Uvod
Prsni koš je elastična mišično-kostna kletka, v kateri sta najpomembnejša organa pljuča in srce. Njuno delovanje mora biti nepretrgano, sicer je ogroženo življenje. Poleg pljuč in srca pa potekajo v prsni votlini pomembni simpatični in parasimpatični živci, požiralnik, glavne žile dovodnice in odvodnice in največji mezgovni vod.
Kostni del prsnega koša sestavlja 12 parov reber, hrbtenica in prsnica. Skelet je med seboj povezan s sklepi, vezmi in mišicami, ki omogočajo gibanje prsne stene pri dihanju. Pljuča se pri dihanju širijo in krčijo. Pljučna mrena (pleura visceralis) pokriva pljuča, prsna mrena (pleura parietalis) prekriva notranjo plast prsne votline. Obe mreni zagotavljata drsenje pljuč pri dihanju. Med njima je navidezen prostor, ki je pri normalnih razmerah prazen. V tem prostoru se lahko pri poškodbah pojavi zrak, kri, ali mezga.

Slika 1
A – Položaj pljuč in pljučne mrene.
B – Gibanje prepone in prsnega koša pri vdihu in izdihu.
Dihanje je osnovni življenjski proces, pri katerem se izmenjujeta kisik in ogljikov dioksid. Pri vdihu preide v funkcionalnih delih pljuč skozi opno med pljučnimi mešički in žilnimi lasnicami (kapilarami) kisik, ki se s krvjo prenese po vsem telesu, z izdihom pa se po isti poti v obratni smeri izloči ogljikov dioksid.
Za normalno dihanje morajo brezhibno delovati pljuča, srce in mehanska kletka prsnega koša, ki omogoča širjenje pljuč in pretok zraka v pljuča in iz njih. Nemoten pa mora biti tudi prenos kisika kot ogljikovega dioksida po žilah, kar zagotavljajo rdeče krvničke.
Poškodbe organov v prsnem košu so nevarne posebno zato, ker sta posamično ali hkrati lahko poškodovana življenjsko pomembna organa: pljuča in srce. Prsni koš je poškodovan pri 10–15 % poškodovancev, tovrstne poškodbe so v 25 % vzrok smrti.
Ob delovanju enake sile na prsni koš bo vrsta in obseg poškodbe zelo odvisna od poškodovančeve starosti. Pri otrocih in mladostnikih je okostje prsnega koša elastično in ostane kljub velikim silam nepoškodovano, pri tem pa lahko nastanejo hude poškodbe notranjih organov. Pri starejših pa bomo pri topih poškodbah redko srečali poškodbe notranjih organov brez zlomov reber, prsnice in ključnic.
Po naravi so poškodbe prsnega koša tope ali penetrantne. Tope poškodbe nastanejo najpogosteje pri prometnih nesrečah, padcih z višine, pri nasilju, športu, zasutju ali pri eksplozijah.
Po številu so bile pri nas do nedavnega mnogo pogostejše tope poškodbe, zadnja leta pa se je močno povečalo število poškodb s strelnim in hladnim orožjem. Topih poškodb je okrog 70 %, pri nas precej manj, odvisno od socialnega, regionalnega in kulturnega okolja ter izročila.
Včasih je treba narediti nujno torakotomijo (odpiranje prsnega koša z operacijo) v prostorih za oživljanje. V splošnem pa velja, da je torakotomija potrebna v 10–15 % pri topih in v 20–30 % pri penetrantnih poškodbah prsnega koša.
Pri poškodbah spodnjega dela prsnega koša je treba vedno pomisliti na poškodbo organov v trebuhu. Največkrat so pri tem poškodovana jetra, vranica in prepona, lahko pa tudi ledvice.
Pomembno je dobro opazovanje ponesrečenca in pregled. Bodimo pozorni na naslednje znake in na to, kar največkrat pomenijo (Tabela 1).

Tabela 1
Znaki pri poškodbah prsnega koša.
Usoda poškodovanca je pogosto odvisna od osebe, ki prva pomaga ponesrečencu.
Opisanih stanj laik ne bo sposoben ločiti. Ni pa potrebno nikakršno medicinsko znanje, da bo opazil bolj ali manj hudo motnjo dihanja. Ne bo spregledal hropenja, prestrašenosti, zmedenosti, lovljenja zraka, bledice ali pomodrelosti.
Ponesrečencu bo lahko pomagal v boljši položaj in prekril odprte rane prsnega koša. Prav tako lahko takoj prične z odkopavanjem pri zasutju in z odstranjevanjem vzroka pri stisnjenju prsnega koša. Nato naj čimprej pokliče ustrezno pomoč.
Reševalcem je priporočljivo opisati naravo in mesto poškodbe, da bodo lahko načrtovali vrsto in način prevoza.
Tujih teles, zabodenih v prsni koš, naj laik in tudi medicinsko izobraženi reševalec ne odstranjujeta. Odstranjevanje je zelo boleče, povzroči pa lahko hude krvavitve in dodatne poškodbe.
