veliko pomoč pri začetni oceni ogroženosti poškodovanca zaradi poškodb trebuha. Omogoči nam:
· postaviti sum na poškodbo trebušne stene in trebušnih organov,
· utemeljiti sum ali prepoznati poškodbo notranjih organov,
· izbiro pravilnega nudenja prve pomoči,
· pravilno odločitev o nujnosti prevoza v bolnišnico.
Sum na poškodbo trebušne stene in trebušnih organov
Pri postavljanju suma na poškodbo trebušne stene in trebušnih organov so nam v veliko pomoč podatki, ki jih pridobimo od poškodovanca ali od soudeležencev v nesreči ali od očividcev. Zbiranje podatkov naj bo kratko in usmerjeno. Če je mogoče, pridobimo in zapišemo podatke:
· o mestu in času nastanka poškodbe;
· o vzroku poškodbe;
· o mehanizmu nastanka poškodbe;
· o bolečini:
· kdaj se je pojavila in kje;
· ali je stalna, občasna, krčevita, topa ali ostra;
· ali je blaga, zmerna ali huda;
· kje je najbolj izražena;
· ali se je mesto največje bolečnosti od trenutka nesreče spremenilo;
· o slabosti, bruhanju (kakšna je bila izbruhana vsebina);
· o dotedanjih in spremljajočih boleznih ter operacijah v trebuhu;
· o alergijah;
· o zdravilih (npr. zdravila, ki preprečujejo strjevanje krvi) in zlorabi opojnih snovi in zadnjem obroku.
Utemeljitev suma ali prepoznava poškodbe trebušne stene ali trebušnih organov
Pri tem si pomagamo s čim bolj natančnim pregledom poškodovanca, ki ga glede na spremembe v splošnem stanju po potrebi tudi večkrat ponovimo. Pri pregledu si pomagamo:
· z opazovanjem bolnika,
· s potrkavanjem in otipavanjem trebušne stene,
· s poslušanjem črevesnih zvokov.
Bolnika je za natančen pregled nujno sleči kolikor to dopuščajo okoliščine.
Pri bolniku moramo opazovati:
· splošen videz bolnika:
· prizadetost, nemir, strah;
· barvo kože – modrikasta, bleda, vlažnost (sum na krvavitev);
· obraz:
· barva kože in vidnih sluznic;
· dihanje:
· plitvo in hitro dihanje brez trebušnega dihanja pogosto kaže na poškodbo trebuha;
· trebuh:
· obliko in velikost;
· spremembe na koži (rane, udarnine, sufuzije);
· gibe trebušne stene pri dihanju;
· zadnjik:
· kri na zadnjiku kaže na poškodbo debelega črevesa;
· spolovilo:
· kri pri ženskah govori za poškodbo vagine ob poškodbi sramnice,
· kri pri moških pa kaže večinoma na poškodbo sečnice.
Pri pregledu bolnika bo strokovno usposobljena oseba na terenu ali zdravnik v zdravstveni ustanovi natančneje s potrkavanjem, otipavanjem trebušne stene in poslušanjem črevesnih zvokov opredelila poškodbo. Pri tem pregledu bo posebno pozornost posvetila naslednjim znakom:
· mestom največje bolečnosti:
· posumimo na poškodbo posameznih organov (poškodovanec nakremži obraz pri pritisku in napne mišičje trebušne stene);
· ocenjujemo napetost trebušne stene:
· pri predrtju votlega organa je trebušna stena napeta in pogosto trda kot deska;
· ob potrkavanju in otipavanju določimo prisotnost proste tekočine v trebušni votlini:
· prosta tekočina je običajno znak krvavitve;
· odsotnost sicer običajno prisotnih zamolklin (jetra, vranica):
· kadar pride do predrtja votlega organa in zato kopičenja zraka v trebušni votlini pri potrkavanju zamolkline nad temi organi izginejo.
Črevesne zvoke običajno poslušamo s posebnimi slušalkami, uporabno pa je tudi prisloniti uho na trebušno steno. Pri poškodbah je ta način manj uporaben, pogosto pa tišina v trebuhu kaže na poškodbo trebuha.
Vodilni znaki poškodb trebuha
Pri poškodbah trebuha, tako topih (zaprtih) kot povzročenih z ostrim predmetom in kombiniranih (odprtih), lahko pride do raznovrstnih poškodb tako v vrsti prizadetih organov kot tudi v obsežnosti poškodbe le-teh. Zato so znaki pri poškodovancih lahko različni.