Slika 2 prikazuje poškodbo moškega, ki mu je pri prometni nesreči kos izolacijskega gradbenega materiala predrl prsni koš (Slika 2A). Reševalci so ukrepali pravilno, ker mu tujka niso poskušali odstraniti. Tujek je prsni koš predrl in poškodoval pljuča (Slika 2B). Takojšna operacija je rešila poškodovanca, ki je okreval brez zapletov.

Slika 2
A – Predrtje prsnega koša s kosom plastike.
B – Slika računalniške tomografije kaže velik tujek, globoko zadrt v levo stran prsnega koša.
Obstaja 6 smrtno nevarnih stanj, ki ogrožajo življenje, če ne ukrepamo pravilno in pravočasno. Ta so:
· zapora dihalne poti,
· tenzijski pnevmotoraks,
· odprti pnevmotoraks,
· obsežni hematotoraks,
· nestabilna prsna stena,
· tamponada srca.
Nadaljnjih 6 vrst poškodb pa je takšnih, ki so pogojno smrtno nevarne. Pomeni, če jih ne odkrijemo in ustrezno zdravimo, je možnost smrti in hudih zapletov velika. Sem štejemo:
Zapora dihalne poti
Kadar je ogroženo dihanje, moramo diagnozo ugotoviti na prvi pogled. V tem primeru ni časa za nikakršne druge terapevtske ali diagnostične postopke, ukrepati moramo takoj, zagotoviti moramo dihanje. Časa imamo le nekaj minut.
· zmanjšana frekvenca dihanja (< 12 na minuto);
· pomodrelost;
· nemir in prestrašenost;
· glasno naporno dihanje (hropenje, stridor);
· uporaba pomožnih dihalnih mišic, ugrezanje medrebrnih prostorov in prsnice.
Prva pomoč
Prvi ukrep pri življenjsko ogroženem poškodovancu je vzpostavitev proste dihalne poti. To lahko stori vsakdo tako, da:
· zvrne glavo nazaj,
· dvigne spodnjo čeljust,
· odstrani tujke iz ust in žrela.
Če dihanje kljub omenjenim ukrepom ni ustrezno, lahko laik izvaja dihanje usta na usta ali usta na nos, pri tem pa naj takoj po telefonu pokliče 112. Usposobljeni reševalci bodo vstavili v sapnik cevko za dihanje (endotrahealna intubacija), s čimer se dihalna pot sprosti.
Če to ni mogoče, kar je redko, je potrebna traheotomija (odprtje sapnika z vrezom v steno) ali konikotomija (prerez opne med ščitastim in obročastim hrustancem). Tehnično je konikotomija lažja, oba posega pa sta v urgentni situaciji in na neprimernem mestu s slabo tehnično opremo težka, zato ju svetujemo le, če ni druge možnosti. Namesto konikotomije lahko skozi opno med ščitastim in obročastim hrustancem (krikotiroidna membrana) zabodemo več debelih igel.
S sprostitvijo dihalne poti omogočimo normalno predihavanje, ki ga nato izvajamo ročno ali z aparatom. Če se pri tem pojavljajo motnje, je največkrat vzrok:
· pnevmotoraks,
· hematotoraks,
· kombinacija obeh.
Ustrezna torakalna drenaža ali punkcija prsne votline, ki sta v tem trenutku potrebni, pogosto rešita problem. Omenjena posega pri nas običajno naredimo v bolnišnici, marsikje po svetu pa to napravijo na terenu kot del prve medicinske pomoči.
Drugi vzroki za motnje pri dihanju so lahko:
· udarnina ali raztrganje pljuč,
· raztrganina sapnika ali velikih bronhov,
· nestabilna prsna stena,
· travmatska kila prepone,
· hude bolečine,
· visoka poškodba hrbtenjače,
· vdihnjenje (aspiracija).
Tenzijski pnevmotoraks
Pomeni, da je zrak v prsni votlini pod pritiskom.
Nastane pri enosmernem ventilnem mehanizmu. Pri vsakem vdihu se zrak kopiči v prsni votlini, s čimer se tlak v njej veča. Povečan tlak najprej stisne pljuča, ki se sesedejo (kolabirajo), nato pa premakne medpljučje na zdravo stran in zmanjša dihalni prostor zdravim pljučam. Usoden in najbolj nevaren pri tem pa je pritisk na votli veni, ki ovira in zmanjša pritok krvi v desno srce, kar povzroči hitro smrt.
Poleg zapore dihalne poti je tenzijski pnevmotoraks eno najnujnejših stanj. Hitra diagnoza in ustrezno ukrepanje odločata o življenju ali smrti. V začetku se stanje pokaže kot dihalna motnja. Ta se lahko iz minute v minuto stopnjuje, običajno poteka hitro. Nastane pri topi ali penetrantni poškodbi.
Simptomi in znaki:
· nemir,
· pospešeno dihanje,
· pospešen utrip srca,
· modrikasta barva kože,
· prizadeta stran prsnega koša se pri dihanju ne giblje,
· prizadeta stran prsnega koša je izbočena,
· dihanje na prizadeti strani je slabo slišno ali ga ne slišimo,
· poklep je hipersonoren,
· na vratu lahko vidimo napolnjene vene in sapnik je premaknjen na zdravo stran.
Kadar pri poškodovancu posumimo na tenzijski pnevmotoraks, moramo ukrepati takoj. Napačno je, da poskušamo naš sum dokazati z rentgenskim slikanjem prsnega koša ali kakšnim drugim diagnostičnim postopkom. Po nepotrebnem izgubljamo čas in tvegamo najhujši zaplet.
Prva pomoč
Prva pomoč je za laika neizvedljiva, če pa bo spoznal, da se zelo mudi in hitro poklical reševalce, bo naredil vse, kar je mogoče. Če pa bi se laik ob spoznanju, da pri poškodovancu gre za tenzijski pnevmotoraks, upal prebosti prsni koš z injekcijsko iglo ali podobno drobno cevko, bi s tem lahko rešil življenje. Najbolj pomembno je namreč, da se na kakršen koli način zmanjša pritisk zraka v prsni votlini.
Punkcija ali drenaža prsnega koša bosta v hipu odpravili problem. Iz težke dihalne stiske, bo poškodovanec normalno zadihal. Kot po čudežu bo oživel. Drenažno iglo zabodemo skozi 2. interkostalni prostor. Punkcijsko iglo kot dren lahko nekaj časa pustimo odprto, da izide zrak, ki je povzročal pritisk v prsni votlini in kar lahko slišimo. Nato pa je najbolje, da iglo zamenjamo z drenom, ki ga priključimo na podvodno ali aktivno drenažo oz. zapremo z enosmerno zaklopko. Najprikladnejše mesto za punkcijo ali drenažo je predel pod pazduho v sprednji ali srednji pazdušni črti skozi 4. ali 5. prostor med rebri. Drugo mesto pa je spredaj nekaj cm stran (lateralno) od roba prsnice skozi 2. ali 3. prostor med rebri.
Odprti pnevmotoraks
Pomeni odprto povezavo med prsno votlino in zunanjim svetom.

Slika 4
Mehanika dihanja pri odprtem pnevmotoraksu.
Diagnoza je lahka, če pazljivo pregledamo poškodovanca. Pod obleko, ali pri na hitro postavljenih povojih, pa to lahko spregledamo. Bodimo pozorni! Poškodovanec največkrat leži na hrbtu in s tem zakriva rano na tem mestu. Večkrat se sinhrono z dihanjem sliši tudi pihanje zraka skozi rano na prsih.
Pri odprtem pnevmotoraksu je osnovni problem dihanja v tem, da je ogroženo predihavanje zdravih pljuč. Pri vdihu se prizadeta stran pljuč ne napolni z zrakom, izmenjave plinov ni. Pri izdihu se del zraka iz tega pljučnega krila preusmeri v zdrava pljuča. Mrtvi prostor je povečan, delni tlak ogljikovega dioksida poraste.

Slika 5
Operativna oskrba odprtega pnevmotoraksa.
Prva pomoč
Laik naj rano na prsih prekrije s čisto, po možnosti sterilno tkanino in prelepi ali zavije, da rana ne prepušča zraka. Pri strokovni oskrbi pa odprti pnevmotoraks zrakotesno zapremo in prsni koš dreniramo.
Kadar nimamo možnosti torakalne drenaže, rane na prsih ne smemo zapreti zrakotesno zaradi nevarnosti tenzijskega pnevmotoraksa. V takih primerih rano prekrijemo sterilno, jo oblepimo na treh stranicah, spodnjo stranico rane pa pustimo nezalepljeno, s čimer smo naredili enosmerno prepreko zraku, da pri vdihu ne more v prsno votlino, pri izdihu pa lahko izide.
Strokovna oskrba in zdravljenje
Dokončna oskrba odprtega pnevmotoraksa je operacijsko zaprtje prsne votline.
Obsežni hematotoraks
O obsežnem hematotoraksu govorimo, kadar v prsni votlini veliko krvi (1500 ml in več pri odraslem človeku) stiska pljuča.
Izliv krvi v prsno votlino se pri topih poškodbah prsnega koša pojavlja v 25–75 %, pri penetrantnih pa skoraj vedno. Krvavitev v prsni koš je nevarna zaradi hipovolemije, po drugi strani pa prosta kri stisne pljuča. Oboje povzroča hipoksijo.
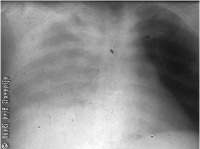
Primer 1
Na sliki je rentgenski posnetek prsnega koša mladega moškega, ki je bil zaboden z nožem v desno stran prsi. V bolnišnico je bil pripeljan 1 uro po poškodbi. Poškodovanec je bil šokiran in hipoksičen. Pri drenaži prsnega koša je priteklo 2 litra krvi. Bolnik je bil takoj operiran. Krvavel je iz interkostalne arterije in pljuč. Po operaciji je okreval brez zapletov.

Slika 6
Obsežni izliv krvi v desno prsno votlino.
Klinični znaki in simptomi so odvisni od velikosti krvavitve. Majhen hematotoraks, do približno 500 ml pri odraslih, običajno ni nevaren, na rentgenski sliki so spremembe minimalne. Pri večji krvavitvi se kažejo z naslednjimi simptomi in znaki:
· strah,
· nemir,
· dispneja (občutek pomanjkanja zraka),
· bledica in tahikardija (pospešeno bitje srca),
· poklep na strani izliva je skrajšan, dihanje je oslabljeno.