Vodilno znamenje pri vseh poškodbah trebuha je običajno huda bolečina, kar povzroči pri poškodovancu nehoteno napenjanje mišic trebušne stene, kar naj bi preprečilo nadaljnje poškodbe. Navkljub želji, da bi sprostil mišice trebušne stene, poškodovanec tega ne zmore in je trebuh delno ali v celoti trd kot deska.
Poškodbe organov v trebušni votlini hitro vodijo do razvoja šokovnega stanja in življenjske ogroženosti, pogosto zaradi krvavitev v trebušno votlino (glej poglavje 10).
Pri poškodbah trebuha je poškodovancu na terenu težko ugotavljati, kateri organ je poškodovan in v kolikšni meri. Pomembno pa je, da ob naslednjih znakih potrdimo sum na poškodbo enega od trebušnih organov, poškodovancu nudimo ustrezno prvo pomoč in zagotovimo čimprejšnji ustrezni prevoz v bolnišnico.
Poškodbe trebušnih organov lahko razdelimo glede na vodilne znake v dve skupini, kjer prevladujejo znaki krvavitve ali trebušnega draženja:
· poškodbe parenhimskih organov ali žil v trebušni votlini, kjer prevladujejo znaki krvavitve:
· hudo šokovno stanje:
· krvni tlak je znižan,
· srčni utrip je pospešen,
· arterijski utrip je slabo tipljiv,
· koža je bleda, hladna in znojna,
· poškodovanec je nemiren;
· trebuh je napet, mestoma zmerno boleč:
· največja občutljivost je nad mestom poškodovanega organa;
· prosta tekočina v trebuhu (kri);
· poškodba votlih organov z izlivom vsebine v trebušno votlino, kjer prevladujejo znaki draženja trebušne stene:
· šokovno stanje je manj izrazito;
· obraz je sivkaste barve s trpečim izrazom;
· jezik je suh, belo obložen;
· poškodovanec je prizadet zaradi bolečine;
· poškodovanec miruje v položaju, ki mu povzroča najmanj bolečin;
· trebuh je:· uleknjen,
· v celoti trd zaradi napetosti mišic,
· na otip močno boleč;· zamolklini jeter in vranice sta v 80 % odsotni.
Ob najdbi takih znakov poškodovancu takoj nudimo prvo pomoč in zagotovimo nujen prevoz v bolnišnico (pokličemo 112).
Prva pomoč in prevoz v bolnišnico
Pri poškodovancu pri katerem posumimo ali ugotovimo poškodbe trebuha in trebušnih organov moramo poskrbeti za:
· vse ukrepe ob večji poškodbi in klic na 112;
· mirovanje poškodovanca;
· popolno prepoved uživanja jedi in pijač;
· pravilen položaj poškodovanca (Slika 3), ki sprosti trebušne mišice in poškodovancu s tem zmanjša bolečine:
· leži na hrbtu s pokrčenimi in podloženimi koleni in pokrčenimi kolki (glava je podložena s 30o vzglavnikom);
· pri odprtih poškodbah rano na trebuhu sterilno prekrijemo:
· obveza naj rano le rahlo prekriva;
· trebušnih organov, ki silijo skozi rano, NIKOLI ne potiskamo nazaj v trebušno votlino;
· poškodovanca pokrijemo z odejo, da se ne podhladi:
· s tem zmanjšamo motnje v strjevanju krvi, ki nastanejo pri dodatni podhladitvi;
· zagotovimo ustrezen prevoz v bolnišnico TAKOJ, ko je mogoče.

Slika 3
Poškodovanca s poškodbo trebuha med čakanjem na prevoz položimo v polsedeč položaj s podloženimi in nekoliko pokrčenimi nogami.
Razdelitev topih poškodb trebuha
Povrhnje poškodbe trebuha
So najlažja oblika topih poškodb trebuha, pri katerih je poškodovana le trebušna stena. So lahko različnih stopenj: od najlažjih, pri katerih najdemo le podplutbe (modrikasta lisa na koži zaradi izliva krvi – Slika 4) ali hematome (omejen izliv krvi v mehko tkivo – Slika 5) do hudih raztrganin podkožja, mišic in mišičnih fascij z bolj ali manj hudimi krvavitvami v trebušno steno. Pri teh poškodbah je pomembno izključiti poškodbe notranjih organov.