Poškodovanca ogrožata hipovolemija in motnja dihanja.
Izvir krvavitve so lahko pljuča, žile prsne stene, srce, velike žile mediastinuma, prepona in trebušni organi.
Prva pomoč
Pri prvi pomoči poškodovanca spodbujamo in pomirimo, pomagamo mu pri namestitvi, navadno mu ustreza dvignjen položaj zgornjega dela telesa, sam od sebe bo poskušal leči na poškodovano stran. Tisti, ki nudi prvo pomoč, mora to upoštevati. Naj ga ne sili v lego, ki se zdi primernejša reševalcu. Pokličemo pomoč na tel. 112.
Strokovna oskrba in zdravljenje
Zdravljenje je odvisno od bolnikovega stanja in obsežnosti hematotoraksa. Majhnih izlivov pri neprizadetem bolniku ni treba drenirati, če poškodovanca lahko nadzorujemo.
V vseh ostalih primerih prsni koš dreniramo. Drenaža pokaže velikost krvavitve in njeno dinamiko. Oba podatka sta bistvena pri odločitvi za operacijo. Količina krvi 1500–2000 ml se ne sme preseči, hitrost krvavitve pa naj ne bo večja od 200–300 ml na uro in naj se v času štirih ur postopno umiri. To pa velja le za mladega stabilnega poškodovanca, ki je bil pred poškodbo zdrav. Pri starostnikih bodo omenjene količine bistveno manjše, ker izgubo krvi slabše prenašajo. Vedno pa bomo bolnika operirali, če kljub drenaži na rentgenski sliki vidimo izliv, ki se veča, in kadar kljub nadomeščanju krvi bolnik ostaja hipotenziven.
Nestabilna prsna stena
Kadar je koščeni del prsnega koša poškodovan v tolikšnem obsegu, da je porušena zgradba in funkcija prsne stene, govorimo o nestabilni prsni steni.
Pri nestabilnem prsnem košu je dihanje vedno ogroženo. Pojavi se, kadar so dvakratno ali večkratno zlomljena 3 ali več zaporednih reber, pri čemer nastane paradoksno gibanje tega dela prsne stene. Tudi zdravi, mladi poškodovanec je lahko hitro v smrtni nevarnosti, kar toliko bolj velja za starejše. Takšna poškodba nastane pri neposrednem delovanju velike sile na prsno steno.

Slika 7
A – Nestabilni prsni koš zaradi dvojnih zlomov več reber.
B – Pri izdihu se poškodovani del prsne stene izboči, pri vdihu pa vdre.
Poškodovanec je ogrožen zaradi:
· neučinkovitega predihavanja;
· pogosto pridruženih poškodb pljuč, največkrat udarnin;
· izčrpane dihalne rezerve zaradi različnih kroničnih bolezni pljuč.
Stanje diagnosticiramo na pogled. Ni težko ugotoviti paradoksnega gibanja prizadetega dela prsne stene, ki se pri vdihu vdre, pri izdihu pa izboči. Takšno gibanje stene ima za posledico neučinkovito predihavanje pljuč in povečano dihalno delo.
Prva pomoč
Preprost ukrep, ki ga lahko napravi vsakdo, je, da prepreči paradoksno gibanje prsne stene in s tem izboljša dihanje. To dosežemo tako, da s povojem ali obližem pritisnemo in prekrijemo poškodovani predel prsne stene. S tem preprečimo paradoksno gibanje. Paziti je treba, da zavoj okrog prsi ni pretesen. Pokličemo tel. 112.
Čeprav se vedno znova pojavljajo poročila, ki zagovarjajo operativno zdravljenje nestabilne prsne stene, pa večina meni, da je endotrahealna intubacija in ventilacija ustreznejši način zdravljenja teh poškodb.
Tamponada srca
Srce leži v osrčniku, ki je zaprta, čvrsta vreča. V tej navidezni votlini je malo prostora. Kadar poškodovanec zakrvavi v osrčnik, govorimo o izlivu krvi (hematoperikard). Če je ta izliv nenaden in velik, se v njem poveča pritisk, ki stisne mehke stene preddvorov in ovira pritok krvi v srce. V takih primerih govorimo o tamponadi srca.
Srce je eden od organov, ki je največkrat tarča napadalcev s strelnim ali hladnim orožjem. Zato so penetrantne rane pogostejše od topih poškodb. Te pa zaradi pogosto prikritega poteka niso nič manj nevarne. Klinična slika pri hudih poškodbah srca je navadno dramatična. Bolnika ogrožata predvsem tamponada srca in pogosto pridružena krvavitev. Zaradi tega številni avtorji pri hudi poškodbi srca priporočajo takojšnjo torakotomijo v sobi za oživljanje. Tak poseg omogoča zaustavitev krvavitve, izpraznitev osrčnika in odprto masažo srca. Pri tamponadi srca zunanja masaža srca ni učinkovita oz. celo poslabša stanje. Laik na terenu ne more narediti drugega, kot da takoj pokliče pomoč.
V klinični sliki bo zdravnik prepoznal t. i. Beckov trias:
· znižan krvni tlak (hipotenzijo),
· polne vratne vene,
· tihe srčne tone,
· slabše ali celo netipljiv pulz pri vdihu.
Tamponada osrčnika je nevarna, ker povečan tlak v osrčniku preprečuje pritok krvi v srce. Pri odraslem povzroči tamponado že 150–200 ml krvi. Zvečan tlak v osrčniku ovira pretok krvi po venčnih (koronarnih) arterijah, kar dodatno oslabi moč srčne mišice. Diagnoza na temelju klinične slike je težka, pomagata nam rentgenska slika, ki pokaže povečano srčno senco, in ultrazvočna preiskava. Slednja je odločilna in jo je treba narediti pri vsakem sumu na tamponado. Učinkovit in smiseln je ukrep, ki zmanjša tlak v osrčniku. To lahko dosežemo s punkcijo osrčnika (perikardocentezo) ali z manjšo operacijo, pri kateri skozi pristop pod ksifoidom izpraznimo osrčnik ali vstavimo dren.
Pri penetrantni poškodbi srca so priporočljivi naslednji ukrepi:
· obsežna transfuzija za dvig osrednjega venskega tlaka, da se poveča razlika med tlaki znotraj srca in zunaj njega;
· hitra drenaža plevralnega in perikardialnega prostora;
· poprava presnovne zakisanosti (acidoze);
· čimprejšnja operacija.
Izolirana poškodba osrčnika je redka. Pri obsežnih poškodbah lahko pride do zdrsa (prolapsa) in zažetja srca (strangulacije) iz osrčnika. V teh primerih je potrebna operacija. Če nastane raztrganina v delu osrčnika blizu prepone, se lahko vanj ukleščijo trebušni organi.
Motnje v delovanju obtočil navadno nastanejo zaradi:
· velike izgube krvi,
· perikardialnega izliva in tamponade osrčnika,
· poškodbe srca,
· premika medpljučja.
Raztrganina aorte
Avtorji menijo, da 10–15 % vseh žrtev prometa umre zaradi pretrganja aorte. Le 5 % poškodovancev s to poškodbo pripeljejo v bolnišnico živih. V 90 % se aorta raztrga takoj pod odcepiščem leve podključnične arterije, kar si razlagamo z zanihanjem aortnega loka pri nenadnih zaustavitvenih silah (deceleracijah). Zaradi učvrščenega descendentnega dela aorte pride na mestu odcepišča omenjene arterije do strižnih sil, ki raztrgajo žilo. Če pri takšni poškodbi plevra mediastinuma vzdrži, nastane psevdoanevrizma. Ta je nevarna, ker lahko poči kadar koli, v 90 % pa se to zgodi prvih 10 dni po poškodbi. Diagnozo postavimo na temelju podatkov o naravi poškodbe in klinične slike.
Simptomi:
· bolečine za prsnico (retrosternalna bolečina),
· težave pri požiranju,
· piskajoče dihanje (stridor),
· občutek dušenja (dispneja) in hripavost.
Razlika v moči utripov na zgornjih in spodnjih udih je prav tako večkrat prisotna, lahko pa utripov na spodnjih udih ni.
Prva pomoč
Če bo tisti, ki pride prvi do ponesrečenca, posumil na tovrstno poškodbo, naj čimprej pokliče pomoč in organizira varen prevoz v bolnišnico, kjer so sposobni operativno oskrbeti poškodbe. Ponesrečenca naj namesti v udoben položaj in naj mu ne dovoli telesnih naporov.
Strokovna oskrba in zdravljenje
Pri raztrganju aorte lahko nastaneta akutna odpoved ledvic ali paraplegija zaradi motene prekrvitve distalno od poškodbe. Rentgenska slika prsnega koša pogosto pokaže širši zgornji del mediastinuma, plevralni izliv in zlomljeno prsnico ali 1. in 2. rebro. Aortografija je zanesljiv diagnostični postopek, ki ga je treba napraviti pri vsakem sumu na to poškodbo. Za diagnozo sta pomembni ultrazvočna preiskava skozi požiralnik in računalniška angiotomografija. Zdravljenje je operativno.
Raztrganine pljuč
Nastanejo pri nenadnih pojemkih hitrosti v prometnih nesrečah in padcih z višine, lahko tudi pri penetrantnih poškodbah prsnega koša. Ogroženost poškodovanca in resnost poškodbe, pri kateri se raztrgajo pljuča, sta najbolj odvisna od obsežnosti krvavitve in puščanja zraka iz raztrganih pljuč. Manjše raztrganine pljuč se skoraj vedno zarastejo spontano, pri tem so izgube krvi majhne, puščanje zraka pa kratkotrajno. Večino teh poškodb pozdravimo s torakalno drenažo.
Drugače je pri obsežnih raztrganinah, ki imajo za posledico hudo krvavitev in motnje prezračenosti. Klinična slika je odvisna od obsežnosti krvavitve in stopnje prizadetosti dihanja. Od tega so odvisni tudi simptomi in bolezenski znaki. Največkrat sta prisotni hipotenzija in hipoksija. Nastaneta zaradi krvavitev in nesodelovanja poškodovanega dela pljuč pri dihanju. Poškodovanec ima skoraj vedno pnevmotoraks in izliv krvi v prsno votlino, ki dodatno zmanjšujeta predihavanje pljučnega krila.