Slika 4
Podplutba trebušne stene povzročene z varnostnim pasom.
Primer 1
46-letni bolnik se je pred tremi meseci spotaknil in padel na ročaj lopate. Takrat ga je bolel predel rebrnega loka desno, počutil se je dobro, težav z dihanjem ni imel. Poškodovano mesto si je hladil in mazal z zeliščnim mazilom. Tako so bolečine po mesecu dni prenehale in zdravnika ni obiskal. Pred 8 dnevi je dvignil breme, težko 50 kg (vreča cementa) in ob tem ga je močno zabolelo. Postal je poten, srce mu je hitreje bilo, na trebuhu pa je opazil večjo oteklino pod desnim rebrnim lokom, ki je naraščala in mu povzročala vse hujše bolečine. Po krajšem počitku leže se je stanje umirilo. Ker se je oteklina počasi povečevala, splošno stanje pa včeraj poslabšalo s povišano telesno temperaturo do 38,3 oC , ga je danes žena odpeljala k zdravniku.
Po prihodu v bolnišnico so z rentgenogramom prsnega koša ugotovili zaceljen zlom 7. rebra desno ob oteklini. Ultrazvok trebušne stene je pokazal kolekcijo goste tekočine, verjetno krvi brez znakov gnojnega vnetja, v premi trebušni mišici desno. Bolnika je operiral abdominalni kirurg, podvezal žilo tik pod rebrom (žila je bila delno poškodovana pred tremi meseci, na mestu oslabljene stene pa je pred 8 dnevi počila), ter odstranil vso staro kri (1000 ml) in manjšo gnojno kolekcijo ob njej.

Slika 5
Hematom ovojnice preme mišice.
Globoke poškodbe trebuha
So poškodbe, pri katerih je poškodovan kak organ v trebušni votlini ali retroperitonealnem prostoru. Krvavitev v retroperitonealni prostor je omejena, če ne poči potrebušnica, ter manjša kot krvavitev v prosto trebušno votlino. Pri globokih topih poškodbah trebuha pride do poškodbe:
· parenhimskih organov trebušne votline (jeter, vranice) ali oporka črevesa s krvavitvijo v trebušno votlino;
· parenhimskih organov retroperitoneja (ledvic, trebušne slinavke itd.) s krvavitvijo v retroperitonej, ob poškodbi potrebušnice pa tudi v trebušno votlino;
· votlih organov z izlitjem vsebine organa v trebušno votlino ali retroperitonej;
· poškodbe velikih žil.
Najpogostejše poškodbe trebušnih organov
Raztrganina vranice
Je najpogostejši vzrok krvavitve v trebušno votlino. Nastane zaradi delovanja sile udarca v predel levega rebrnega loka ali levi zgornji del trebuha ali neposrednega delovanja sile vztrajnosti pri padcih z višine in trkih pri prometnih nezgodah. Nujno je omeniti pozno raztrganino vranice, katere znaki se lahko pojavijo tudi nekaj tednov po poškodbi vranice in ob sami poškodbi ni bila prepoznana. Ob poškodbi je namreč nastal hematom vranice, ki se je počasi večal toliko časa, da je vezivna ovojnica vranice počila in so se pokazali znaki nenadne hude krvavitve v trebušno votlino.
Primer 2
Dijak 3. letnika srednje šole je pri igranju košarke dobil močan udarec v levi rebrni lok. Bolečine so po nekaj dneh prenehale in dijak je pozabil na poškodbo. Čez mesec dni mu je postalo slabo med tekom z dekletom po gozdu in izgubil je zavest. Ko so ga našli, je bil pri zavesti, padca se ni spominjal. Dekle je povedalo, da je fant padel brez vzroka na mehko podlago in da ni imela stika z njim nekaj sekund, vendar se je hitro ovedel. Ves čas je spontano dihal. Pokrila ga je z zgornjim delom oblačil. Ob prihodu reševalcev je bil prizadet, koža potna in hladna. Imel je blage bolečine v trebuhu in sililo ga je na bruhanje. Imel je pospešen, plitev utrip, krvni tlak pa nizek. Zaradi suma na motnje srčnega ritma so posneli EKG, ki pa je bil brez patoloških značilnosti. Zato so posumili na poškodbo trebuha in bolnika prepeljali v bolnišnico. Ob sprejemu so ugotovili padec vrednosti hemoglobina v krvi. Poleg drugih preiskav so napravili ultrazvok trebuha. Pokazal je večjo količino proste tekočine v trebuhu in velik, delno izpraznjen zbirek tekočine v vranici. Ker se je kmalu po sprejemu poškodovančevo stanje poslabšalo, so ga operirali. Našli so star hematom vranice in svežo krvavitev (2000 ml) v trebušno votlino. Odstranili so vranico s hematomom (Slika 6). Poškodovanec je hitro okreval in 8. dan zapustil bolnišnico.