Prva pomoč
V okviru prve pomoči ne moremo veliko storiti. Dovolj je, če iz narave poškodbe, bolezenskih znakov in znamenj posumimo na to poškodbo in čimprej organiziramo varen in hiter prevoz v ustrezno zdravstveno ustanovo. Pokličemo tel. 112.
Strokovna oskrba in zdravljenje
Prvi ukrep pri raztrganini pljuč je torakalna drenaža. Ta ima več pomenov. Prvi je ta, da z njo izpraznimo kri in zrak iz plevralnega prostora, ter na ta način omogočimo, da se pljuča razpnejo. Pravilno vloženi torakalni dren pa nam omogoči natančno opazovanje dinamike krvavitve kot tudi velikost puščanja zraka iz poškodovanih pljuč. Če se krvavitev spontano ne zmanjšuje in pljuča močno puščajo oz. se ne raztegnejo in izpolnijo prsne votline, je potrebna operacija. Pri operaciji zaustavimo krvavitev in puščanje zraka tako, da ohranimo pljuča. To je pogosto nemogoče, ker obsežne raztrganine navadno potekajo v globino, pri čemer so raztrgane večje funkcionalne pljučne žile in področni ali podpodročni bronhi.
Udarnine srca
Do teh poškodb pride, kadar velika sila deluje na predel srca. Največkrat nastanejo pri prometnih nesrečah in padcih z višine. Na topo poškodbo srca bomo pomislili pri nepojasnjeni hipotenziji, tamponadi osrčnika, motnjah ritma, spremembah v EKG.
Udarnino srca je pogosto težko ugotoviti. Simptomatika je pestra in neznačilna, odvisna od prizadetega predela in obsega. Udarjena srčna mišica se obnaša podobno kot pri infarktu, prav tako se pozdravi z brazgotino, lahko pa na tem mestu nastane anevrizma ali celo raztrganina. Tudi na EKG so spremembe enake kot pri infarktu. Pogoste so motnje ritma, ki se največkrat kažejo kot prezgodnje preddvorne ali atrijske kontrakcije.
Prva pomoč
Pri prvi pomoči moramo poškodovancu zagotoviti udoben položaj, ležanje z dvignjenim vzglavjem in preprečiti vsakršen telesni napor ter poklicati tel. 112.
Strokovna oskrba in zdravljenje
Pri dokazani ali sumljivi udarnini srca moramo bolnika dalj časa opazovati. Priporočljivi so stalno, daljše merjenje EKG in osrednjega venskega tlaka, pogosti pregledi srca z ultrazvokom in dolgotrajen počitek. V akutni fazi omejimo tekočine in bolnika dalj časa opazujemo. Pri topih kot tudi pri penetrantnih poškodbah srca je najbolj uporabna diagnostična metoda ultrazvočna preiskava.
Raztrganine sapnika in bronhov
Te poškodbe so redke, večinoma jih diagnosticiramo pri mladih. Ni jasno, koliko ljudi s takšno poškodbo umre na mestu nesreče. Najpogosteje nastane raztrganina v bližini glavnega razcepišča sapnika. Po obliki so vzdolžne v membranskem delu, krožne med obročki ali kombinirane. Pogosto so smrtne in le hitra in ustrezna pomoč lahko reši poškodovanca. V to skupino ne spadajo raztrganine vratnega dela sapnika, ki se ločijo po nastanku in klinični sliki. Raztrganina intratorakalno nastane zaradi nenadno zvečanega tlaka v bronhijalnem vejevju pri zaprtem grlu, ali pa sile pri stisnjenju prsnega koša povzročijo nateg in raztrganje glavnega bronha. Raztrganinam sapnika in bronhov so pogosto pridružene poškodbe srca, velikih žil, požiralnika, hrbtenice in hrbtenjače.
Na raztrganino sapnika in bronhov bomo pomislili pri hudih motnjah dihanja, ki ogrožajo poškodovanca. Če bomo pri tem ugotovili, da se eno pljučno krilo ne predihava in da ima poškodovanec podkožni emfizem, bo ta sum še bolj utemeljen.
Klinična slika je odvisna od velikosti, mesta, pridruženih poškodb in tega, ali ima taka raztrganina zvezo s plevralnim prostorom ali ne.
Simptomi in znaki:
· pnevmotoraks,
· podkožni emfizem (prisotnost zraka v podkožju, ki ga zaznamo s tipanjem),
· dispneja in krvav izpljunek (hemoptiza),
· hripavost.
Prva pomoč
V okviru prve pomoči je treba čim hitreje in čim bolj varno prepeljati ponesrečenca v ustrezno bolnišnico.
Po vstavitvi torakalnega drena pogosto uhaja po njem veliko zraka, pljuča se kljub ustrezni drenaži ne razpnejo popolnoma. Za diagnozo je odločilna bronhoskopija.
Strokovna oskrba in zdravljenje
Začasen ukrep, ki lahko reši dihalne motnje, je intubacija preko poškodovanega mesta v sapniku ali v dušnik nepoškodovanega pljučnega krila.