Slika 6
Hematom vranice.
Raztrganina jeter
Nastane zaradi neposrednega delovanja sile udarca na desni rebrni lok in desni zgornji del trebuha, ali zaradi posrednega delovanja sile vztrajnosti pri padcih z višine ali hudih trkih v prometnih nezgodah in podobno. Zaradi raztrganja jetrnega parenhima pride tudi do prekinitve žil, zaradi česar nastopi krvavitev v trebušno votlino, in do prekinitve žolčnih vodov, zaradi katerih žolč izteka v trebušno votlino in povzroča draženje potrebušnice - peritonitis. Vodilni znaki so znaki krvavitve v trebušno votlino. Hude poškodbe jeter, pri katerih so poškodovane velike žile, so še vedno velik izziv za zdravljenje in imajo visoko smrtnost (50 % in več). Zato mora biti ukrepanje hitro in pravilno.
Primer 3
43-letna poškodovanka je po proslavljanju novega leta s sodelavkami hitela z avtomobilom domov v vinjenem stanju. Zaradi poledice (-10 oC) jo je pri visoki hitrosti zaneslo s ceste v jarek. Takoj so ji priskočili na pomoč. Ležala je na volanu, vendar so jo s pomočjo štirih očividcev izvlekli iz avtomobila ter položili na zemljo. Zaščitili so mesto nesreče in takoj obvestili policijo in reševalce. Ti so prišli na mesto nesreče v 12 minutah. Poškodovanka je bila takrat v nezavesti, dihala je spontano. Ležala je na tleh v levem bočnem položaju. Iz ust se je širil zadah po alkoholu. Takoj je bila prepeljana v bolnišnico, prejemala je ogrevane infuzije. Frekvenca srčenga utripa je bila 130, krvni tlak pa 70/30 mmHg. Temperatura sredice telesa je bila 33,2 oC – poškodovanka je bila močno podhlajena.
Poškodovanko so prepeljali v sobo za oživljanje, nato pa takoj v operacijsko dvorano. Zaradi hude izgube krvi, podhlajenosti, motenj strjevanja krvi ter obsežne raztrganine velikih žil ter več kot 50 % jeter, je ob dolgotrajnem nizkem krvnem tlaku prišlo do zastoja srca na operacijski mizi (Slika 7). Poškodovanka je umrla.

Slika 7
Obsežna krvavitev in raztrganina jeter.
Poškodbe ledvic
Raztrganina ledvice ali udarnina ledvice nastaneta zaradi neposrednega delovanja sile v predel ledij. Poškodbe velikih žil, ki prehranjujejo ledvici, pa so pogosteje prisotne ob posrednem delovanju sile vztrajnosti pri padcih z višine ali hudih trkih v prometnih nezgodah. Vodilni so znaki krvavitve.
Poškodbe trebušne slinavke
Raztrganine ali udarnine trebušne slinavke so redkejše, vendar nevarne zaradi zapletov, ki se pojavijo nekaj ur ali dni po poškodbi. Pojavijo se zaradi udarca tik nad popkom, včasih pa tudi ob poškodbah hrbtenice.
Poškodbe votlih organov
Vodilni so znaki draženja potrebušnice. Raztrganine želodca nastanejo zaradi neposrednega udarca s trdim topim predmetom (volan, pest) v predel med popkom in žličko. Če je želodec poln (po obroku), je verjetnost poškodbe večja zaradi naglega povečanja hidrodinamičnega pritiska.
Raztrganje tankega črevesa nastane zaradi neposrednega močnega udarca v sredino trebuha, pogosteje pri poškodovancih, ki so bili že operirani v trebuhu. Pri tem pride do izlitja črevesne vsebine v trebušno votlino. Debelo črevo je v primerjavi s tankim redkeje poškodovano in pogosteje na desni strani.
Raztrganina oporka (Slika 8): nastopi pri močnih udarcih v trebuh, pogosteje pri že operiranih. Pri tem se pretrgajo skozi oporek potekajoče žile. Večji ali manjši del črevesa izgubi svojo prekrvljenost. Nastopi krvavitev iz pretrganih žil v trebušno votlino, včasih pa v retroperitonej, ki lahko neposredno ogrozi življenje. Kasneje se pojavijo znaki odmrtja prizadetega dela črevesa in hujšega draženja potrebušnice.
Velike žile, ki leže retroperitonealno, so pri težkih, topih poškodbah prav tako lahko poškodovane. Zaradi tega nastopijo večje ali manjše krvavitve v retroperotonealni prostor.

Slika 8
Raztrganina oporka.
Poškodbe trebuha z ostrim predmetom
Nastanjejo z vrezom ali vbodom s šilastim predmetom kot nesreče pri delu, v gospodinjstvih, ob različnih priložnostih v vsakdanjem življenju ali kot poškodbe v pretepih. Med vojno se pogostost takih poškodb poveča.
Nepenetrantne poškodbe
So rane na trebuhu, ki zajemajo kožo, podkožje in morebiti mišice, ne segajo pa skozi potrebušnico v trebušno votlino. Le-ta ni odprta, zato ne pride do vnosa mikroorganizmov. Največkrat so to lahke poškodbe, ki jih oskrbimo kot vse ostale rane na telesu. Pomembno pa je, da se z natančnim pregledom rane z gotovostjo prepričamo, da ne sega skozi potrebušnico. Tudi pri nepenetrantnih ranah lahko nastopijo hude krvavitve ob poškodbah večjih žil, zaradi katerih nastane šokovno stanje zaradi izgube krvi. Vsako vbodno rano mora dokončno oskrbeti zdravnik.
Penetrantne poškodbe
So rane na trebuhu, ki segajo skozi vse sloje trebušne stene, tudi potrebušnico, v trebušno votlino. Pri tem so pogosto poškodovani parenhimski ali votli organi in krvne žile. Posledica takih poškodb so lahko hude krvavitve v trebušno votlino s šokovnim stanjem. Pri predrtju votlih organov govorimo o penetrantnih perforantnih poškodbah (Slika 9), ki imajo za posledico izlitje vsebine votlih organov v trebušno votlino, kar povzroča draženje potrebušnice - peritonitis.

Slika 9
A – Vbodnina na želodcu.
B – Vbodna rana na tankem črevesu.
Tako krvavitve kot poškodbe votlih organov neposredno ogrožajo življenje poškodovanca, le da so krvavitve najvišja stopnja nujnosti ukrepanja.
Primer 4
22-letno natakarico je ob 7.10 našel zgodnji obiskovalec lokala. Ležala je ob točilni mizi, obleko je imela krvavo. Bila je pri zavesti, tožila je za bolečinami v trebuhu, težko je dihala. Imela je dve majhni rani, eno pod žličko na sredi trebuha, drugo desno nad rebrnim lokom, 5 cm pod robom desne lopatice, ki sta le malo krvaveli. Bila je zelo žejna, zato ji je obiskovalec prinesel kozarec vode, ki ga je takoj popila. Povedala je, da je bila žrtev ropa. Obvestil je policijo. V tem času so bolečine pri bolnici postale hujše. S podlogami za stole ji je podložil vzglavje in kolena ter ji s tem olajšal bolečine. Postajala je vse bolj prizadeta in po prihodu reševalcev je bila prepeljana v bolnišnico. Zaradi znakov penetrantne poškodbe trebuha je bila po kratki pripravi pri poškodovanki napravljen operativni pregled trebuha (laparatomija). Pri operaciji smo našli nekaj krvi in umazane tekočine v trebuhu. V predelu rane na sprednji strani trebuha je vbodnina segala skozi sprednjo in zadnjo steno želodca (Slika 10), vrat trebušne slinavke do aorte, na kateri je bila ob hematomu 7 mm dolga vbodna rana. V predelu rane desno je vbodnina šla skozi plevralni prostor ob zgornjem robu 7. rebra desno, vstopila v jetra, kjer je nastal večji znotrajjetrni hematom. Žolčnik je bil preboden, imel je vstopno in izstopno rano, prav tako pa je bila poškodovana manjša žila v hepatoduodenalnem ligamentu.