Zdravljenje je operativno. Raztrganino zašijemo neposredno, boljši način pa je resekcija raztrganih robov in spoj (anastomoza) bronha »konec s koncem«. Če je le mogoče, pljuč ne odstranimo (reseciramo). Diagnoza je pogosto kasna.
Smrtnost je odvisna od zapletov pri dihanju in drugih poškodb. Pri starih raztrganinah s hudimi zožitvami ali atelektazo poskušamo pljuča ohraniti z različnimi bronhoplastičnimi posegi. To je mogoče le, če je pljučno tkivo zdravo, brez vnetja in če atelektaza ni trajala predolgo. Približno po 6.–12. mesecih se v pljučih razvije nepopravljivo brazgotinjenje, ki preprečuje ponovno razširitev pljuč. Raztrganine perifernih bronhov zdravimo z drenažo. Če pa najdemo tako poškodbo pri operaciji, poškodovani del pljuč, če je le mogoče, ohranimo, le redko ga je treba odstraniti.
Raztrganine požiralnika
Tope kot tudi penetrantne poškodbe požiralnika so redke. Med njimi je veliko več penetrantnih. Največkrat je poškodovan vratni del požiralnika. Tope poškodbe so nevarnejše zato, ker jih lažje spregledamo. Tope poškodbe nastanejo pri stisnjenju prsnega koša ali trebuha. Ker je v začetku simptomatika neznačilna, pogosto pa tudi prikrita zaradi drugih poškodb, je nevarnost, da jih ne odkrijemo, velika. Bolnik je pri tem bolj prizadet, kot bi od tega, kar smo ugotovili, pričakovali.
Simptomi in znaki:
· disfagija (motnja požiranja);
· bolečina v vratu, med lopaticama ali pod prsnico;
· mediastinalni emfizem (zrak v medpljučju);
· podkožni emfizem (zrak v mehkih tkivih) na vratu;
· fluidopnevmotoraks (prisotnost tekočine in zraka v prsni votlini).
Prva pomoč
Kadar posumimo na to poškodbo, poškodovancu ne smemo dovoliti, da bi kar koli zaužil na usta. To je vse, kar lahko storimo v okviru prve pomoči. Pokličemo 112.
Strokovna oskrba in zdravljenje
Slikanje požiralnika s kontrastom je najvažnejši diagnostični postopek. Ezofagoskopija ni potrebna, lahko je tudi škodljiva, če pa jo delamo, moramo zelo paziti, da dodatno ne poškodujemo požiralnika in širimo okužbe. Koristna in zanesljiva preiskava je računalniška tomografija s kontrastom v požiralniku.
Potrebna je čimprejšnja operacija. Pristop do zgornjih dveh tretjin intratorakalnega požiralnika je z desno torakotomijo, spodnjo tretjino pa laže oskrbimo skozi torakotomijo z leve strani. Trebušni del požiralnika lahko operiramo tudi skozi zgornjo mediano laparotomijo. Sveže raztrganine zašijemo neposredno, običajno v dveh slojih. Mesto šivanja prekrijemo z živim režnjem plevre, osrčnika ali prepone. Pri starih raztrganinah, kjer šiv zaradi vnetja in odmrtja ni možen, pa je cilj posega zamejiti in preprečiti nadaljnjo okužbo. V ta namen naredimo vratno ezofagostomo, razbremenilno gastrostomo, dobro drenažo prsnega koša in mediastinuma ter jejunostomo za hranjenje. Nekateri pa v takih primerih priporočajo drenažo požiralnika s tubusom »T«.
Raztrganina prepone
Največkrat nastane pri nenadnih pojemkih hitrosti v prometnih nesrečah pri topih poškodbah prsno-trebušnega predela. Varnostni pas, ki nedvomno reši marsikatero življenje, ima pri teh poškodbah pomembno vlogo. Velika topa sila, ki povzroči nenadno veliko povečanje tlaka v trebuhu, raztrga prepono, večkrat na levi kot na desni strani. Na poškodbo prepone moramo misliti tudi pri vsaki vbodni poškodbi prsnega koša, zlasti v spodnjem in srednjem delu.

Slika 8
Raztrganina leve prepone. Viden je zdrs želodca v prsno votlino.
Simptomatika je navadno neznačilna, ker so tej poškodbi pogosto pridružene druge, ki jo zakrivajo. Lahko pa so prisotni naslednji simptomi in znaki:
· težko dihanje,
· skrajšan poklep,
· odsotno dihanje,
· v prsnem košu slišna peristaltika.
Strokovna oskrba in zdravljenje
Vedno, ko ugotovimo raztrganino prepone, jo moramo operirati. Z operacijo pa lahko toliko počakamo, da ponesrečenca stabiliziramo. Včasih pa se z operacijo mudi. Hitro je treba operirati, če pri zdrsu trebušnih organov v prsno votlino nastane strangulacija, oziroma, kadar organi v prsni votlini povzročajo pritisk na medpljučje in s tem motnjo vtoka krvi v desno srce ali bistveno ogrožajo dihanje. Pri sveži poškodbi je operativni pristop laparotomija, kadar pa diagnosticiramo raztrganino prepone kasno, lahko tudi več let po poškodbi, je za oskrbo prepone bolje narediti torakotomijo.