Poškodbe so bile oskrbljene in poškodovanka je 18. pooperativni dan zapustila bolnišnico.

Slika 10
Majhne vbodne rane na prsnem košu ne odražajo resnosti poškodb.
Kombinirane poškodbe trebuha
V mirnem času so največkrat posledica lovskih nesreč ali oboroženih obračunov. Ker te poškodbe povzročajo projektili z veliko kinetično energijo, je tudi obsežnost poškodbe ponavadi večja kot pri ostrih poškodbah. Pri prepoznavi ne predstavljajo težav kot npr. tope poškodbe tebuha, zahtevajo pa čimprejšnjo prvo pomoč, prevoz v ustrezno ustanovo ter takojšnjo zdravniško oskrbo. Nujna je takojšnja operacija in kirurška oskrba najprej krvavitve, nato pa oskrba poškodb votlih organov in natančno čiščenje trebušne votline, s čimer preprečimo nadaljnje zaplete.
Primer 5
72-letni bolnik je v ogradi miril bika in se ob tem spotaknil in padel. Podivjani bik ga je ob vstajanju nabodel z rogom po celi desni strani trebuha. Sin je to videl, odgnal bika in očeta povlekel na varno mesto. Iz rane, ki je bila umazana z blatom, je sililo tanko črevo. Poskusil je potisniti črevesje v trebušno votlino z rokami, vendar je to poškodovancu povzročalo hude bolečine. Krvavitev je bila zmerna. Obvestil je reševalce, rano prekril s čisto kuhinjsko krpo, ki jo je namočil pod vodovodno pipo ter očeta pokril z odejo. Poškodovanec je bil prepeljan v bolnišnico, kjer je bil takoj operiran. Pri operaciji je bila ugotovljena obsežna raztrganina z obsežnim uničenjem kože in mišičja trebušne stene. V trebuhu je bilo obilo blata, saj je bilo desno debelo črevo v celoti odprto po dolžini. Prav tako je bil na več mestih poškodovan oporek ozkega črevesa, žile pa prekinjene. Jetra so bila le malo poškodovana, saj je rog zlomil spodnja rebra desno in izstopil nad desnim rebrnim lokom. Poškodovano črevo je bilo potrebno odstraniti in očistiti trebušno votlino. Po nekaj tednih se je stanje bolnika izboljšalo kljub številnim pooperativnim zapletom, predvsem vnetne narave.

Slika 11
Raztrganina trebušne stene skozi katero sili tanko črevo.
Nenadne nevarne trebušne bolezni
V vsakdanjem življenju se pogosteje kot s poškodbami srečamo z drugimi nevarnimi, naglimi in življenje ogrožajočimi boleznimi. Zanje je značilen skupek bolezenskih znakov, ki ga imenujemo akutni abdomen. Akutni abdomen je predvsem oznaka za časovno obdobje razvoja bolezni, ko natančna diagnoza še ni mogoča ali pa zaradi prepletenosti klinične slike ni več mogoča. Sem prištevamo vse tiste nenadne bolezni trebušnih organov, ki tako zelo prizadenejo bolnika, da nujnost takojšnjega zdravljenja prevlada nad natančnejšim ugotavljanjem vzroka bolezni.
Oznaka akutni abdomen je ukaz za takojšnje ukrepanje (prva pomoč), prevoz in zdravljenje bolnika v bolnišnici.
Vzroki akutnega abdomna so lahko:
· vnetja trebušnih organov,
· perforacije votlih organov,
· motnje v prehodnosti črevesa,
· krvavitve v trebušno votlino,
· motnje v prekrvljenosti trebušnih organov,
· nenadne hujše krvavitve v prebavila, sečila in rodila.
Podrobnejša obravnava in opis obolenj s sliko akutnega abdomna presega obseg tega poglavja. Na terenu lahko pogosto le ugotovimo znake akutnega abdomna, kar zadostuje za prevoz takega bolnika na nadaljnjo obravnavo v bolnišnico. Pogosto taki bolniki potrebujejo nujen operativen poseg, zato morajo čimprej v (glej poglavje 12).
Vodilni znaki akutnega abdomna so:
· huda bolečina v trebuhu (pogosto prvi in vodilni znak);
· slabost in bruhanje;
· draženje trebušne stene (stena je na otip močno boleča, včasih tudi trda kot deska);
· povišana telesna temperatura (pri vnetjih v trebušni votlini);
· motnje prehodnosti črevesa (ob spremljajočem in večkratnem bruhanju, bolečinah, bolnik pove, da že nekaj časa ne odvaja vetrov in blata);
· splošna prizadetost (pospešen srčni utrip, nemiren bolnik, hladen znoj, bleda koža);
· znaki krvavitve:
· iz ust (izbruhana kavna usedlina ali sveža kri);
· iz danke (črno mazavo ali krvavo blato – v stranišču ali zadaj na spodnjicah);
· iz sečnice (kaplje krvi iz sečnice – spredaj na spodnjicah);
· iz rodil (kri v vagini – spredaj na spodnjicah).
Za bolnika z znaki akutnega abdomna je nujno upoštevati vsa priporočila o nudenju prve pomoči pri poškodbah in čim prej poiskati ustrezno zdravniško pomoč in oskrbo. Zdravnik lahko že na terenu v okviru nujne medicinske pomoči dodatno oskrbi takega bolnika z infuzijami elektrolitskih raztopin, protibolečinskimi zdravili, antibiotiki ter drugimi potrebnimi sredstvi. Pri bolniku lahko vstavi nazogastrično cevko in natančneje opredeli vzrok nastanka akutnega abdomna.
Literatura
1. Anson BJ, Mc Vay CB. Surgical anatomy. Philadelphia: Saunders; 1971.
2. De Dombal FT. Diagnosis of acute abdominal pain. London: Churchill Livingstone; 1980.
3. Leonhardt H. Color atlas and textbook of human anatomy. Vol 3. Stuttgart: Thieme; 1991.
4. Bates B. A guide to physical examination and history taking. 5th ed. Philadelphia: Lippincott Company; 1991.
5. Sabiston DC. Textbook of surgery. Philadelphia: Saunders; 1998.
6. Žakelj V. Nenadna kirurška obolenja v trebuhu. Akutni abdomen. Ljubljana: Cankarjeva založba; 1988.
7. Kalinšek I. Nujna medicinska pomoč. Ljubljana: Državna založba Slovenije; 1987.
8. Kaplan LJ, Santora TA, Blank-Reid CA, et al. Improved emergency department efficiency with a three-tier trauma triage system. Injury 1997; 28(7): 449–53.
9. Cayten CG, Nassoura ZE. Abdomen. In: Ivatury RR, ed. The Textbook of Penetrating Trauma. 1st ed. Philadelphia: Lippincott Williams & Wilkins; 1996. p. 281–99.
10. Gentilello LM, Rifley WJ. Continuous arteriovenous rewarming: report of a new technique for treating hypothermia. J Trauma 1991; 31(8): 1151–4.
11. Murray CJ, Lopez AD. Mortality by cause for eight regions of the world: Global Burden of Disease Study. Lancet 1997; 349: 1269–76.
12. Santora TA, Kaplan LJ, Trooskin SZ. Care of the injured elderly. In: Principles, Practice and Perspectives in Geriatric Surgery. 2nd ed. New York: Springer-Verlag Inc; 1998.
13. Colucciello SA. Blunt abdominal trauma. Emerg Med Clin N Amer 1993; 11: 107–23.
14. Guth AA, Pachter HL, Kim U. Pitfalls in the diagnosis of blunt diaphragmatic injury. Amer J Surg 1995; 170: 5–9.
15. Mullins RJ, Huckfeldt R, Trunkey DD. Abdominal vascular injuries. Surg Clin N Amer 1996; 76: 813–32.
16. Pachter HL, Feliciano DV. Complex hepatic injuries. Surg Clin N Amer 1996; 76: 763–82.
17. Patton JH, Fabian TC. Complex pancreatic injuries. Surg Clin N Amer 1996; 76: 783–96.
18. Ivatury RR, Nassoura ZE, Simon RJ, et al. Complex duodenal injuries. Surg Clin N Amer 1996; 76: 797–812.