Torakalna drenaža
Majhen, kratkotrajen poseg v lokalni infiltracijski anesteziji je pogosto najbolj pomemben način zdravljenja večine poškodb prsnega koša. Ne čudi, da je ta poseg širom po svetu sprejet kot del osnovne oskrbe poškodovanca na terenu in ga izvajajo tudi reševalci nezdravniki.
Postopek drenaže:
· mesto drenaže: 2. ali 3. prostor med rebri, 3 do 4 cm lateralno od prsnice; 4. ali 5. prostor med rebri v srednji ali sprednji pazdušni črti;
· priprava polja kot za operacijo;
· lokalno omrtvičenje z 1 - ali 2-odstotnim Xylocainom®;
· punkcija plevralnega prostora;
· priporočljivo je narediti pot topo s peanom z razmikanjem mišičja;
· priporočljivo je s prstom otipati plevralni prostor;
· vstavitev drena;
· priključitev drena na drenažni sistem.
Najpomembnejše pri torakalni drenaži je, da vstavimo dren na mestu, kjer se pred vstavitvijo drena s punkcijo ali otipom prepričamo, da je v tem predelu plevralna votlina prosta.

Slika 9
A – Otipanje 4. ali 5. medrebrnega prostora.
B – Omrtvičenje kože in prsne stene z lokalnim anestetikom.
C – Punkcija plevralnega prostora.
D – Razmikanje prsnih mišic s peanom.
E – Otipanje plevralnega prostora.
F – Vstavitev drena..
G – Pričvrstitev drena.
H – Spojitev drena z drenažnim sistemom.
Literatura
1. Ziegler DW, Agarwal NN. The morbidity and mortality of rib fractures. J Trauma 1994; 37(6): 975–9.
2. Sirmali M, Türüt H, Topçu S, et al. A comprehensive analysis of traumatic rib fractures: morbidity, mortality and management. Eur J Cardiothorac Surg 2003; 24 (1): 133–8.
3. Sheikh AA, Culbertson CB. Emergency department thoracotomy in children: rationale for selective application. J Trauma 1993; 34 (3): 323–8.
4. Millham FH, Grindlinger GA. Survival determinants in patients undergoing emergency room thoracotomy for penetrating chest injury. J Trauma 1993; 34 (3): 332–6.
5. Lass M, Kiefer H, Welz A, et al. Herzverletzung Beschreibung eines traumatologisch - herzchirurgischen Krankheitsguts. Unfallchirurg 1993; 96(12): 618–24.
6. Mansour KA, Bongiorno PF. Blunt Trauma: Chest Wall, Lung, Pleura, Heart, Great Vessels, Thoracic Duct, and Esophagus. In: Pearson FG, ed. Thoracic Surgery. Philadelphia, Pennsylvania: Churchill Livingstone; 2002. p. 1832–49.
7. Tanaka H, Yukioka T, Yamaguti Y, et al. Surgical stabilization of internal pneumatic stabilization? A prospective randomized study of management of severe flail chest patients. J Trauma 2002; 52 (4): 727–32.
8. Battistella FD, Benfield JR. Blunt and penetrating injuries of chest wall, pleura , and lungs. In: Shields TW, LoCicero J, Ponn RB, eds. General thoracic surgery. Philadelphia, PA: Lippincott Williams and Wilkins; 2000. p. 815–31.
9. Tominaga GT, Waxman K, Scannell G, et al. Emergency thoracotomy with lung resection following trauma. Am Surg 1993; 59 (12): 834–7.
10. Knott-Craig CJ, Dalton RP, Rossouw GJ, et al. Penetrating cardiac trauma: management strategy based on 129 surgical emergencies over 2 years. Ann Thorac Surg 1992; 53 (6): 1006–9.
11. Kirsh MM, Sloan H. Blunt chest trauma. General Principles of Management. 1st ed. Boston: Little-Brown & Co; 1977. p. 19–42.
12. Kantartzis M, Varney M, Granetzny A, et al. Stumpfes Thoraxtrauma im Rahmen des Polytraumas: Ursachen-Folgen-Behandlung. Z Herz Thorax Gefässchir 1994; 8: 224–6.
13. Cachecho R, Grindlinger G, Lee VW. The clinical significance of myocardial contusion. J Trauma 1992; 33 (1): 68–73.
14. Symbas PN, Justicz AG, Ricketts RR. Rupture of the airways from blunt trauma: treatment of complex injuries. Ann Thorac Surg 1992; 54 (1): 177–83
15. Swoboda L, Walz H, Kirchner R, et al. Tracheal - und Bronchusruptur nach stumpfen Thoraxtrauma. Zentralbl Chir 1993; 118 (1): 47–52.
16. Maeda M. Nakamoto K. Diseases and operative modes of tracheobronchoplasty. Japan J Thor Dis 1992; 30 (6): 991–8.
17. Steinman E, Utiyama EM, Pires PW, et al. Traumatic wounds of the esophagus. Rev Hosp Clin Fac Med Sao Paulo 1990; 45 (3): 127–31.
18. Bufkin BL, Miller JI Jr, Mansour KA. Esophageal perforation: Emphasis on management. Ann Thorac Surg 1996; 61 (5): 1451–52.